• Tel: 858.663.9055
  • SeparatorEmail: info@nsjbio.com
  • Tel: 858.663.9055
  • Email: info@nsjbio.com
Home >> Antibodies >> BCLAF1 Antibody / BCL2-associated transcription factor 1 / BTF

BCLAF1 Antibody / BCL2-associated transcription factor 1 / BTF [clone 32B81] (FY13355)

  Catalog No Formulation Size Price (USD)  
Image FY13355 Rabbit IgG in phosphate buffered saline, pH 7.4, 150mM NaCl, 0.02% sodium azide and 50% glycerol, 0.4-0.5mg/ml BSA 100 ul 449
Microvalidated Recrabbitmono
Bulk quote request
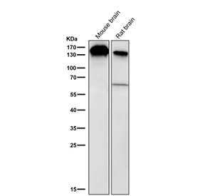
Western blot testing of mouse and rat brain tissue lysate using the BCLAF1 antibody at 1:2000 dilution for 1 hour at room temperature. A predominant band is detected at approximately 150 kDa in both samples, running above the predicted ~106 kDa but consistent with the apparent molecular weight reported for the heavily modified nuclear protein BCLAF1 in peer reviewed studies.
Availability 2-3 weeks
Species Reactivity Human, Mouse, Rat
Format Liquid
Host Rabbit
Clonality Recombinant Rabbit Monoclonal
Isotype Rabbit IgG
Clone Name 32B81
Purity Affinity chromatography
Buffer Rabbit IgG in phosphate buffered saline, pH 7.4, 150mM NaCl, 0.02% sodium azide and 50% glycerol, 0.4-0.5mg/ml BSA.
UniProt Q9NYF8
Applications Western Blot : 1:500-1:2000
Immunohistochemistry : 1:50-1:200
Immunocytochemistry/Immunofluorescence : 1:50-1:200
Limitations This BCLAF1 antibody is available for research use only.
Review this product on BioCompare and get a $20 Amazon gift card

Related Products

Description

BCLAF1 antibody detects BCL2-associated transcription factor 1, encoded by the BCLAF1 gene. BCL2-associated transcription factor 1 is a nuclear protein originally identified through its binding to anti-apoptotic members of the Bcl-2 family. BCLAF1 antibody provides researchers with a highly specific reagent to study apoptosis, transcriptional regulation, and cellular stress responses.

BCL2-associated transcription factor 1 contains multiple functional domains that enable it to interact with transcriptional regulators, splicing machinery, and apoptotic signaling proteins. Research using BCLAF1 antibody has shown that it can act as a transcriptional repressor, influencing gene networks associated with cell death and survival. Its ability to interact with Bcl-2 family proteins positions it at the intersection of transcription and apoptosis regulation.

Studies with BCLAF1 antibody have demonstrated that the protein also functions in RNA processing. BCL2-associated transcription factor 1 associates with splicing factors and contributes to pre-mRNA processing. This activity provides an additional layer of gene expression control, ensuring that transcription and splicing are coordinated in response to cellular needs.

Beyond transcription and splicing, BCLAF1 influences DNA damage responses. Research using BCLAF1 antibody has revealed that the protein participates in DNA repair pathways and helps maintain genomic stability. Its expression is upregulated in response to genotoxic stress, and it contributes to apoptosis when DNA damage is severe. This dual role in repair and apoptosis underscores its importance in genome maintenance.

Dysregulation of BCLAF1 has been linked to cancer and immune disorders. Overexpression can enhance apoptosis and impair cell survival, while reduced expression contributes to resistance to cell death. Studies with BCLAF1 antibody have also associated mutations and altered expression with autoimmune diseases. These findings demonstrate that balanced regulation of BCL2-associated transcription factor 1 is essential for normal physiology.

BCLAF1 antibody is widely applied in western blotting, immunohistochemistry, and immunofluorescence. Western blotting detects full-length protein and isoforms, immunohistochemistry identifies nuclear expression patterns in tissues, and immunofluorescence reveals its nuclear localization and distribution within subnuclear domains. These applications make BCLAF1 antibody valuable for research into transcription, apoptosis, and DNA repair.

By supplying validated BCLAF1 antibody reagents, NSJ Bioreagents supports research into apoptosis regulation, nuclear function, and disease biology. Detection of BCL2-associated transcription factor 1 provides insight into how cells integrate transcriptional control with survival and death signals.

Application Notes

Optimal dilution of the BCLAF1 antibody should be determined by the researcher.

Immunogen

A synthesized peptide derived from human BTF was used as the immunogen for the BCLAF1 antibody.

Storage

Store the BCLAF1 antibody at -20oC.

Cross
Bulk Quote Request Form
Name*:
Organization*:
Email*:
Phone Number*:
Catalog No.*:
Comments and Specifics(amount, formulation, etc.)*:
Validation code: Captchapackage Image


Can't read the image? click here to refresh.
    *required field

Your bulk quote request has been submitted successfully!

Please contact us if you have any questions.