• Tel: 858.663.9055
  • SeparatorEmail: info@nsjbio.com
  • Tel: 858.663.9055
  • Email: info@nsjbio.com
Home >> Antibodies >> BECN1 Antibody / Beclin 1

BECN1 Antibody / Beclin 1 [clone 2D12A3] (RQ6948)

  Catalog No Formulation Size Price (USD)  
Image RQ6948 0.5mg/ml if reconstituted with 0.2ml sterile DI water 100 ug 449
Bulk quote request
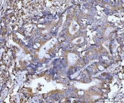
IHC staining of FFPE human breast cancer tissue with BECN1 antibody. HIER: boil tissue sections in pH8 EDTA for 20 min and allow to cool before testing.
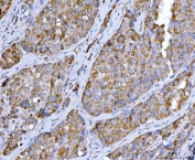
IHC staining of FFPE human lung cancer tissue with BECN1 antibody. HIER: boil tissue sections in pH8 EDTA for 20 min and allow to cool before testing.
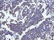
IHC staining of FFPE human hepatocellular carcinoma tissue with BECN1 antibody. HIER: boil tissue sections in pH8 EDTA for 20 min and allow to cool before testing.
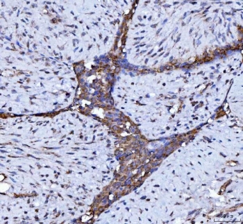
IHC staining of FFPE human colonic adenoma tissue with BECN1 antibody. HIER: boil tissue sections in pH8 EDTA for 20 min and allow to cool before testing.
Immunofluorescent staining of FFPE human HepG2 cells with BECN1 antibody (green) and DAPI nuclear stain (blue). HIER: steam section in pH6 citrate buffer for 20 min.
Western blot testing of 1) human 293T, 2) human HeLa, 3) rat kidney, 4) mouse kidney, 5) mouse RAW264.7 and 6) mouse NIH 3T3 lysate with BECN1 antibody. Predicted molecular weight ~52 kDa.
Flow cytometry testing of human PC-3 cells with BECN1 antibody at 1ug/million cells (blocked with goat sera); Red=cells alone, Green=isotype control, Blue= BECN1 antibody.
Availability 1-3 business days
Species Reactivity Human, Mouse, Rat
Format Antigen affinity purified
Host Mouse
Clonality Monoclonal (mouse origin)
Isotype Mouse IgG1
Clone Name 2D12A3
Purity Antigen affinity purified
Buffer Lyophilized from 1X PBS with 2% Trehalose
UniProt Q14457
Localization Nuclear, cytoplasmic
Applications Western Blot : 0.5-1 ug/ml
Immunohistochemistry (FFPE) : 2-5ug/ml
Immunofluorescence : 5ug/ml
Flow Cytometry : 1-3ug/million cells
Limitations This BECN1 antibody is available for research use only.
Review this product on BioCompare and get a $20 Amazon gift card

Related Products

  • Applications : WB
    Reactivity : Human, Mouse, Rat
  • Applications : WB, IHC-P, FACS, IF, IP
    Reactivity : Human, Mouse, Rat
  • Applications : WB, IHC, ELISA
    Reactivity : Human, Mouse
    Pred. Reactivity : Bovine, Chicken
  • Applications : FACS, WB, IHC, ELISA
    Reactivity : Human, Mouse
    Pred. Reactivity : Bovine, Pig, Rat
  • Applications : DB, ELISA
    Reactivity : Human

Description

Beclin-1, also known as also known as ATG6 or VPS30 is a protein that in humans is encoded by the BECN1 gene. Beclin-1 and its binding partner class III phosphoinositide 3-kinase (PI3K), also named Vps34, are required for the initiation of the formation of the autophagosome in autophagy. This gene participates in the regulation of autophagy and has an important role in development, tumorigenesis, and neurodegeneration. Schizophrenia is associated with low levels of Beclin-1 in the hippocampus of the affected which causes diminished autophagywhich in turn results in increased neuronal cell death. It has been found that beclin-1 can promote autophagy in autophagy-defective yeast with a targeted disruption of apg6/vps30, and in human MCF7 breast carcinoma cells.

Application Notes

Optimal dilution of the BECN1 antibody should be determined by the researcher.

Immunogen

Recombinant human protein (amino acids M1-S354) was used as the immunogen for the BECN1 antibody.

Storage

After reconstitution, the BECN1 antibody can be stored for up to one month at 4oC. For long-term, aliquot and store at -20oC. Avoid repeated freezing and thawing.

Cross
Bulk Quote Request Form
Name*:
Organization*:
Email*:
Phone Number*:
Catalog No.*:
Comments and Specifics(amount, formulation, etc.)*:
Validation code: Captchapackage Image


Can't read the image? click here to refresh.
    *required field

Your bulk quote request has been submitted successfully!

Please contact us if you have any questions.