• Tel: 858.663.9055
  • SeparatorEmail: info@nsjbio.com
  • Tel: 858.663.9055
  • Email: info@nsjbio.com
Home >> Antibodies >> BCL2L1 Antibody / Bcl-X

BCL2L1 Antibody / Bcl-X [clone 31B78] (FY13325)

  Catalog No Formulation Size Price (USD)  
Image FY13325 Rabbit IgG in phosphate buffered saline, pH 7.4, 150mM NaCl, 0.02% sodium azide and 50% glycerol, 0.4-0.5mg/ml BSA 100 ul 449
Microvalidated Recrabbitmono
Bulk quote request
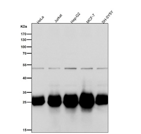
Western blot testing of human samples using the BCL2L1 antibody at 1:1000 dilution for 1 hour at room temperature. A major band is detected at approximately 26-32 kDa, consistent with BCL2L1/Bcl-xL. A faint band around 50 kDa is occasionally observed in some cell lines and may represent an SDS-resistant Bcl-xL dimer or complex; this band is much weaker than the monomeric species.
Western blot analysis of Bcl-XL/BCL2L1 expression in (1) human Ramos cell lysate; (2) human K562 cell lysate using BCL2L1 antibody. Predicted molecular weight ~26 kDa, commonly observed at 26-32 kDa.
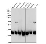
Western blot testing of mouse and rat samples using the BCL2L1 antibody at 1:1000 dilution for 1 hour at room temperature. A major band is detected at approximately 26-32 kDa, consistent with BCL2L1/Bcl-xL. A faint band around 50 kDa is occasionally observed in some samples and may represent an SDS-resistant Bcl-xL dimer or complex; this band is much weaker than the monomeric species.
Western blot testing of mouse and rat brain samples using the BCL2L1 antibody at 1:1000 dilution for 1 hour at room temperature. A major band is detected at approximately 26-32 kDa, consistent with BCL2L1/Bcl-xL.
Availability 2-3 weeks
Species Reactivity Human, Mouse, Rat
Format Liquid
Host Rabbit
Clonality Recombinant Rabbit Monoclonal
Isotype Rabbit IgG
Clone Name 31B78
Purity Affinity chromatography
Buffer Rabbit IgG in phosphate buffered saline, pH 7.4, 150mM NaCl, 0.02% sodium azide and 50% glycerol, 0.4-0.5mg/ml BSA.
UniProt Q07817
Applications Western Blot : 1:500-1:2000
Immunohistochemistry : 1:50-1:200
Immunoprecipitation : 1:50
Limitations This BCL2L1 antibody is available for research use only.
Review this product on BioCompare and get a $20 Amazon gift card

Related Products

Description

BCL2L1 antibody detects Bcl-x, encoded by the BCL2L1 gene. Bcl-x is a member of the Bcl-2 protein family that regulates mitochondrial outer membrane permeability and controls apoptosis. This protein is best known for existing in multiple isoforms with opposing functions: the larger isoform Bcl-xL acts as an anti-apoptotic factor, while the shorter isoform Bcl-xS promotes apoptosis. BCL2L1 antibody provides researchers with an essential reagent to investigate cell survival, stress responses, and oncogenesis.

Bcl-x functions by interacting with other members of the Bcl-2 family, including Bax, Bak, and Bad. Research using BCL2L1 antibody has shown that the anti-apoptotic isoform Bcl-xL sequesters pro-apoptotic factors, preventing them from permeabilizing the mitochondrial outer membrane. This blocks cytochrome c release and subsequent caspase activation, preserving cell survival under stress conditions. Conversely, Bcl-xS antagonizes Bcl-xL and promotes apoptosis by facilitating mitochondrial permeabilization. The ratio of isoform expression therefore determines whether a cell undergoes survival or programmed cell death.

Studies with BCL2L1 antibody have revealed important roles for Bcl-x in development. Bcl-xL is required for the survival of immature neurons and erythroid progenitors during embryogenesis. Knockout models demonstrate embryonic lethality when Bcl-x is absent, highlighting its essential role in protecting developing tissues from apoptosis. These findings underscore the protein's fundamental role in balancing proliferation with programmed cell death during development.

In cancer research, Bcl-x has emerged as a major regulator of tumor cell survival and therapeutic resistance. Research using BCL2L1 antibody has shown that many cancers, including lymphomas, leukemias, lung carcinoma, and breast carcinoma, overexpress Bcl-xL. This overexpression prevents apoptosis induced by chemotherapy or radiation, leading to poor therapeutic outcomes. Small molecule inhibitors targeting Bcl-xL are under active development as strategies to re-sensitize cancer cells to apoptosis. The presence of high Bcl-xL levels is often associated with worse prognosis, demonstrating its clinical relevance.

Beyond oncology, Bcl-x is also critical in cardiovascular and neurodegenerative disease. Studies with BCL2L1 antibody have shown that Bcl-xL protects cardiomyocytes during ischemia-reperfusion injury and reduces apoptosis in neurons exposed to oxidative or excitotoxic stress. However, prolonged survival of damaged cells may contribute to pathological remodeling in the heart or persistence of dysfunctional neurons in neurodegenerative disorders. This dual role highlights the complexity of targeting Bcl-x in disease therapy.

Immune regulation also relies on Bcl-x. Research using BCL2L1 antibody has demonstrated that Bcl-x isoform balance shapes lymphocyte development, particularly during thymocyte maturation. Anti-apoptotic activity ensures survival of certain T-cell subsets, while regulation of Bcl-x levels contributes to immune tolerance and selection. These functions link Bcl-x to immune homeostasis as well as immune-mediated disease.

BCL2L1 antibody is widely used in western blotting, immunohistochemistry, and flow cytometry. Western blotting distinguishes between Bcl-xL and Bcl-xS isoforms, immunohistochemistry reveals tissue-specific expression patterns, and flow cytometry measures survival regulation within immune populations. These approaches make BCL2L1 antibody valuable for basic research, translational oncology, and clinical immunology.

By supplying validated BCL2L1 antibody reagents, NSJ Bioreagents supports research into apoptosis regulation, cancer biology, and stress adaptation. Detection of Bcl-x provides insight into how Bcl-2 family proteins integrate pro-survival and pro-apoptotic signals to determine cell fate across development, immunity, and disease.

Application Notes

Optimal dilution of the BCL2L1 antibody should be determined by the researcher.

Immunogen

A synthesized peptide derived from human Bcl-XL was used as the immunogen for the BCL2L1 antibody.

Storage

Store the BCL2L1 antibody at -20oC.

Cross
Bulk Quote Request Form
Name*:
Organization*:
Email*:
Phone Number*:
Catalog No.*:
Comments and Specifics(amount, formulation, etc.)*:
Validation code: Captchapackage Image


Can't read the image? click here to refresh.
    *required field

Your bulk quote request has been submitted successfully!

Please contact us if you have any questions.