• Tel: 858.663.9055
  • SeparatorEmail: info@nsjbio.com
  • Tel: 858.663.9055
  • Email: info@nsjbio.com
Home >> Antibodies >> ATP4B Antibody / Potassium-transporting ATPase subunit beta

ATP4B Antibody / Potassium-transporting ATPase subunit beta (FY12265)

  Catalog No Formulation Size Price (USD)  
Image FY12265 Adding 0.2 ml of distilled water will yield a concentration of 500 ug/ml 100 ug 449
Bulk quote request
Immunofluorescent staining of ATP4B using anti-ATP4B antibody (red). ATP4B was detected in a paraffin-embedded section of rat stomach tissue. Heat mediated antigen retrieval was performed in EDTA buffer (pH 8.0, epitope retrieval solution). The tissue section was blocked with 10% goat serum. The tissue section was then incubated with 5 ug/ml rabbit anti-ATP4B antibody overnight at 4oC. DyLight 594 Conjugated Goat Anti-Rabbit IgG was used as secondary antibody at 1:500 dilution and incubated for 30 minutes at 37oC. The section was counterstained with DAPI nuclear stain (blue). Visualize using a fluorescence microscope and filter sets appropriate for the label used.
Western blot analysis of ATP4B using anti-ATP4B antibody. Lane 1: rat stomach tissue lysates, Lane 2: mouse stomach tissue lysates. After electrophoresis, proteins were transferred to a nitrocellulose membrane at 150 mA for 50-90 minutes. Blocked the membrane with 5% non-fat milk/TBS for 1.5 hour at RT. The membrane was incubated with rabbit anti-ATP4B antibody at 0.5 ug/ml overnight at 4oC, then washed with TBS-0.1%Tween 3 times with 5 minutes each and probed with a goat anti-rabbit IgG-HRP secondary antibody at a dilution of 1:5000 for 1.5 hour at RT. The signal was developed using enhanced chemiluminescent. A specific band was detected for ATP4B at approximately 75 kDa. Predicted molecular weight ~34 kDa (core peptide), ~52 kDa (beta subunit precursor), 60-80 kDa (glycosylated form).
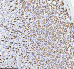
Immunohistochemical staining of ATP4B using anti-ATP4B antibody. ATP4B was detected in a paraffin-embedded section of mouse stomach tissue. Heat mediated antigen retrieval was performed in EDTA buffer (pH 8.0, epitope retrieval solution). The tissue section was blocked with 10% goat serum. The tissue section was then incubated with 2 ug/ml rabbit anti-ATP4B antibody overnight at 4oC. Peroxidase Conjugated Goat Anti-rabbit IgG was used as secondary antibody and incubated for 30 minutes at 37oC. The tissue section was developed using an HRP secondary and DAB substrate.
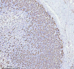
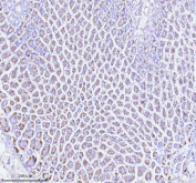
Immunohistochemical staining of ATP4B using anti-ATP4B antibody. ATP4B was detected in a paraffin-embedded section of rat stomach tissue. Heat mediated antigen retrieval was performed in EDTA buffer (pH 8.0, epitope retrieval solution). The tissue section was blocked with 10% goat serum. The tissue section was then incubated with 2 ug/ml rabbit anti-ATP4B antibody overnight at 4oC. Peroxidase Conjugated Goat Anti-rabbit IgG was used as secondary antibody and incubated for 30 minutes at 37oC. The tissue section was developed using an HRP secondary and DAB substrate.
Immunohistochemical staining of ATP4B using anti-ATP4B antibody. ATP4B was detected in a paraffin-embedded section of rat stomach tissue. Heat mediated antigen retrieval was performed in EDTA buffer (pH 8.0, epitope retrieval solution). The tissue section was blocked with 10% goat serum. The tissue section was then incubated with 2 ug/ml rabbit anti-ATP4B antibody overnight at 4oC. Peroxidase Conjugated Goat Anti-rabbit IgG was used as secondary antibody and incubated for 30 minutes at 37oC. The tissue section was developed using an HRP secondary and DAB substrate.
Flow Cytometry analysis of HepG2 cells using anti-ATP4B antibody. Overlay histogram showing HepG2 cells stained with (Blue line). The cells were fixed with 4% paraformaldehyde and blocked with 10% normal goat serum. And then incubated with rabbit anti-ATP4B antibody (1 ug/million cells) for 30 min at 20oC. DyLight 488 conjugated goat anti-rabbit IgG (5-10 ug/million cells) was used as secondary antibody for 30 minutes at 20oC. Isotype control antibody (Green line) was rabbit IgG (1 ug/million cells) used under the same conditions. Unlabelled sample (Red line) was also used as a control.
Immunofluorescent staining of ATP4B using anti-ATP4B antibody (red). ATP4B was detected in a paraffin-embedded section of mouse stomach tissue. Heat mediated antigen retrieval was performed in EDTA buffer (pH 8.0, epitope retrieval solution). The tissue section was blocked with 10% goat serum. The tissue section was then incubated with 5 ug/ml rabbit anti-ATP4B antibody overnight at 4oC. DyLight 594 Conjugated Goat Anti-Rabbit IgG was used as secondary antibody at 1:500 dilution and incubated for 30 minutes at 37oC. The section was counterstained with DAPI nuclear stain (blue). Visualize using a fluorescence microscope and filter sets appropriate for the label used.
Immunohistochemical staining of ATP4B using anti-ATP4B antibody. ATP4B was detected in a paraffin-embedded section of mouse stomach tissue. Heat mediated antigen retrieval was performed in EDTA buffer (pH 8.0, epitope retrieval solution). The tissue section was blocked with 10% goat serum. The tissue section was then incubated with 2 ug/ml rabbit anti-ATP4B antibody overnight at 4oC. Peroxidase Conjugated Goat Anti-rabbit IgG was used as secondary antibody and incubated for 30 minutes at 37oC. The tissue section was developed using an HRP secondary and DAB substrate.
Availability 1-2 days
Species Reactivity Human, Mouse, Rat
Format Lyophilized
Host Rabbit
Clonality Polyclonal (rabbit origin)
Isotype Rabbit IgG
Purity Immunogen affinity purified
Buffer Each vial contains 4 mg Trehalose, 0.9 mg NaCl, 0.2 mg Na2HPO4.
UniProt P51164
Applications ELISA : 0.1-0.5ug/ml
Flow Cytometry : 1-3ug/million cells
Immunofluorescence : 5ug/ml
Immunohistochemistry : 2-5ug/ml
Western Blot : 0.25-0.5ug/ml
Limitations This ATP4B antibody is available for research use only.
Review this product on BioCompare and get a $20 Amazon gift card

Related Products

  • Applications : WB
    Reactivity : Human, Mouse, Rat

Description

ATP4B antibody detects Gastric H+/K+ ATPase subunit beta, encoded by the ATP4B gene on chromosome 13q34. ATP4B antibody is widely used in gastrointestinal biology, acid secretion research, and studies of gastric disorders. ATP4B encodes the beta subunit of the gastric proton pump, a P-type ATPase that exchanges intracellular H+ for extracellular K+, enabling secretion of gastric acid into the stomach lumen. This pump is critical for digestion, absorption of nutrients, and defense against pathogens.

Structurally, ATP4B is a ~35 kDa glycoprotein composed of a single transmembrane helix, an extracellular N-terminal domain, and a short cytoplasmic C-terminus. The extracellular domain contains multiple disulfide bonds and glycosylation sites that stabilize the alpha subunit and regulate membrane targeting. ATP4B forms a heterodimer with ATP4A, the catalytic alpha subunit, to generate a functional H+/K+ ATPase complex.

Functionally, ATP4B supports assembly, trafficking, and stability of the proton pump. Without ATP4B, the alpha subunit is misfolded and degraded, impairing gastric acid secretion. ATP4B also contributes to immune recognition in autoimmune gastritis, where it becomes an autoantigen. Researchers use ATP4B antibody to study gastric physiology, autoimmunity, and therapeutic targets for acid-related diseases.

Clinically, ATP4B is implicated in conditions such as autoimmune gastritis, atrophic gastritis, and gastric cancer. Autoantibodies against ATP4B and ATP4A are hallmarks of autoimmune gastritis and pernicious anemia. ATP4B mutations or dysregulation may contribute to gastric acid secretion defects, influencing susceptibility to infections such as Helicobacter pylori. Proton pump inhibitors target the H+/K+ ATPase, making ATP4B research relevant for drug development. NSJ Bioreagents provides ATP4B antibody for gastric physiology, pathology, and therapeutic research.

Experimentally, ATP4B antibody is used in western blotting to detect the ~35 kDa subunit, in immunohistochemistry to visualize gastric parietal cells, and in immunofluorescence microscopy to assess subcellular localization. It is also applied in autoantibody detection assays for autoimmune gastritis.

Application Notes

Optimal dilution of the ATP4B antibody should be determined by the researcher.

Immunogen

E.coli-derived human ATP4B recombinant protein (Position: Y60-D277) was used as the immunogen for the ATP4B antibody.

Storage

After reconstitution, the ATP4B antibody can be stored for up to one month at 4oC. For long-term, aliquot and store at -20oC. Avoid repeated freezing and thawing.

Cross
Bulk Quote Request Form
Name*:
Organization*:
Email*:
Phone Number*:
Catalog No.*:
Comments and Specifics(amount, formulation, etc.)*:
Validation code: Captchapackage Image


Can't read the image? click here to refresh.
    *required field

Your bulk quote request has been submitted successfully!

Please contact us if you have any questions.