• Tel: 858.663.9055
  • SeparatorEmail: info@nsjbio.com
  • Tel: 858.663.9055
  • Email: info@nsjbio.com
Home >> Antibodies >> Bcl-W Antibody (BH3 domain specific)

Bcl-W Antibody (BH3 domain specific) (F54369)

  Catalog No Formulation Size Price (USD)  
Image F54369-0.4ML In 1X PBS, pH 7.4, with 0.09% sodium azide 0.4 ml 439
Image
F54369-0.08ML In 1X PBS, pH 7.4, with 0.09% sodium azide 0.08 ml 205
Bulk quote request
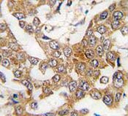
IHC testing of FFPE human breast cancer tissue with Bcl-W antibody. HIER: steam section in pH6 citrate buffer for 20 min and allow to cool prior to staining.
Western blot testing of human HL60 cell lysate with Bcl-W antibody. Predicted moleuclar weight ~21 kDa.
Western blot testing of mouse NIH 3T3 cell lysate with Bcl-W antibody. Predicted moleuclar weight ~21 kDa.
Availability 1-3 business days
Species Reactivity Human, Mouse
Format Purified
Host Rabbit
Clonality Polyclonal (rabbit origin)
Isotype Rabbit Ig
Purity SAS precipitation
UniProt Q92843
Localization Cytoplasmic
Applications Western Blot : 1:500-1:2000
Immunohistochemistry (FFPE) : 1:25
Limitations This Bcl-W antibody is available for research use only.
Review this product on BioCompare and get a $20 Amazon gift card

Related Products

Description

Bcl-w is a member of the BCL-2 protein family. The proteins of this family form hetero- or homodimers and act as anti- and pro-apoptotic regulators. Expression of this gene in cells has been shown to contribute to reduced cell apoptosis under cytotoxic conditions. Studies of the related gene in mice indicated a role in the survival of NGF- and BDNF-dependent neurons. Mutation and knockout studies of the mouse gene demonstrated an essential role in adult spermatogenesis.

Application Notes

The stated application concentrations are suggested starting points. Titration of the Bcl-W antibody (BH3 Domain Specific) may be required due to differences in protocols and secondary/substrate sensitivity.

Immunogen

A portion of amino acids 24-59 from the human protein was used as the immunogen for the Bcl-W antibody.

Storage

Aliquot the Bcl-W antibody and store frozen at -20oC or colder. Avoid repeated freeze-thaw cycles.

Cross
Bulk Quote Request Form
Name*:
Organization*:
Email*:
Phone Number*:
Catalog No.*:
Comments and Specifics(amount, formulation, etc.)*:
Validation code: Captchapackage Image


Can't read the image? click here to refresh.
    *required field

Your bulk quote request has been submitted successfully!

Please contact us if you have any questions.