• Tel: 858.663.9055
  • SeparatorEmail: info@nsjbio.com
  • Tel: 858.663.9055
  • Email: info@nsjbio.com
Home >> Antibodies >> BAG3 Antibody / BAG family molecular chaperone regulator 3

BAG3 Antibody / BAG family molecular chaperone regulator 3 (R31850)

  Catalog No Formulation Size Price (USD)  
Image R31850 0.5mg/ml if reconstituted with 0.2ml sterile DI water 100 ug 449
Bulk quote request
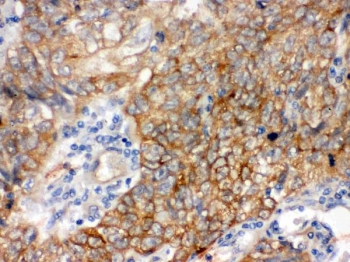
IHC testing of FFPE human lung cancer tissue with BAG3 antibody. HIER: Boil the paraffin sections in pH 6, 10mM citrate buffer for 20 minutes and allow to cool prior to staining.
Western blot testing of human 1) HeLa, 2) MCF7, 3) A431, 4) 293T, 5) U-251 and 6) U-87 MG cell lysate with BAG3 antibody. Predicted molecular weight ~62 kDa but can be observed at 75~80 kDa.
Availability 1-3 business days
Species Reactivity Human
Format Antigen affinity purified
Host Rabbit
Clonality Polyclonal (rabbit origin)
Isotype Rabbit IgG
Purity Antigen affinity
Buffer Lyophilized from 1X PBS with 2.5% BSA and 0.025% sodium azide
UniProt O95817
Localization Cytoplasmic, some nuclear
Applications Western Blot : 0.1-0.5ug/ml
IHC (FFPE) : 0.5-1ug/ml
Limitations This BAG3 antibody is available for research use only.
Review this product on BioCompare and get a $20 Amazon gift card

Related Products

  • Applications : WB
    Reactivity : Human
    Rab Mono Image
  • Applications : WB, IHC-P, ELISA (peptide)
    Reactivity : Human
  • Applications : WB, IHC-P, ELISA (peptide)
    Reactivity : Human

Description

BAG family molecular chaperone regulator 3 (BAG3) inhibits the chaperone activity of HSP70/HSC70 by promoting substrate release. Has anti-apoptotic activity. [UniProt]

Application Notes

Optimal dilution of the BAG3 antibody should be determined by the researcher.

Immunogen

Amino acids 100-561 of human BAG3 were used as the immunogen for the BAG3 antibody.

Storage

After reconstitution, the BAG3 antibody can be stored for up to one month at 4oC. For long-term, aliquot and store at -20oC. Avoid repeated freezing and thawing.

Cross
Bulk Quote Request Form
Name*:
Organization*:
Email*:
Phone Number*:
Catalog No.*:
Comments and Specifics(amount, formulation, etc.)*:
Validation code: Captchapackage Image


Can't read the image? click here to refresh.
    *required field

Your bulk quote request has been submitted successfully!

Please contact us if you have any questions.