• Tel: 858.663.9055
  • SeparatorEmail: info@nsjbio.com
  • Tel: 858.663.9055
  • Email: info@nsjbio.com
Home >> Antibodies >> AXIN1 Antibody / Axin 1

AXIN1 Antibody / Axin 1 (FY13148)

  Catalog No Formulation Size Price (USD)  
Image FY13148 Adding 0.2 ml of distilled water will yield a concentration of 500 ug/ml 100 ug 449
Bulk quote request
Immunofluorescent staining of AXIN1 using anti-AXIN1 antibody (green) and anti-Beta Tubulin antibody (red). AXIN1 was detected in immunocytochemical section of HELA cell. Enzyme antigen retrieval was performed using IHC enzyme antigen retrieval reagent for 15 mins. The cells were blocked with 10% goat serum. And then incubated with 5 ug/ml rabbit anti-AXIN1 antibody and mouse anti-Beta Tubulin antibody overnight at 4oC. Cy3 Conjugated Goat Anti-Rabbit IgG and DyLight 488 Conjugated Goat Anti-Mouse IgG were used as secondary antibody at 1:500 dilution and incubated for 30 minutes at 37oC. Visualize using a fluorescence microscope and filter sets appropriate for the label used.
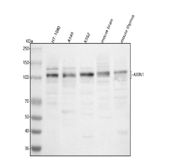
Western blot analysis of AXIN1 using anti-AXIN1 antibody. Lane 1: human HT-1080 whole cell lysates, Lane 2: human whole cell lysates, Lane 3: human K562 whole cell lysates, Lane 4: mouse brain tissue lysates, Lane 5: mouse thymus tissue lysates. After electrophoresis, proteins were transferred to a nitrocellulose membrane at 150 mA for 50-90 minutes. Blocked the membrane with 5% non-fat milk/TBS for 1.5 hour at RT. The membrane was incubated with rabbit anti-AXIN1 antibody at 0.5 ug/ml overnight at 4oC, then washed with TBS-0.1%Tween 3 times with 5 minutes each and probed with a goat anti-rabbit IgG-HRP secondary antibody at a dilution of 1:5000 for 1.5 hour at RT. The signal was developed using enhanced chemiluminescent. AXIN1 antibody detects a predominant band just above 100 kDa with weaker bands above and below across the indicated samples. Although the predicted mass is ~96 kDa, AXIN1 frequently migrates slower due to multisite phosphorylation, and additional higher and lower species likely reflect ubiquitinated forms and limited proteolysis.
Availability 1-2 days
Species Reactivity Human, Mouse
Format Lyophilized
Host Rabbit
Clonality Polyclonal (rabbit origin)
Isotype Rabbit IgG
Purity Immunogen affinity purified
Buffer Each vial contains 4 mg Trehalose, 0.9 mg NaCl, 0.2 mg Na2HPO4.
UniProt O15169
Localization Nuclear, cytoplasmic
Applications Western Blot : 0.25-0.5ug/ml
Immunocytochemistry : 5ug/ml
Immunofluorescence : 5ug/ml
ELISA : 0.1-0.5ug/ml
Limitations This AXIN1 antibody is available for research use only.
Review this product on BioCompare and get a $20 Amazon gift card

Related Products

  • Applications : WB, IHC, ELISA
    Reactivity : Human
  • Applications : WB, ELISA
    Reactivity : Human
    Pred. Reactivity : Mouse, Rat
  • Applications : IHC, ELISA (peptide)
    Reactivity : Human
    Pred. Reactivity : Cow, Dog, Mouse, Rat
  • Applications : WB, ELISA
    Reactivity : Human

Description

AXIN1 antibody detects Axin-1, a scaffolding protein that regulates Wnt signaling and beta-catenin degradation. The UniProt recommended name is Axin-1 (AXIN1). This cytoplasmic protein serves as a core component of the beta-catenin destruction complex, coordinating phosphorylation and proteasomal turnover of beta-catenin to suppress Wnt pathway activation.

Functionally, AXIN1 antibody identifies a 862-amino-acid protein containing a regulator of G protein signaling (RGS) domain, a beta-catenin-binding region, and a DIX domain for homodimerization. AXIN1 recruits APC, GSK3B, and CK1 to form a multiprotein complex that phosphorylates beta-catenin, marking it for degradation. This mechanism ensures tight control of cell proliferation, polarity, and differentiation.

The AXIN1 gene is located on chromosome 16p13.3 and is expressed in most tissues, particularly in epithelial and neural cells. As a negative regulator of Wnt signaling, AXIN1 maintains developmental patterning and prevents aberrant activation of oncogenic transcription programs.

Pathologically, loss or mutation of AXIN1 is associated with hepatocellular carcinoma, colorectal cancer, and developmental anomalies. Decreased AXIN1 function stabilizes beta-catenin, promoting tumor growth and metastasis. Research using AXIN1 antibody supports studies in Wnt pathway regulation, cancer biology, and cell signaling control.

AXIN1 antibody is validated for western blotting, immunohistochemistry, and immunofluorescence to detect Wnt signaling regulators and cytoskeletal scaffolding proteins. NSJ Bioreagents provides AXIN1 antibody reagents optimized for molecular signaling and oncogenesis research.

Structurally, Axin-1 forms extended multimolecular complexes through its DIX domain and interacts with multiple kinases and phosphatases. This antibody enables analysis of AXIN1's scaffold-dependent regulation of beta-catenin turnover and pathway suppression.

Application Notes

Optimal dilution of the AXIN1 antibody should be determined by the researcher.

Immunogen

E.coli-derived human AXIN1 recombinant protein (Position: H534-E792) was used as the immunogen for the AXIN1 antibody.

Storage

After reconstitution, the AXIN1 antibody can be stored for up to one month at 4oC. For long-term, aliquot and store at -20oC. Avoid repeated freezing and thawing.

Cross
Bulk Quote Request Form
Name*:
Organization*:
Email*:
Phone Number*:
Catalog No.*:
Comments and Specifics(amount, formulation, etc.)*:
Validation code: Captchapackage Image


Can't read the image? click here to refresh.
    *required field

Your bulk quote request has been submitted successfully!

Please contact us if you have any questions.