• Tel: 858.663.9055
  • SeparatorEmail: info@nsjbio.com
  • Tel: 858.663.9055
  • Email: info@nsjbio.com
Home >> Antibodies >> BCOR Antibody / BCL6 corepressor

BCOR Antibody / BCL6 corepressor [clone BCOR/13087R] (V5974)

  Catalog No Formulation Size Price (USD)  
Image V5974-100UG 0.2 mg/ml in 1X PBS with 0.05% BSA, 0.05% sodium azide 100 ug 559
Image
V5974-20UG 0.2 mg/ml in 1X PBS with 0.05% BSA, 0.05% sodium azide 20 ug 259
Image
V5974SAF-100UG 1 mg/ml in 1X PBS; BSA free, sodium azide free 100 ug 559
Microvalidated Recrabbitmono
Bulk quote request
SDS-PAGE Analysis of Purified BCOR Recombinant Rabbit Monoclonal Antibody (BCOR/13087R). Confirmation of Purity and Integrity of Antibody.
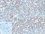
Formalin-fixed, paraffin-embedded human tonsil stained with BCOR Recombinant Rabbit Monoclonal Antibody (BCOR/13087R). Inset: PBS instead of primary antibody; secondary only negative control.
Western Blot Analysis of human brain tissue lysate using BCOR Recombinant Rabbit Monoclonal Antibody (BCOR/13087R).
Western Blot Analysis of brain tissue lysates of different species using BCOR Recombinant Rabbit Monoclonal Antibody (BCOR/13087R).
Species Reactivity Human
Format Purified
Host Rabbit
Clonality Recombinant Rabbit Monoclonal
Isotype Rabbit IgG, kappa
Clone Name BCOR/13087R
Purity Protein G affinity
UniProt Q6W2J9
Localization Nucleus
Applications Immunohistochemistry (FFPE) : 1-2ug/ml
Western Blot : 2-4ug/ml
Limitations This BCOR/BCL6 corepressor antibody is available for research use only.
Review this product on BioCompare and get a $20 Amazon gift card

Related Products

Application Notes

1. Optimal dilution of the BCOR/BCL6 corepressor antibody should be determined by the researcher.

2. This BCOR/BCL6 corepressor antibody is recombinantly produced by expression in human HEK293 cells.

Immunogen

A recombinant fragment (around amino acids 100-400) of human BCOR protein (exact sequence is proprietary) was used as the immuongen for the BCOR/BCL6 corepressor antibody.

Storage

BCOR/BCL6 corepressor antibody with sodium azide - store at 2 to 8oC; antibody without sodium azide - store at -20 to -80oC.

Cross
Bulk Quote Request Form
Name*:
Organization*:
Email*:
Phone Number*:
Catalog No.*:
Comments and Specifics(amount, formulation, etc.)*:
Validation code: Captchapackage Image


Can't read the image? click here to refresh.
    *required field

Your bulk quote request has been submitted successfully!

Please contact us if you have any questions.