• Tel: 858.663.9055
  • SeparatorEmail: info@nsjbio.com
  • Tel: 858.663.9055
  • Email: info@nsjbio.com
Home >> Antibodies >> Aurora A Antibody / AURKA

Aurora A Antibody / AURKA (RQ6757)

  Catalog No Formulation Size Price (USD)  
Image RQ6757 0.5mg/ml if reconstituted with 0.2ml sterile DI water 100 ug 449
Bulk quote request
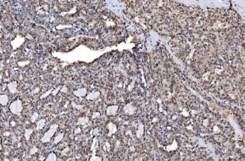
IHC staining of FFPE human liver cancer tissue with Aurora A antibody. HIER: boil tissue sections in pH8 EDTA for 20 min and allow to cool before testing.
IHC staining of FFPE Hashimoto's thyroiditis tissue with Aurora A antibody. HIER: boil tissue sections in pH8 EDTA for 20 min and allow to cool before testing.
Immunofluorescent staining of FFPE human Caco-2 cells with Aurora A antibody (red) and DAPI nuclear stain (blue). HIER: steam section in pH6 citrate buffer for 20 min.
Western blot testing of human 1) HeLa, 2) Caco-2, 3) HepG2 and 4) SiHa cell lysate with Aurora A antibody. Predicted molecular weight ~45 kDa.
Flow cytometry testing of human HL60 cells with Aurora A antibody at 1ug/million cells (blocked with goat sera); Red=cells alone, Green=isotype control, Blue= Aurora A antibody.
Availability 1-3 business days
Species Reactivity Human
Format Antigen affinity purified
Host Rabbit
Clonality Polyclonal (rabbit origin)
Isotype Rabbit IgG
Purity Antigen affinity purified
Buffer Lyophilized from 1X PBS with 2% Trehalose
UniProt O14965
Localization Cytoplasmic, nuclear
Applications Western Blot : 1-2ug/ml
Immunohistochemistry (FFPE) : 2-5ug/ml
Immunofluorescence (FFPE) : 5ug/ml
Flow Cytometry : 1-3ug/million cells
Direct ELISA : 0.1-0.5ug/ml
Limitations This Aurora A antibody is available for research use only.
Review this product on BioCompare and get a $20 Amazon gift card

Related Products

Description

AURKA (aurora kinase A), also called ARK1, AurA, AIK, AURORA2, BTAK, PPP1R47, STK7, STK15 and STK6 is a mitotic centrosomal protein kinase. The main role of AURKA in tumor development is in controlling chromosome segregation during mitosis. Aurora A is a member of a family of mitotic serine/threonine kinases. Cell cycle and Northern blot analyses showed that peak expression of AURKA occurs during the G2/M phase and then decreases. By fluorescence in situ hybridization, AURKA gene is represented by 2 signals in chromosome bands 20q13.2-q13.3 and 1q41-q42. The AURKA gene is overexpressed in many human cancers. Ectopic overexpression of Aurora kinase A in mammalian cells induces centrosome amplification, chromosome instability, and oncogenic transformation, a phenotype characteristic of loss-of-function mutations of p53. Depletion of Ajuba prevented activation of AURKA at centrosomes in late G2 phase and inhibited mitotic entry. Activation of AURKA was independently sufficient to induce rapid ciliary resorption, and AURKA acted in this process through phosphorylation of HDAC6, leading to HDAC6-dependent tubulin deacetylation and destabilization of the ciliary axoneme. Small molecule inhibitors of AURKA and HDAC6 reduced regulated disassembly of cilia.

Application Notes

Optimal dilution of the Aurora A antibody should be determined by the researcher.

Immunogen

Recombinant human protein (amino acids M1-K97) was used as the immunogen for the Aurora A antibody.

Storage

After reconstitution, the Aurora A antibody can be stored for up to one month at 4oC. For long-term, aliquot and store at -20oC. Avoid repeated freezing and thawing.

Cross
Bulk Quote Request Form
Name*:
Organization*:
Email*:
Phone Number*:
Catalog No.*:
Comments and Specifics(amount, formulation, etc.)*:
Validation code: Captchapackage Image


Can't read the image? click here to refresh.
    *required field

Your bulk quote request has been submitted successfully!

Please contact us if you have any questions.