• Tel: 858.663.9055
  • SeparatorEmail: info@nsjbio.com
  • Tel: 858.663.9055
  • Email: info@nsjbio.com
Home >> Antibodies >> BAG1 Antibody

BAG1 Antibody (R32784)

  Catalog No Formulation Size Price (USD)  
Image R32784 0.5mg/ml if reconstituted with 0.2ml sterile DI water 100 ug 449
Bulk quote request
IHC staining of FFPE human tonsil tissue with BAG1 antibody. HIER: boil tissue sections in pH8 EDTA for 20 min and allow to cool before testing.
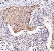
IHC staining of FFPE human colorectal adenocarcinoma tissue with BAG1 antibody. HIER: boil tissue sections in pH8 EDTA for 20 min and allow to cool before testing.
IHC staining of FFPE human breast cancer tissue with BAG1 antibody. HIER: boil tissue sections in pH8 EDTA for 20 min and allow to cool before testing.
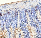
IHC staining of FFPE mouse colon tissue with BAG1 antibody. HIER: boil tissue sections in pH8 EDTA for 20 min and allow to cool before testing.
IHC staining of FFPE rat colon tissue with BAG1 antibody. HIER: boil tissue sections in pH8 EDTA for 20 min and allow to cool before testing.
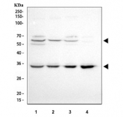
Western blot testing of human 1) HeLa, 2) Jurkat, 3) MCF7 and 4) 293T cell lysate with BAG1 antibody. Predicted molecular weight ~50 kDa (long form), 29-33 (short form).
Availability 1-3 business days
Species Reactivity Human, Mouse, Rat
Predicted Reactivity Human
Format Antigen affinity purified
Host Rabbit
Clonality Polyclonal (rabbit origin)
Isotype Rabbit IgG
Purity Antigen affinity
Buffer Lyophilized from 1X PBS with 2% Trehalose
UniProt Q99933
Localization Cytoplasmic, nuclear
Applications Western Blot : 0.5-1ug/ml
Immunohistochemistry (FFPE) : 2-5ug/ml
Limitations This BAG1 antibody is available for research use only.
Review this product on BioCompare and get a $20 Amazon gift card

Related Products

Description

BAG family molecular chaperone regulator 1 (BAG1) is a protein that in humans is encoded by the BAG1 gene. Human BAG1 is mapped to chromosome 9p12, a region associated with hereditary disorders that may involve developmental dysregulation of programmed cell death. The Bag1 protein is rich in glutamic acid residues. Its deduced 274-amino acid protein has a calculated molecular mass of 31 KD. Being the BCL-2-associated athanogene, Bag1 enhances the anti-apoptotic effects of BCL2 and represents a link between growth factor receptors and anti-apoptotic mechanisms.

Application Notes

Optimal dilution of the BAG1 antibody should be determined by the researcher.

Immunogen

Amino acids 323-345 (DTVEQNICQETERLQSTNFALAE) from the human protein were used as the immunogen for the BAG1 antibody.

Storage

After reconstitution, the BAG1 antibody can be stored for up to one month at 4oC. For long-term, aliquot and store at -20oC. Avoid repeated freezing and thawing.

Cross
Bulk Quote Request Form
Name*:
Organization*:
Email*:
Phone Number*:
Catalog No.*:
Comments and Specifics(amount, formulation, etc.)*:
Validation code: Captchapackage Image


Can't read the image? click here to refresh.
    *required field

Your bulk quote request has been submitted successfully!

Please contact us if you have any questions.