• Tel: 858.663.9055
  • SeparatorEmail: info@nsjbio.com
  • Tel: 858.663.9055
  • Email: info@nsjbio.com
Home >> Antibodies >> BAK1 Antibody

BAK1 Antibody [clone 4C2] (RQ5500)

  Catalog No Formulation Size Price (USD)  
Image RQ5500 0.5mg/ml if reconstituted with 0.2ml sterile DI water 100 ug 449
Bulk quote request
Immunofluorescent staining of FFPE human A431 cells with BAK1 antibody (green) and DAPI (blue). HIER: boil tissue sections in pH6, 10mM citrate buffer, for 20 min and allow to cool before testing.
Flow cytometry testing of human PC-3 cells with BAK1 antibody at 1ug/million cells (blocked with goat sera); Red=cells alone, Green=isotype control, Blue= BAK1 antibody.
Flow cytometry testing of human SiHa cells with BAK1 antibody at 1ug/million cells (blocked with goat sera); Red=cells alone, Green=isotype control, Blue= BAK1 antibody.
Western blot testing of human 1) HEK293, 2) A431, 3) SW620, 4) T-47D and 5) HepG2 cell lysate with BAK1 antibody. Expected molecular weight ~23 kDa.
IHC staining of FFPE human breast cancer with BAK1 antibody. HIER: boil tissue sections in pH6, 10mM citrate buffer, for 20 min and allow to cool before testing.
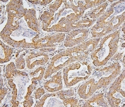
IHC staining of FFPE human intestinal cancer with BAK1 antibody. HIER: boil tissue sections in pH6, 10mM citrate buffer, for 20 min and allow to cool before testing.
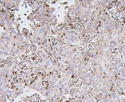
IHC staining of FFPE human lung cancer with BAK1 antibody. HIER: boil tissue sections in pH6, 10mM citrate buffer, for 20 min and allow to cool before testing.
IHC staining of FFPE human tonsil with BAK1 antibody. HIER: boil tissue sections in pH6, 10mM citrate buffer, for 20 min and allow to cool before testing.
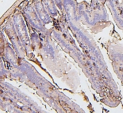
IHC staining of FFPE mouse intestine with BAK1 antibody. HIER: boil tissue sections in pH6, 10mM citrate buffer, for 20 min and allow to cool before testing.
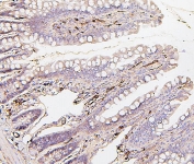
IHC staining of FFPE rat intestine with BAK1 antibody. HIER: boil tissue sections in pH6, 10mM citrate buffer, for 20 min and allow to cool before testing.
Availability 1-3 business days
Species Reactivity Human, Mouse, Rat
Format Antigen affinity purified
Host Mouse
Clonality Monoclonal (mouse origin)
Isotype Mouse IgG2b
Clone Name 4C2
Purity Affinity purified
Buffer Lyophilized from 1X PBS with 2% Trehalose and 0.025% sodium azide
UniProt Q16611
Applications Western Blot : 0.5-1ug/ml
Immunohistochemistry (FFPE) : 1-2ug/ml
Immunocytochemistry/Immunofluorescence : 2-4ug/ml
Flow Cytometry : 1-3ug/million cells
Limitations This BAK1 antibody is available for research use only.
Review this product on BioCompare and get a $20 Amazon gift card

Related Products

  • Applications : WB, IHC-P, ICC
    Reactivity : Human, Mouse, Rat
  • Applications : IHC, WB, ELISA
    Reactivity : Human
  • Applications : WB, ELISA (peptide)
    Reactivity : Human
    Pred. Reactivity : Mouse, Pig, Rat
  • Applications : WB, IHC-P, IHC-F, ICC, IF, FACS
    Reactivity : Human, Mouse, Rat

Description

BAK, officially called Bcl2 antagonist killer, is a protein that in humans, encoded by the BAK gene. The BAK protein is a pro-apoptotic member of the Bcl-2 gene family which is involved in initiating apoptosis. BAK gene spans 7.6 kb and contains 6 exons. By Southern blot analysis of genomic DNA from human/rodent somatic cell hybrids, BAK gene is localized to chromosome 6. This protein localizes to mitochondria, and functions to induce apoptosis. It interacts with and accelerates the opening of the mitochondrial voltage-dependent anion channel, which leads to a loss in membrane potential and the release of cytochrome. This protein also interacts with the tumor suppressor P53 after exposure to cell stress.

Application Notes

Optimal dilution of the BAK1 antibody should be determined by the researcher.

Immunogen

A human recombinant protein (amino acids A22-S211) was used as the immunogen for the BAK1 antibody.

Storage

After reconstitution, the BAK1 antibody can be stored for up to one month at 4oC. For long-term, aliquot and store at -20oC. Avoid repeated freezing and thawing.

Cross
Bulk Quote Request Form
Name*:
Organization*:
Email*:
Phone Number*:
Catalog No.*:
Comments and Specifics(amount, formulation, etc.)*:
Validation code: Captchapackage Image


Can't read the image? click here to refresh.
    *required field

Your bulk quote request has been submitted successfully!

Please contact us if you have any questions.