• Tel: 858.663.9055
  • SeparatorEmail: info@nsjbio.com
  • Tel: 858.663.9055
  • Email: info@nsjbio.com
Home >> Antibodies >> BAK Antibody / BAK1

BAK Antibody / BAK1 (R32246)

  Catalog No Formulation Size Price (USD)  
Image R32246 0.5mg/ml if reconstituted with 0.2ml sterile DI water 100 ug 449
Bulk quote request
Western blot testing of human 1) PC-3, 2) HEK293, 3) Jurkat, 4) Caco-2, 5) U-2 OS, 6) HepG2, 7) HeLa and 8) A549 lysate with BAK antibody. Expected molecular weight ~23 kDa.
Western blot testing of 1) rat skeletal muscle, 2) rat lung, 3) mouse heart, 4) mouse skeletal muscle and 5) mouse lung lysate with BAK antibody. Expected molecular weight ~23 kDa.
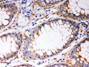
IHC testing of FFPE human intestinal cancer tissue with BAK antibody. HIER: Boil the paraffin sections in pH 6, 10mM citrate buffer for 20 minutes and allow to cool prior to staining.
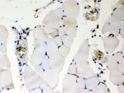
IHC testing of FFPE mouse skeletal muscle with BAK antibody. HIER: Boil the paraffin sections in pH 6, 10mM citrate buffer for 20 minutes and allow to cool prior to staining.
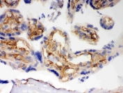
IHC testing of FFPE rat skeletal muscle with BAK antibody. HIER: Boil the paraffin sections in pH 6, 10mM citrate buffer for 20 minutes and allow to cool prior to staining.
IHC testing of frozen human placental tissue with BAK antibody. HIER: Boil the paraffin sections in pH 6, 10mM citrate buffer for 20 minutes and allow to cool prior to staining.
IHC testing of frozen mouse heart tissue with BAK antibody. HIER: Boil the paraffin sections in pH 6, 10mM citrate buffer for 20 minutes and allow to cool prior to staining.
IHC testing of frozen rat heart tissue with BAK antibody. HIER: Boil the paraffin sections in pH 6, 10mM citrate buffer for 20 minutes and allow to cool prior to staining.
ICC testing of FFPE human SMMC-7721 cells with BAK antibody. HIER: Boil the paraffin sections in pH 6, 10mM citrate buffer for 20 minutes and allow to cool prior to staining.
Flow cytometry testing of human ThP1 cells with BAK antibody at 1ug/10^6 cells (blocked with goat sera); Red=cells alone, Green=isotype control, Blue= BAK antibody.
Immunofluorescent staining of FFPE human MCF7 cells with BAK antibody (green) and DAPI nuclear stain (blue). HIER: steam section in pH6 citrate buffer for 20 min.
Availability 1-3 business days
Species Reactivity Human, Mouse, Rat
Format Antigen affinity purified
Host Rabbit
Clonality Polyclonal (rabbit origin)
Isotype Rabbit IgG
Purity Antigen affinity
Buffer Lyophilized from 1X PBS with 2.5% BSA, 0.025% sodium azide
UniProt Q16611
Localization Cytoplasmic
Applications Western Blot : 0.1-0.5ug/ml
Immunohistochemistry (FFPE) : 0.5-1ug/ml
Immunohistochemistry (Frozen) : 0.5-1ug/ml
Immunocytochemistry (FFPE) : 0.5-1ug/ml
Immunofluorescence : 2-4ug/ml
Flow Cytometry : 1-3ug/10^6 cells
Limitations This BAK antibody is available for research use only.
Review this product on BioCompare and get a $20 Amazon gift card

Related Products

  • Applications : WB, IHC-P, ICC/IF, FACS
    Reactivity : Human, Mouse, Rat
  • Applications : WB, IHC-P, ICC
    Reactivity : Human, Mouse, Rat
  • Applications : IHC, WB, ELISA
    Reactivity : Human
  • Applications : WB, ELISA (peptide)
    Reactivity : Human
    Pred. Reactivity : Mouse, Pig, Rat

Description

BAK, officially called Bcl2 antagonist killer, is a protein that in humans, encoded by the BAK gene. The BAK protein is a pro-apoptotic member of the Bcl-2 gene family which is involved in initiating apoptosis. BAK gene spans 7.6 kb and contains 6 exons. By Southern blot analysis of genomic DNA from human/rodent somatic cell hybrids, BAK gene is localized to chromosome 6. This protein localizes to mitochondria, and functions to induce apoptosis. It interacts with and accelerates the opening of the mitochondrial voltage-dependent anion channel, which leads to a loss in membrane potential and the release of cytochrome. This protein also interacts with the tumor suppressor P53 after exposure to cell stress.

Application Notes

Optimal dilution of the BAK antibody should be determined by the researcher.

Immunogen

Amino acids 22-211 of human BAK were used as the immunogen for the BAK antibody.

Storage

After reconstitution, the BAK antibody can be stored for up to one month at 4oC. For long-term, aliquot and store at -20oC. Avoid repeated freezing and thawing.

Cross
Bulk Quote Request Form
Name*:
Organization*:
Email*:
Phone Number*:
Catalog No.*:
Comments and Specifics(amount, formulation, etc.)*:
Validation code: Captchapackage Image


Can't read the image? click here to refresh.
    *required field

Your bulk quote request has been submitted successfully!

Please contact us if you have any questions.