• Tel: 858.663.9055
  • SeparatorEmail: info@nsjbio.com
  • Tel: 858.663.9055
  • Email: info@nsjbio.com
Home >> Antibodies >> BCA1 Antibody / B cell-attracting chemokine 1 / CXCL13

BCA1 Antibody / B cell-attracting chemokine 1 / CXCL13 (R32484)

  Catalog No Formulation Size Price (USD)  
Image R32484 0.5mg/ml if reconstituted with 0.2ml sterile DI water 100 ug 439
Bulk quote request
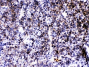
IHC staining of FFPE mouse spleen tissue with BCA1 antibody, HRP-secondary and DAB substrate. HIER: boil tissue sections in pH8 EDTA for 20 min and allow to cool before testing.
IHC testing of FFPE mouse lymph tissue with BCA1 antibody. HIER: steam sections in pH6 citrate buffer for 20 min.
Western blot testing of mouse recombinant protein with BCA1 antibody at 0.5ug/ml.
Availability 1-3 business days
Species Reactivity Mouse
Format Antigen affinity purified
Clonality Polyclonal (rabbit origin)
Isotype Rabbit IgG
Purity Antigen affinity
Buffer Lyophilized from 1X PBS with 2% Trehalose
UniProt O55038
Localization Cytoplasmic, secreted
Applications Western Blot : 0.5-1ug/ml (mouse protein tested)
Immunohistochemistry (FFPE) : 2-5ug/ml
ELISA : 0.1-0.5ug/ml (mouse protein tested); request BSA-free format for coating
Limitations This BCA1 antibody is available for research use only.
Review this product on BioCompare and get a $20 Amazon gift card

Related Products

  • Applications : WB, ELISA (protein)
    Reactivity : Human

Description

BCA1 (B cell-attracting chemokine 1, CXCL13) is a CXC chemokine that binds CXCR5 to direct B cell trafficking and compartmentalization within lymphoid tissues. It shapes germinal center organization and supports positioning of T follicular helper cells, coordinating interactions required for antibody production and humoral immune architecture. BCA1 is produced by stromal and follicular dendritic cell populations and can be detected in secondary lymphoid organs and inducible lymphoid aggregates.

Through spatial guidance cues, BCA1 contributes to lymphoid tissue patterning, immune microenvironment maintenance, and adaptive response calibration. Its expression level and distribution serve as informative readouts in studies of lymphoid organogenesis, tertiary lymphoid structures, and cell–cell communication within stromal niches.

The BCA1 antibody enables specific detection of endogenous CXCL13 in applications such as immunohistochemistry, immunofluorescence, western blot of tissue or cell lysates, and ELISA for conditioned media or biological fluids. Researchers use the BCA1 antibody from NSJ Bioreagents to quantify protein abundance, map tissue localization, and evaluate pathway modulation under defined experimental conditions. With high specificity and consistent performance, the BCA1 antibody supports rigorous investigation of chemokine biology, lymphoid architecture, and immune signaling networks.

Application Notes

Optimal dilution of the BCA1 antibody should be determined by the researcher.

Immunogen

Amino acids I22-A109 were used as the immunogen for the BCA1 antibody.

Storage

Prior to reconstitution, store at 4oC. After reconstitution, the BCA1 antibody can be stored for up to one month at 4oC. For long-term, aliquot and store at -20oC. Avoid repeated freezing and thawing.

Cross
Bulk Quote Request Form
Name*:
Organization*:
Email*:
Phone Number*:
Catalog No.*:
Comments and Specifics(amount, formulation, etc.)*:
Validation code: Captchapackage Image


Can't read the image? click here to refresh.
    *required field

Your bulk quote request has been submitted successfully!

Please contact us if you have any questions.