• Tel: 858.663.9055
  • SeparatorEmail: info@nsjbio.com
  • Tel: 858.663.9055
  • Email: info@nsjbio.com
Home >> Antibodies >> BCCIP Antibody / BRCA2 and CDKN1A-interacting protein

BCCIP Antibody / BRCA2 and CDKN1A-interacting protein (FY12833)

  Catalog No Formulation Size Price (USD)  
Image FY12833 Adding 0.2 ml of distilled water will yield a concentration of 500 ug/ml 100 ug 449
Bulk quote request
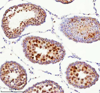
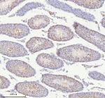
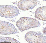
Immunohistochemical staining of BCCIP using anti-BCCIP antibody. BCCIP was detected in a paraffin-embedded section of rat testis tissue. Heat mediated antigen retrieval was performed in EDTA buffer (pH 8.0, epitope retrieval solution). The tissue section was blocked with 10% goat serum. The tissue section was then incubated with 2 ug/ml rabbit anti-BCCIP antibody overnight at 4oC. Peroxidase Conjugated Goat Anti-rabbit IgG was used as secondary antibody and incubated for 30 minutes at 37oC. The tissue section was developed using an HRP secondary and DAB substrate.
Western blot analysis of BCCIP using anti-BCCIP antibody. Lane 1: human U251 whole cell lysates, Lane 2: human whole cell lysates, Lane 3: human Caco-2 whole cell lysates, Lane 4: human whole cell lysates. After electrophoresis, proteins were transferred to a nitrocellulose membrane at 150 mA for 50-90 minutes. Blocked the membrane with 5% non-fat milk/TBS for 1.5 hour at RT. The membrane was incubated with rabbit anti-BCCIP antibody at 0.5 ug/ml overnight at 4oC, then washed with TBS-0.1%Tween 3 times with 5 minutes each and probed with a goat anti-rabbit IgG-HRP secondary antibody at a dilution of 1:5000 for 1.5 hour at RT. The signal was developed using enhanced chemiluminescent. BCCIP western blot across human cell lines shows a predominant band at ~45 kDa. Although the predicted size is ~36 kDa, BCCIP is known to migrate higher on SDS-PAGE, with the alpha isoform commonly observed near 45-50 kDa and the beta isoform closer to 36-40 kDa.
Immunohistochemical staining of BCCIP using anti-BCCIP antibody. BCCIP was detected in a paraffin-embedded section of mouse liver tissue. Heat mediated antigen retrieval was performed in EDTA buffer (pH 8.0, epitope retrieval solution). The tissue section was blocked with 10% goat serum. The tissue section was then incubated with 2 ug/ml rabbit anti-BCCIP antibody overnight at 4oC. Peroxidase Conjugated Goat Anti-rabbit IgG was used as secondary antibody and incubated for 30 minutes at 37oC. The tissue section was developed using an HRP secondary and DAB substrate.
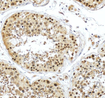
Immunohistochemical staining of BCCIP using anti-BCCIP antibody. BCCIP was detected in a paraffin-embedded section of mouse testis tissue. Heat mediated antigen retrieval was performed in EDTA buffer (pH 8.0, epitope retrieval solution). The tissue section was blocked with 10% goat serum. The tissue section was then incubated with 2 ug/ml rabbit anti-BCCIP antibody overnight at 4oC. Peroxidase Conjugated Goat Anti-rabbit IgG was used as secondary antibody and incubated for 30 minutes at 37oC. The tissue section was developed using an HRP secondary and DAB substrate.
Immunohistochemical staining of BCCIP using anti-BCCIP antibody. BCCIP was detected in a paraffin-embedded section of mouse testis tissue. Heat mediated antigen retrieval was performed in EDTA buffer (pH 8.0, epitope retrieval solution). The tissue section was blocked with 10% goat serum. The tissue section was then incubated with 2 ug/ml rabbit anti-BCCIP antibody overnight at 4oC. Peroxidase Conjugated Goat Anti-rabbit IgG was used as secondary antibody and incubated for 30 minutes at 37oC. The tissue section was developed using an HRP secondary and DAB substrate.
Immunohistochemical staining of BCCIP using anti-BCCIP antibody. BCCIP was detected in a paraffin-embedded section of rat testis tissue. Heat mediated antigen retrieval was performed in EDTA buffer (pH 8.0, epitope retrieval solution). The tissue section was blocked with 10% goat serum. The tissue section was then incubated with 2 ug/ml rabbit anti-BCCIP antibody overnight at 4oC. Peroxidase Conjugated Goat Anti-rabbit IgG was used as secondary antibody and incubated for 30 minutes at 37oC. The tissue section was developed using an HRP secondary and DAB substrate.
Immunohistochemical staining of BCCIP using anti-BCCIP antibody. BCCIP was detected in a paraffin-embedded section of mouse liver tissue. Heat mediated antigen retrieval was performed in EDTA buffer (pH 8.0, epitope retrieval solution). The tissue section was blocked with 10% goat serum. The tissue section was then incubated with 2 ug/ml rabbit anti-BCCIP antibody overnight at 4oC. Peroxidase Conjugated Goat Anti-rabbit IgG was used as secondary antibody and incubated for 30 minutes at 37oC. The tissue section was developed using an HRP secondary and DAB substrate.
Immunofluorescent staining of BCCIP using anti-BCCIP antibody. BCCIP was detected in an immunocytochemical section of cells. Enzyme antigen retrieval was performed using IHC enzyme antigen retrieval reagent for 15 mins. The cells were blocked with 10% goat serum. And then incubated with 5 ug/ml rabbit anti-BCCIP antibody overnight at 4oC. Cy3 Conjugated Goat Anti-Rabbit IgG was used as secondary antibody at 1:500 dilution and incubated for 30 minutes at 37oC. The section was counterstained with DAPI nuclear stain (blue). Visualize using a fluorescence microscope and filter sets appropriate for the label used.
Flow Cytometry analysis of Caco-2 cells using anti-BCCIP antibody. Overlay histogram showing Caco-2 cells stained with (Blue line). To facilitate intracellular staining, cells were fixed with 4% paraformaldehyde and permeabilized with permeabilization buffer. The cells were blocked with 10% normal goat serum. And then incubated with rabbit anti-BCCIP antibody (1 ug/million cells) for 30 min at 20oC. DyLight 488 conjugated goat anti-rabbit IgG (5-10 ug/million cells) was used as secondary antibody for 30 minutes at 20oC. Isotype control antibody (Green line) was rabbit IgG (1 ug/million cells) used under the same conditions. Unlabelled sample (Red line) was also used as a control.
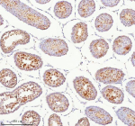
Immunohistochemical staining of BCCIP using anti-BCCIP antibody. BCCIP was detected in a paraffin-embedded section of human testis tissue. Heat mediated antigen retrieval was performed in EDTA buffer (pH 8.0, epitope retrieval solution). The tissue section was blocked with 10% goat serum. The tissue section was then incubated with 2 ug/ml rabbit anti-BCCIP antibody overnight at 4oC. Peroxidase Conjugated Goat Anti-rabbit IgG was used as secondary antibody and incubated for 30 minutes at 37oC. The tissue section was developed using an HRP secondary and DAB substrate.
Availability 1-2 days
Species Reactivity Human, Mouse, Rat
Format Lyophilized
Host Rabbit
Clonality Polyclonal (rabbit origin)
Isotype Rabbit IgG
Purity Immunogen affinity purified
Buffer Each vial contains 4 mg Trehalose, 0.9 mg NaCl, 0.2 mg Na2HPO4.
UniProt Q9P287
Localization Nuclear
Applications Western Blot : 0.25-0.5ug/ml
Immunohistochemistry : 2-5ug/ml
Immunocytochemistry : 5ug/ml
Immunofluorescence : 5ug/ml
Flow Cytometry : 1-3ug/million cells
ELISA : 0.1-0.5ug/ml
Limitations This BCCIP antibody is available for research use only.
Review this product on BioCompare and get a $20 Amazon gift card

Description

BCCIP antibody detects BRCA2 and CDKN1A-interacting protein, a nuclear protein involved in DNA repair, cell cycle regulation, and genome maintenance. Encoded by the BCCIP gene on chromosome 10q26.2, this protein interacts with BRCA2 and p21 (CDKN1A) to facilitate homologous recombination and checkpoint control. BCCIP functions as a cofactor in the BRCA2-RAD51 repair complex, promoting the repair of double-strand breaks and ensuring replication fork stability during DNA synthesis.

Structurally, BCCIP contains conserved coiled-coil domains and an acidic region that mediate protein-protein interactions with DNA repair and replication factors. It is expressed in proliferating cells and localizes primarily to the nucleus, particularly at sites of DNA damage. Through its association with p21, BCCIP also influences CDK activity and contributes to G1/S and G2/M checkpoint control.

The BCCIP antibody is widely used in DNA repair, oncology, and cell cycle research to study BRCA2-associated homologous recombination and genomic integrity. Western blot analysis identifies a 36 kilodalton band corresponding to BCCIP, while immunofluorescence shows nuclear punctate staining consistent with DNA damage foci. This antibody enables detection of repair complex dynamics and checkpoint activation in mammalian cells.

Dysregulation of BCCIP expression impairs DNA repair fidelity, leading to chromosomal instability, replication stress, and increased tumor susceptibility. Reduced BCCIP levels have been observed in glioblastoma and colorectal cancer, supporting its role as a tumor suppressor. The BCCIP antibody provides a reliable reagent for exploring DNA damage response and tumorigenic mechanisms. NSJ Bioreagents validates this antibody for western blotting, immunohistochemistry, and immunofluorescence, ensuring consistent results for genomic stability studies.

Application Notes

Optimal dilution of the BCCIP antibody should be determined by the researcher.

Immunogen

E.coli-derived human BCCIP recombinant protein (Position: K167-K300) was used as the immunogen for the BCCIP antibody.

Storage

After reconstitution, the BCCIP antibody can be stored for up to one month at 4oC. For long-term, aliquot and store at -20oC. Avoid repeated freezing and thawing.

Cross
Bulk Quote Request Form
Name*:
Organization*:
Email*:
Phone Number*:
Catalog No.*:
Comments and Specifics(amount, formulation, etc.)*:
Validation code: Captchapackage Image


Can't read the image? click here to refresh.
    *required field

Your bulk quote request has been submitted successfully!

Please contact us if you have any questions.