• Tel: 858.663.9055
  • SeparatorEmail: info@nsjbio.com
  • Tel: 858.663.9055
  • Email: info@nsjbio.com
Home >> Antibodies >> Autophagin 4D Antibody / ATG4D

Autophagin 4D Antibody / ATG4D (F54718)

  Catalog No Formulation Size Price (USD)  
Image F54718-0.4ML In 1X PBS, pH 7.4, with 0.09% sodium azide 0.4 ml 439
Image
F54718-0.08ML In 1X PBS, pH 7.4, with 0.09% sodium azide 0.08 ml 205
Bulk quote request
Western blot testing of human Y79 cell lysate with Autophagin 4D antibody. Expected molecular weight: 53-56 kDa.
Western blot testing of 1) monkey COS7, 2) human HEK293, 3) MEF (mouse embryonic fibroblasts) and 4) human HeLa cell lysate with Autophagin 4D antibody. Expected molecular weight: 53-56 kDa. Data courtesy of Drs. Jiefei Geng and Dan Klionsky, University of Michigan.
Immunofluorescent staining of fixed and permeabilized human U-251 cells (treated with 50 uM Chloroquine for 16 hr) with Autophagin 4D antibody (green) and Hoechst 33342 nuclear stain (blue).
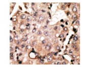
IHC testing of FFPE human cancer tissue with Autophagin 4D antibody. HIER: steam section in pH6 citrate buffer for 20 min and allow to cool prior to staining.
Availability 1-3 business days
Species Reactivity Human
Format Purified
Host Rabbit
Clonality Polyclonal (rabbit origin)
Isotype Rabbit Ig
Purity Purified
UniProt Q86TL0
Localization Cytoplasmic
Applications Immunohistochemistry (FFPE) : 1:25
Immunofluorescence : 1:25
Western Blot : 1:500-1:2000
Limitations This Autophagin 4D antibody is available for research use only.
Review this product on BioCompare and get a $20 Amazon gift card

Related Products

  • Applications : WB, IHC-P
    Reactivity : Human, Mouse

Description

Macroautophagy is the major inducible pathway for the general turnover of cytoplasmic constituents in eukaryotic cells, it is also responsible for the degradation of active cytoplasmic enzymes and organelles during nutrient starvation. Macroautophagy involves the formation of double-membrane bound autophagosomes which enclose the cytoplasmic constituent targeted for degradation in a membrane bound structure, which then fuse with the lysosome (or vacuole) releasing a single-membrane bound autophagic bodies which are then degraded within the lysosome (or vacuole). APG4 is a cysteine protease required for autophagy, which cleaves the C-terminal part of either MAP1LC3, GABARAPL2 or GABARAP, allowing the liberation of form I. A subpopulation of form I is subsequently converted to a smaller form (form II). Form II, with a revealed C-terminal glycine, is considered to be the phosphatidylethanolamine (PE)-conjugated form, and has the capacity for the binding to autophagosomes.

Application Notes

The stated application concentrations are suggested starting points. Titration of the Autophagin 4D antibody may be required due to differences in protocols and secondary/substrate sensitivity.

Immunogen

A portion of amino acids 441-470 from the human protein was used as the immunogen for the Autophagin 4D antibody.

Storage

Aliquot the Autophagin 4D antibody and store frozen at -20oC or colder. Avoid repeated freeze-thaw cycles.

Cross
Bulk Quote Request Form
Name*:
Organization*:
Email*:
Phone Number*:
Catalog No.*:
Comments and Specifics(amount, formulation, etc.)*:
Validation code: Captchapackage Image


Can't read the image? click here to refresh.
    *required field

Your bulk quote request has been submitted successfully!

Please contact us if you have any questions.