• Tel: 858.663.9055
  • SeparatorEmail: info@nsjbio.com
  • Tel: 858.663.9055
  • Email: info@nsjbio.com
Home >> Antibodies >> ATG7 Antibody / APG7

ATG7 Antibody / APG7 (F54380)

  Catalog No Formulation Size Price (USD)  
Image F54380-0.4ML In 1X PBS, pH 7.4, with 0.09% sodium azide 0.4 ml 439
Image
F54380-0.08ML In 1X PBS, pH 7.4, with 0.09% sodium azide 0.08 ml 205
Bulk quote request
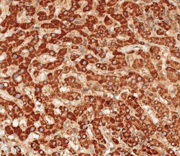
IHC testing of FFPE human liver tissue with ATG7 antibody. HIER: steam section in pH9 EDTA for 20 min and allow to cool prior to staining.
Western blot testing of 1) human HepG2 and 2) mouse NIH 3T3 cell lysate with ATG7 antibody. Predicted molecular weight: 70-80 kDa.
Western blot testing of human 1) Caki-1, 2) HeLa and 3) HepG2 cell lysate with ATG7 antibody. Predicted molecular weight: 70-80 kDa.
Western blot testing of human HEK293 cell lysate with ATG7 antibody. Predicted molecular weight: 70-80 kDa.
Immunofluorescent staining of treated and untreated human U-251 cells with ATG7 antibody (green) and DAPI nuclear stain (blue).
Availability 1-3 business days
Species Reactivity Human, Mouse
Format Purified
Host Rabbit
Clonality Polyclonal (rabbit origin)
Isotype Rabbit Ig
Purity Antigen affinity purified
UniProt O95352
Applications Immunofluorescence : 1:25
Western Blot : 1:500-1:2000
Immunohistochemistry (FFPE) : 1:25
Limitations This ATG7 antibody is available for research use only.
Review this product on BioCompare and get a $20 Amazon gift card

Related Products

  • Applications : WB, ELISA
    Reactivity : Human
  • Applications : WB
    Reactivity : Human, Mouse, Rat
    Rab Mono Image
  • Applications : WB
    Reactivity : Human
    Rab Mono Image
  • Applications : WB, FACS
    Reactivity : Human, Mouse, Rat
  • Applications : WB, IHC, ELISA
    Reactivity : Human, Mouse
    Pred. Reactivity : Rat
  • Applications : WB, IHC, ELISA
    Reactivity : Human, Mouse
    Pred. Reactivity : Chicken, Rat
  • Applications : IF, WB, IHC, ELISA
    Reactivity : Human, Mouse
    Pred. Reactivity : Rat
  • Applications : WB
    Reactivity : Human, Mouse, Rat
  • Applications : WB, FACS, Direct ELISA
    Reactivity : Human
  • Applications : WB, IHC-P, FACS
    Reactivity : Human, Mouse, Rat
  • Applications : WB, IHC-P, IF, FACS, ELISA
    Reactivity : Human

Description

Macroautophagy is the major inducible pathway for the general turnover of cytoplasmic constituents in eukaryotic cells, it is also responsible for the degradation of active cytoplasmic enzymes and organelles during nutrient starvation. Macroautophagy involves the formation of double-membrane bound autophagosomes which enclose the cytoplasmic constituent targeted for degradation in a membrane bound structure, which then fuse with the lysosome (or vacuole) releasing a single-membrane bound autophagic bodies which are then degraded within the lysosome (or vacuole). APG7 functions as an E1 enzyme essential for multisubstrates such as GABARAPL1 and ATG12. APG3L is an E2-like conjugating enzyme facilitating covalent binding of APG8 (MAP1LC3) to phosphatidylethanolamine (PE). APG7 (an E1-like enzyme) facilitates this reaction by forming an E1-E2 complex with APG3. Formation of the PE conjugate is essential for autophagy.

Application Notes

The stated application concentrations are suggested starting points. Titration of the ATG7 antibody may be required due to differences in protocols and secondary/substrate sensitivity.

Immunogen

A portion of amino acids 540-569 from the human protein was used as the immunogen for the ATG7 antibody.

Storage

Aliquot the ATG7 antibody and store frozen at -20oC or colder. Avoid repeated freeze-thaw cycles.

Cross
Bulk Quote Request Form
Name*:
Organization*:
Email*:
Phone Number*:
Catalog No.*:
Comments and Specifics(amount, formulation, etc.)*:
Validation code: Captchapackage Image


Can't read the image? click here to refresh.
    *required field

Your bulk quote request has been submitted successfully!

Please contact us if you have any questions.