• Tel: 858.663.9055
  • SeparatorEmail: info@nsjbio.com
  • Tel: 858.663.9055
  • Email: info@nsjbio.com
Home >> Antibodies >> BCL9L Antibody

BCL9L Antibody (RQ4979)

  Catalog No Formulation Size Price (USD)  
Image RQ4979 0.5mg/ml if reconstituted with 0.2ml sterile DI water 100 ug 449
Bulk quote request
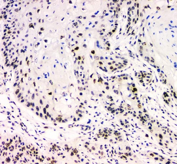
IHC staining of FFPE human esophagus squama cancer with BCL9L antibody. HIER: boil tissue sections in pH6, 10mM citrate buffer, for 20 min and allow to cool before testing.
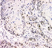
IHC staining of FFPE human lung cancer with BCL9L antibody. HIER: boil tissue sections in pH6, 10mM citrate buffer, for 20 min and allow to cool before testing.
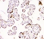
IHC staining of FFPE human placenta with BCL9L antibody. HIER: boil tissue sections in pH6, 10mM citrate buffer, for 20 min and allow to cool before testing.
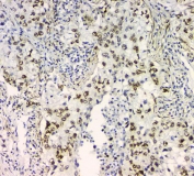
IHC staining of FFPE human ovarian cancer with BCL9L antibody. HIER: boil tissue sections in pH6, 10mM citrate buffer, for 20 min and allow to cool before testing.
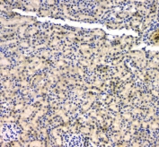
IHC staining of FFPE mouse kidney with BCL9L antibody. HIER: boil tissue sections in pH6, 10mM citrate buffer, for 20 min and allow to cool before testing.
IHC staining of FFPE rat kidney with BCL9L antibody. HIER: boil tissue sections in pH6, 10mM citrate buffer, for 20 min and allow to cool before testing.
Immunofluorescent staining of FFPE human A431 cells with BCL9L antibody (green) and DAPI nuclear stain (blue). HIER: boil tissue sections in pH6, 10mM citrate buffer, for 20 min and allow to cool before testing.
Flow cytometry testing of human SiHa cells with BCL9L antibody at 1ug/million cells (blocked with goat sera); Red=cells alone, Green=isotype control, Blue= BCL9L antibody.
Western blot testing of 1) human HeLa, 2) human T-47D, 3) human PANC-1, 4) rat testis, 5) rat liver, 6) mouse testis, 7) mouse thymus and 8) mouse HEPA1-6 lysate with BCL9L antibody. Predicted molecular weight ~157 kDa, routinley observed at ~200 kDa.
Availability 1-3 business days
Species Reactivity Human, Mouse, Rat
Format Antigen affinity purified
Host Rabbit
Clonality Polyclonal (rabbit origin)
Isotype Rabbit IgG
Purity Affinity purified
Buffer Lyophilized from 1X PBS with 2% Trehalose and 0.025% sodium azide
UniProt Q86UU0
Applications Western Blot : 0.1-0.5ug/ml
Immunofluorescence (FFPE) : 2-4ug/ml
Immunohistochemistry (FFPE) : 1-2ug/ml
Flow Cytometry : 1-3ug/million cells
Direct ELISA : 0.1-0.5ug/ml (human recombinant protein)
Limitations This BCL9L antibody is available for research use only.
Review this product on BioCompare and get a $20 Amazon gift card

Description

B-cell CLL/lymphoma 9 like is a protein that in humans is encoded by the BCL9L gene. It is mapped to 11q23.3. Bcl-9 (B-cell lymphoma 9; also Protein legless homolog) is a transcriptional regulator that belongs to the Bcl-9 family of proteins. It is expressed in multiple tissues and serves to recruit Pygopus to the Wnt-pathway beta -catenin-TCF complex in the nucleus. Bcl-9 and Bcl-9-2 are considered evolutionary duplicates of Legless that perform the same task with different regulation. Human Bcl-9 is 1426 amino acids (aa) in length. It contains one phosphothreonine and three phosphoserine sites that have been identified so far, two poly-Pro regions (aa 514?517 and 970?973), and one poly-Ala segment (aa 900?903). There is one potential alternate start site at Met27, and a variant isoform exists that shows a four aa substitution for aa 1391?1426. Over aa 1009?1328, human Bcl-9 is 96% aa identical to mouse Bcl-9.

Application Notes

Optimal dilution of the BCL9L antibody should be determined by the researcher.

Immunogen

Amino acids E397-A666 from the human protein were used as the immunogen for the BCL9L antibody.

Storage

Store the BCL9L antibody at -20oC.

Cross
Bulk Quote Request Form
Name*:
Organization*:
Email*:
Phone Number*:
Catalog No.*:
Comments and Specifics(amount, formulation, etc.)*:
Validation code: Captchapackage Image


Can't read the image? click here to refresh.
    *required field

Your bulk quote request has been submitted successfully!

Please contact us if you have any questions.