• Tel: 858.663.9055
  • SeparatorEmail: info@nsjbio.com
  • Tel: 858.663.9055
  • Email: info@nsjbio.com
Home >> Antibodies >> ATF7 Antibody

ATF7 Antibody (R34318)

  Catalog No Formulation Size Price (USD)  
Image R34318-100UG 0.5 mg/ml in 1X TBS, pH7.3, with 0.5% BSA (US sourced) and 0.02% sodium azide 100 ug 475
Bulk quote request
Western blot testing of HeLa lysate with ATF7 antibody at 0.5ug/ml. Predicted molecular weight: isoforms of ~53/51/50/34kDa may be detected.
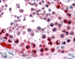
IHC staining of FFPE human testis with ATF7 antibody at 4ug/ml. HIER: steamed with pH6 citrate buffer, AP-staining.
Availability 1-3 business days
Species Reactivity Human
Predicted Reactivity Cow, Dog, Rat
Format Antigen affinity purified
Host Goat
Clonality Polyclonal (goat origin)
Isotype Goat Ig
Purity Antigen affinity
UniProt P17544
Gene ID 11016
Applications Immunohistochemistry (FFPE) : 3-5ug/ml
ELISA (peptide) LOD : 1:16000
Limitations This ATF7 antibody is available for research use only.
Review this product on BioCompare and get a $20 Amazon gift card

Related Products

  • Applications : FACS, IF, WB, ELISA
    Reactivity : Human

Description

Additional name(s) for this target protein: Activating transcription factor 7

Application Notes

Optimal dilution of the ATF7 antibody should be determined by the researcher.

Immunogen

Amino acids HVIMTPQSQSAGR were used as the immunogen for this ATF7 antibody.

Storage

Aliquot and store the ATF7 antibody at -20oC.

Cross
Bulk Quote Request Form
Name*:
Organization*:
Email*:
Phone Number*:
Catalog No.*:
Comments and Specifics(amount, formulation, etc.)*:
Validation code: Captchapackage Image


Can't read the image? click here to refresh.
    *required field

Your bulk quote request has been submitted successfully!

Please contact us if you have any questions.