• Tel: 858.663.9055
  • SeparatorEmail: info@nsjbio.com
  • Tel: 858.663.9055
  • Email: info@nsjbio.com
Home >> Antibodies >> Bcl-2-related ovarian killer protein Antibody / hBok / BOK

Bcl-2-related ovarian killer protein Antibody / hBok / BOK (RQ7787)

  Catalog No Formulation Size Price (USD)  
Image RQ7787 0.5mg/ml if reconstituted with 0.2ml sterile DI water 100 ug 449
Bulk quote request
Flow cytometry testing of human U-251 cells with Bcl-2-related ovarian killer protein antibody at 1ug/million cells (blocked with goat sera); Red=cells alone, Green=isotype control, Blue= Bcl-2-related ovarian killer protein antibody.
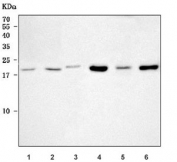
Western blot testing of 1) human MCF7, 2) human HepG2, 3) rat ovary, 4) rat brain, 5) mouse ovary and 6) mouse brain tissue lysate with Bcl-2-related ovarian killer protein antibody. Predicted molecular weight ~23 kDa.
Availability 1-3 business days
Species Reactivity Human, Mouse, Rat
Format Antigen affinity purified
Host Rabbit
Clonality Polyclonal (rabbit origin)
Isotype Rabbit IgG
Purity Antigen affinity purified
Buffer Lyophilized from 1X PBS with 2% Trehalose
UniProt Q9UMX3
Applications Western Blot : 0.5-1ug/ml
Flow Cytometry : 1-3ug/million cells
Direct ELISA : 0.1-0.5ug/ml
Limitations This Bcl-2-related ovarian killer protein antibody is available for research use only.
Review this product on BioCompare and get a $20 Amazon gift card

Description

The protein encoded by this gene belongs to the BCL2 family, members of which form homo- or heterodimers, and act as anti- or proapoptotic regulators that are involved in a wide variety of cellular processes. Studies in rat show that this protein has restricted expression in reproductive tissues, interacts strongly with some anti-apoptotic BCL2 proteins, not at all with proapoptotic BCL2 proteins, and induces apoptosis in transfected cells. Thus, this protein represents a proapoptotic member of the BCL2 family.

Application Notes

Optimal dilution of the Bcl-2-related ovarian killer protein antibody should be determined by the researcher.

Immunogen

E. coli-derived recombinant human protein (amino acids M1-C177) was used as the immunogen for the Bcl-2-related ovarian killer protein antibody.

Storage

After reconstitution, the Bcl-2-related ovarian killer protein antibody can be stored for up to one month at 4oC. For long-term, aliquot and store at -20oC. Avoid repeated freezing and thawing.

Cross
Bulk Quote Request Form
Name*:
Organization*:
Email*:
Phone Number*:
Catalog No.*:
Comments and Specifics(amount, formulation, etc.)*:
Validation code: Captchapackage Image


Can't read the image? click here to refresh.
    *required field

Your bulk quote request has been submitted successfully!

Please contact us if you have any questions.