• Tel: 858.663.9055
  • SeparatorEmail: info@nsjbio.com
  • Tel: 858.663.9055
  • Email: info@nsjbio.com
Home >> Antibodies >> Bcl2 Antibody

Bcl2 Antibody [clone ARBC2-1] (V7145)

  Catalog No Formulation Size Price (USD)  
Image V7145-100UG 0.2 mg/ml in 1X PBS with 0.1 mg/ml BSA (US sourced) and 0.05% sodium azide 100 ug 559
Image
V7145-20UG 0.2 mg/ml in 1X PBS with 0.1 mg/ml BSA (US sourced) and 0.05% sodium azide 20 ug 259
Image
V7145SAF-100UG 1 mg/ml in 1X PBS; BSA free, sodium azide free 100 ug 559
Image
V7145IHC-7ML Prediluted in 1X PBS with 0.1 mg/ml BSA (US sourced) and 0.05% sodium azide; *For IHC use only* 7 ml 559
Bulk quote request
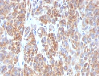
IHC testing of FFPE human melanoma with Bcl2 antibody (clone ARBC2-1). HIER: boil tissue sections in 10mM Tris with 1mM EDTA, pH 9, for 10-20 min and allow to cool before testing.
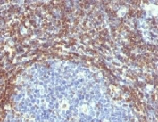
IHC testing of FFPE human tonsil with Bcl2 antibody (clone ARBC2-1). HIER: boil tissue sections in 10mM Tris with 1mM EDTA, pH 9, for 10-20 min and allow to cool before testing.
Western blot testing of human MCF7 cell lysate with Bcl2 antibody (clone ARBC2-1). Routinely observed at 18-22 kDa.
Availability 1-3 business days
Species Reactivity Human
Format Purified
Host Mouse
Clonality Monoclonal (mouse origin)
Isotype Mouse IgG1, kappa
Clone Name ARBC2-1
Purity Protein G affinity chromatography
UniProt P10415
Localization Cytoplasmic, membrane
Applications Western Blot : 1-2ug/ml
Immunohistochemistry (FFPE) : 1-2ug/ml for 30 min at RT
Prediluted IHC Only Format : incubate for 30 min at RT (1)
Limitations This Bcl2 antibody is available for research use only.
Review this product on BioCompare and get a $20 Amazon gift card

Related Products

  • Applications : FACS, IF, WB, IHC-P
    Reactivity : Human
    Citation  Citations(24)
  • Applications : FACS, IF, WB, IHC-P
    Reactivity : Human
    Citation  Citations(7)
  • Applications : FACS, IF, WB, IHC-P
    Reactivity : Human
    Citation  Citations(8)
  • Applications : FACS, IF, WB, IHC-P
    Reactivity : Human
    Citation  Citations(2)
  • Applications : WB, IHC-P, IHC-F, ICC
    Reactivity : Human
  • Applications : WB, IHC-P
    Reactivity : Human
  • Applications : WB, IHC-P
    Reactivity : Human
  • Applications : WB, IHC-P
    Reactivity : Human
  • Applications : FACS, IF, WB, IHC-P
    Reactivity : Human
  • Applications : WB (recombinant protein), ELISA (recombinant protein)
    Reactivity : Human
  • Applications : WB, IHC, IF, ELISA
    Reactivity : Human, Mouse, Rat
    Pred. Reactivity : Bovine
  • Applications : WB, ELISA
    Reactivity : Human
    Pred. Reactivity : Bovine, Hamster, Mouse, Rat
  • Applications : WB, ELISA
    Reactivity : Human
  • Applications : WB, ELISA
    Reactivity : Human, Mouse
    Pred. Reactivity : Bovine, Hamster, Rat
  • Applications : WB, ELISA
    Reactivity : Human
    Pred. Reactivity : Bovine, Chicken, Hamster, Mouse, Rat
  • Applications : WB, ELISA (peptide)
    Reactivity : Human
    Pred. Reactivity : Dog, Mouse, Rat

Description

Bcl2 suppresses apoptosis in a variety of cell systems including factor-dependent lymphohematopoietic and neural cells. Regulates cell death by controlling the mitochondrial membrane permeability. Appears to function in a feedback loop system with caspases. Inhibits caspase activity either by preventing the release of cytochrome c from the mitochondria and/or by binding to the apoptosis-activating factor (APAF-1). May attenuate inflammation by impairing NLRP1-inflammasome activation, hence CASP1 activation and IL1B release. [UniProt]

Application Notes

Optimal dilution of the Bcl2 antibody should be determined by the researcher.

1. The prediluted format is supplied in a dropper bottle and is optimized for use in IHC. After epitope retrieval step (if required), drip mAb solution onto the tissue section and incubate at RT for 30 min.

Immunogen

Recombinant full-length human protein was used as the immunogen for the Bcl2 antibody.

Storage

Store the Bcl2 antibody at 2-8oC (with azide) or aliquot and store at -20oC or colder (without azide).

Cross
Bulk Quote Request Form
Name*:
Organization*:
Email*:
Phone Number*:
Catalog No.*:
Comments and Specifics(amount, formulation, etc.)*:
Validation code: Captchapackage Image


Can't read the image? click here to refresh.
    *required field

Your bulk quote request has been submitted successfully!

Please contact us if you have any questions.