• Tel: 858.663.9055
  • SeparatorEmail: info@nsjbio.com
  • Tel: 858.663.9055
  • Email: info@nsjbio.com
Home >> Antibodies >> B7-H6 Antibody

B7-H6 Antibody [clone B7H6/4821] (V8734)

  Catalog No Formulation Size Price (USD)  
Image V8734-100UG 0.2 mg/ml in 1X PBS with 0.1 mg/ml BSA (US sourced) and 0.05% sodium azide 100 ug 559
Image
V8734-20UG 0.2 mg/ml in 1X PBS with 0.1 mg/ml BSA (US sourced) and 0.05% sodium azide 20 ug 259
Image
V8734SAF-100UG 1 mg/ml in 1X PBS; BSA free, sodium azide free 100 ug 559
Bulk quote request
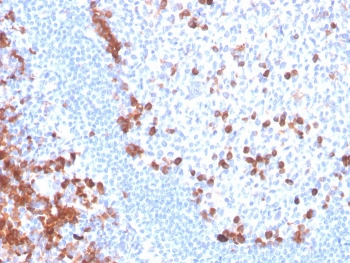
IHC staining of FFPE human tonsil with B7-H6 antibody. HIER: boil tissue sections in pH 9 10mM Tris with 1mM EDTA for 20 min and allow to cool before testing.
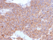
IHC staining of FFPE human liver carcinoma with B7-H6 antibody. HIER: boil tissue sections in pH 9 10mM Tris with 1mM EDTA for 20 min and allow to cool before testing.
SDS-PAGE analysis of purified, BSA-free B7-H6 antibody (clone B7H6/4821) as confirmation of integrity and purity.
Availability 1-3 business days
Species Reactivity Human
Format Purified
Host Mouse
Clonality Monoclonal (mouse origin)
Isotype Mouse IgG1, kappa
Clone Name B7H6/4821
Purity Protein G affinity chromatography
UniProt Q68D85
Applications Immunohistochemistry (FFPE) : 1-2ug/ml for 30 minutes at RT
Limitations This B7-H6 antibody is available for research use only.
Review this product on BioCompare and get a $20 Amazon gift card

Related Products

Description

B7-H6 (NCR3LG1) is a transmembrane endogenous ligand expressed on the surfaces of tumor cells. B7-H6 binds with NKp30 present on NK cells. Binding of B7-H6 to NKp30 causes the ligation of NKp30 subsequently inducing NK cell activation and target cell cytolysis. B7-H6 is not constitutively expressed on normal tissue. Whether it can be expressed endogenously under certain conditions is under investigation. B7-H6 has been detected on circulating pro-inflammatory CD14(+)CD16(+) monocytes in some patients with sepsis.

Application Notes

Optimal dilution of the B7-H6 antibody should be determined by the researcher.

Immunogen

A portion of amino acids 38-169 from the human protein was used as the immunogen for the B7-H6 antibody.

Storage

Store the B7-H6 antibody at 2-8oC (with azide) or aliquot and store at -20oC or colder (without azide).

Cross
Bulk Quote Request Form
Name*:
Organization*:
Email*:
Phone Number*:
Catalog No.*:
Comments and Specifics(amount, formulation, etc.)*:
Validation code: Captchapackage Image


Can't read the image? click here to refresh.
    *required field

Your bulk quote request has been submitted successfully!

Please contact us if you have any questions.