• Tel: 858.663.9055
  • SeparatorEmail: info@nsjbio.com
  • Tel: 858.663.9055
  • Email: info@nsjbio.com
Home >> Antibodies >> BAG-1 Antibody

BAG-1 Antibody (F54791)

  Catalog No Formulation Size Price (USD)  
Image F54791-0.4ML In 1X PBS, pH 7.4, with 0.09% sodium azide 0.4 ml 439
Image
F54791-0.08ML In 1X PBS, pH 7.4, with 0.09% sodium azide 0.08 ml 205
Bulk quote request
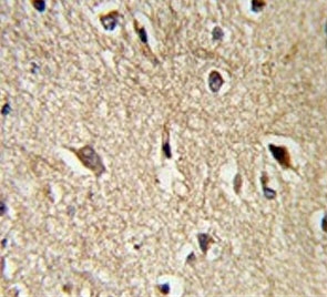
IHC testing of FFPE human brain tissue with BAG-1 antibody. HIER: steam section in pH6 citrate buffer for 20 min and allow to cool prior to staining.
Western blot testing of human MBA-MB-231 cell lysate with BAG-1 antibody. Predicted molecular weight ~50 kDa (long form), 29-33 (short form).
Immunofluorescent staining of human HeLa cells with BAG-1 antibody (green) and DAPI nuclear stain (blue).
Flow cytometry testing of human HeLa cells with BAG-1 antibody; Blue=isotype control, Green= BAG-1 antibody.
Availability 1-3 business days
Species Reactivity Human
Format Purified
Host Rabbit
Clonality Polyclonal (rabbit origin)
Isotype Rabbit Ig
Purity Purified
UniProt Q99933
Localization Cytoplasmic, nuclear
Applications Immunofluorescence : 1:10-1:50
Flow Cytometry : 1:10-1:50 (1x10e6 cells)
Immunohistochemistry (FFPE) : 1:10-1:50
Western Blot : 1:500-1:1000
Limitations This BAG-1 antibody is available for research use only.
Review this product on BioCompare and get a $20 Amazon gift card

Related Products

Description

BAG1 binds to BCL2 and is referred to as BCL2-associated athanogene. It enhances the anti-apoptotic effects of BCL2 and represents a link between growth factor receptors and anti-apoptotic mechanisms.

Application Notes

The stated application concentrations are suggested starting points. Titration of the BAG-1 antibody may be required due to differences in protocols and secondary/substrate sensitivity.

Immunogen

A portion of amino acids 258-285 from the human protein was used as the immunogen for the BAG-1 antibody.

Storage

Aliquot the BAG-1 antibody and store frozen at -20oC or colder. Avoid repeated freeze-thaw cycles.

Cross
Bulk Quote Request Form
Name*:
Organization*:
Email*:
Phone Number*:
Catalog No.*:
Comments and Specifics(amount, formulation, etc.)*:
Validation code: Captchapackage Image


Can't read the image? click here to refresh.
    *required field

Your bulk quote request has been submitted successfully!

Please contact us if you have any questions.