• Tel: 858.663.9055
  • SeparatorEmail: info@nsjbio.com
  • Tel: 858.663.9055
  • Email: info@nsjbio.com
Home >> Antibodies >> B7-H4 Antibody / VTCN1

B7-H4 Antibody / VTCN1 [clone B7H4/1788] (V8175)

  Catalog No Formulation Size Price (USD)  
Image V8175-100UG 0.2 mg/ml in 1X PBS with 0.1 mg/ml BSA (US sourced) and 0.05% sodium azide 100 ug 559
Image
V8175-20UG 0.2 mg/ml in 1X PBS with 0.1 mg/ml BSA (US sourced) and 0.05% sodium azide 20 ug 259
Image
V8175SAF-100UG 1 mg/ml in 1X PBS; BSA free, sodium azide free 100 ug 559
Bulk quote request
Immunofluorescent staining of fixed human SK-BR-3 cells with B7-H4 antibody (clone B7H4/1788, green) and Reddot nuclear stain (red).
Flow cytometry testing of fixed human SK-BR-3 cells with B7-H4 antibody (clone B7H4/1788); Red=isotype control, Blue= B7-H4 antibody.
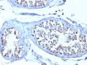
IHC staining of FFPE human testicular carcinoma with B7-H4 antibody (clone B7H4/1788). HIER: boil tissue sections in pH 9 10mM Tris with 1mM EDTA for 20 min and allow to cool before testing.
Western blot testing of human HCT-116 cell lysate with B7-H4 antibody. Predicted molecular weight: ~31 kDa.
SDS-PAGE analysis of purified, BSA-free B7-H4 antibody (clone B7H4/1788) as confirmation of integrity and purity.
Availability 1-3 business days
Species Reactivity Human
Format Purified
Host Mouse
Clonality Monoclonal (mouse origin)
Isotype Mouse IgG2a, kappa
Clone Name B7H4/1788
Purity Protein G affinity chromatography
UniProt Q7Z7D3
Localization Cell surface, cytoplasmic
Applications ELISA (order BSA-free Format For Coating) :
Flow Cytometry : 1-2ug/10^6 cells in 0.1ml
Immunofluorescence : 1-2ug/ml
Western Blot : 1-2ug/ml
Immunohistochemistry (FFPE) : 1-2ug/ml
Limitations This B7-H4 antibody is available for research use only.
Review this product on BioCompare and get a $20 Amazon gift card

Related Products

  • Applications : ELISA, FACS, IF, IHC-P
    Reactivity : Human
    Recrabbitmono
  • Applications : WB, ELISA (peptide)
    Reactivity : Human
    Pred. Reactivity : Cow, Dog, Mouse, Rat
  • Applications : WB, ELISA (peptide)
    Reactivity : Human
    Pred. Reactivity : Dog, Mouse, Rat
  • Applications : WB, IHC-P, IF/ICC, FACS, Direct ELISA
    Reactivity : Human, Mouse, Rat

Description

T cell activation and immune function are regulated by the innate immune system through positive and negative costimulatory proteins. One such protein, B7-H4 (B7-homolog 4), belongs to the B7 immunoglobulin superfamily of ligand-lymphocyte interacting proteins. Expressed primarily on the membrane of lymphoid cells, B7-H4 is an immuno-inhibitory protein that interacts with receptors on the surface of T lymphocytes, thus mediating cellular and humoral immune responses. Overexpression of the B7-H4 protein is associated with certain malignancies, including ovarian and breast cancer, as its interaction with T cells suppresses tumor-associated immunity. Current research suggests that, similar to Mucin 16 (CA-125), B7-H4 may be a useful biomarker for the early detection of ovarian cancer.

Application Notes

Optimal dilution of the B7-H4 antibody should be determined by the researcher.

Immunogen

A recombinant human partial protein was used as the immunogen for this B7-H4 antibody.

Storage

Store the B7-H4 antibody at 2-8oC (with azide) or aliquot and store at -20oC or colder (without azide).

Cross
Bulk Quote Request Form
Name*:
Organization*:
Email*:
Phone Number*:
Catalog No.*:
Comments and Specifics(amount, formulation, etc.)*:
Validation code: Captchapackage Image


Can't read the image? click here to refresh.
    *required field

Your bulk quote request has been submitted successfully!

Please contact us if you have any questions.