• Tel: 858.663.9055
  • SeparatorEmail: info@nsjbio.com
  • Tel: 858.663.9055
  • Email: info@nsjbio.com
Home >> Antibodies >> Bcl-2 Antibody

Bcl-2 Antibody [clone BCL2/6915] (V4581)

  Catalog No Formulation Size Price (USD)  
Image V4581-100UG 0.2 mg/ml in 1X PBS with 0.1 mg/ml BSA (US sourced), 0.05% sodium azide 100 ug 559
Image
V4581-20UG 0.2 mg/ml in 1X PBS with 0.1 mg/ml BSA (US sourced), 0.05% sodium azide 20 ug 259
Image
V4581SAF-100UG 1 mg/ml in 1X PBS; BSA free, sodium azide free 100 ug 559
Bulk quote request
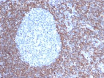
IHC staining of FFPE human tonsil tissue with Bcl-2 antibody (clone BCL2/6915). HIER: boil tissue sections in pH 9 10mM Tris with 1mM EDTA for 20 min and allow to cool before testing.
IHC staining of FFPE human tonsil tissue with Bcl-2 antibody (clone BCL2/6915). Inset: PBS used in place of primary Ab (secondary Ab negative control). HIER: boil tissue sections in pH 9 10mM Tris with 1mM EDTA for 20 min and allow to cool before testing.
SDS-PAGE analysis of purified, BSA-free Bcl-2 antibody (clone BCL2/6915) as confirmation of integrity and purity.
Availability 1-3 business days
Species Reactivity Human
Format Purified
Host Mouse
Clonality Monoclonal (mouse origin)
Isotype Mouse IgG1, kappa
Clone Name BCL2/6915
Purity Protein A/G affinity
UniProt P10415
Localization Cytoplasm, nuclear membrane
Applications Immunohistochemistry (FFPE) : 1-2ug/ml for 30 min at RT
Limitations This Bcl-2 antibody is available for research use only.
Review this product on BioCompare and get a $20 Amazon gift card

Related Products

  • Applications : FACS, IF, WB, IHC-P
    Reactivity : Human
    Citation  Citations(24)
  • Applications : FACS, IF, WB, IHC-P
    Reactivity : Human
    Citation  Citations(7)
  • Applications : FACS, IF, WB, IHC-P
    Reactivity : Human
    Citation  Citations(8)
  • Applications : FACS, IF, WB, IHC-P
    Reactivity : Human
    Citation  Citations(2)
  • Applications : WB, IHC-P, IHC-F, ICC
    Reactivity : Human
  • Applications : WB, IHC-P
    Reactivity : Human
  • Applications : WB, IHC-P
    Reactivity : Human
  • Applications : WB, IHC-P
    Reactivity : Human
  • Applications : FACS, IF, WB, IHC-P
    Reactivity : Human
  • Applications : WB, IHC-P
    Reactivity : Human
  • Applications : WB (recombinant protein), ELISA (recombinant protein)
    Reactivity : Human
  • Applications : WB, IHC, IF, ELISA
    Reactivity : Human, Mouse, Rat
    Pred. Reactivity : Bovine
  • Applications : WB, ELISA
    Reactivity : Human
    Pred. Reactivity : Bovine, Hamster, Mouse, Rat
  • Applications : WB, ELISA
    Reactivity : Human
  • Applications : WB, ELISA
    Reactivity : Human, Mouse
    Pred. Reactivity : Bovine, Hamster, Rat
  • Applications : WB, ELISA
    Reactivity : Human
    Pred. Reactivity : Bovine, Chicken, Hamster, Mouse, Rat
  • Applications : WB, ELISA (peptide)
    Reactivity : Human
    Pred. Reactivity : Dog, Mouse, Rat

Description

This antibody recognizes a protein of 25-26kDa, identified as the Bcl-2 alpha oncoprotein. It shows no cross-reaction with Bcl-x or Bax protein. Expression of Bcl-2 alpha oncoprotein inhibits the programmed cell death (apoptosis). In most follicular lymphomas, neoplastic germinal centers express high levels of Bcl-2 alpha protein, whereas the normal or hyperplastic germinal centers are negative.Consequently, this antibody is valuable when distinguishing between reactive and neoplastic follicular proliferation in lymph node biopsies. It may also be used in distinguishing between those follicular lymphomas that express bcl-2 protein and the small number in which the neoplastic cells are bcl-2 negative.

Application Notes

Optimal dilution of the Bcl-2 antibody should be determined by the researcher.

Immunogen

A recombinant partial protein sequence (within amino acids 1-200) from the human protein was used as the immunogen for the Bcl-2 antibody.

Storage

Aliquot the Bcl-2 antibody and store frozen at -20oC or colder. Avoid repeated freeze-thaw cycles.

Cross
Bulk Quote Request Form
Name*:
Organization*:
Email*:
Phone Number*:
Catalog No.*:
Comments and Specifics(amount, formulation, etc.)*:
Validation code: Captchapackage Image


Can't read the image? click here to refresh.
    *required field

Your bulk quote request has been submitted successfully!

Please contact us if you have any questions.