• Tel: 858.663.9055
  • SeparatorEmail: info@nsjbio.com
  • Tel: 858.663.9055
  • Email: info@nsjbio.com
Home >> Antibodies >> ATP5B Antibody / ATP5F1B / ATP synthase subunit beta

ATP5B Antibody / ATP5F1B / ATP synthase subunit beta [clone AADH-1] (RQ5153)

  Catalog No Formulation Size Price (USD)  
Image RQ5153 Antibody in PBS with 0.02% sodium azide, 50% glycerol and 0.4-0.5mg/ml BSA 100 ul 449
Microvalidated Rab Mono Image
Bulk quote request
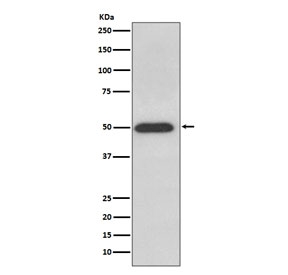
Western blot testing of human HeLa cell lysate with ATP5B antibody. Predicted molecular weight ~56 kDa.
Availability 1-2 weeks
Species Reactivity Human
Format Purified
Host Rabbit
Clonality Rabbit Monoclonal
Isotype Rabbit IgG
Clone Name AADH-1
Purity Affinity purified
UniProt P06576
Applications Western Blot : 1:500-1:2000
Limitations This ATP5B antibody is available for research use only.
Review this product on BioCompare and get a $20 Amazon gift card

Related Products

Description

The ATP5F1B gene encodes a subunit of mitochondrial ATP synthase. Mitochondrial ATP synthase catalyzes ATP synthesis, utilizing an electrochemical gradient of protons across the inner membrane during oxidative phosphorylation. ATP synthase is composed of two linked multi-subunit complexes: the soluble catalytic core, F1, and the membrane-spanning component, Fo, comprising the proton channel. The catalytic portion of mitochondrial ATP synthase consists of 5 different subunits (alpha, beta, gamma, delta, and epsilon) assembled with a stoichiometry of 3 alpha, 3 beta, and a single representative of the other 3. The proton channel consists of three main subunits (a, b, c). This gene encodes the beta subunit of the catalytic core. [RefSeq]

Application Notes

Optimal dilution of the ATP5B antibody should be determined by the researcher.

Immunogen

A synthetic peptide specific to human ATP5B was used as the immunogen for the ATP5B antibody.

Storage

Store the ATP5B antibody at -20oC.

Cross
Bulk Quote Request Form
Name*:
Organization*:
Email*:
Phone Number*:
Catalog No.*:
Comments and Specifics(amount, formulation, etc.)*:
Validation code: Captchapackage Image


Can't read the image? click here to refresh.
    *required field

Your bulk quote request has been submitted successfully!

Please contact us if you have any questions.