• Tel: 858.663.9055
  • SeparatorEmail: info@nsjbio.com
  • Tel: 858.663.9055
  • Email: info@nsjbio.com
Home >> Antibodies >> ATF2 Antibody / Activating Transcription Factor 2

ATF2 Antibody / Activating Transcription Factor 2 (R31552)

  Catalog No Formulation Size Price (USD)  
Image R31552 0.5mg/ml if reconstituted with 0.2ml sterile DI water 100 ug 449
Bulk quote request
Western blot testing of ATF2 antibody and recombinant human protein (0.5ng).
IHC testing of FFPE human intestinal cancer tissue with ATF2 antibody at 1ug/ml. Required HIER: steam section in pH6 citrate buffer for 20 min and allow to cool prior to staining.
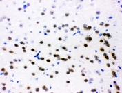
IHC testing of FFPE mouse brain tissue with ATF2 antibody at 1ug/ml. Required HIER: steam section in pH6 citrate buffer for 20 min and allow to cool prior to staining.
IHC testing of FFPE rat brain tissue with ATF2 antibody at 1ug/ml. Required HIER: steam section in pH6 citrate buffer for 20 min and allow to cool prior to staining.
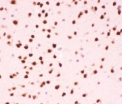
IHC testing of frozen mouse brain tissue with ATF2 antibody at 1ug/ml.
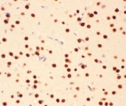
IHC testing of frozen rat brain tissue with ATF2 antibody at 1ug/ml.
Flow cytometry testing of human K562 cells with ATF2 antibody at 1ug/10^6 cells (blocked with goat sera); Red=cells alone, Green=isotype control, Blue=ATF2 antibody.
Flow cytometry testing of human HepG2 cells with ATF2 antibody at 1ug/10^6 cells (blocked with goat sera); Red=cells alone, Green=isotype control, Blue=ATF2 antibody.
Western blot testing of human 1) HepG2, 2) K562, 3) SH-SY5Y, 4) U-87 MG, 5) A549, 6) MOLT-4 and 7) HEL cell lysate with ATF2 antibody. Expected molecular weight: 65-70 kDa.
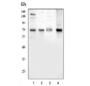
Western blot testing of 1) rat brain, 2) rat thymus, 3) mouse brain and 4) mouse thymus tissue lysate with ATF2 antibody. Expected molecular weight: 65-70 kDa.
Availability 1-3 business days
Species Reactivity Human, Mouse, Rat
Format Antigen affinity purified
Host Rabbit
Clonality Polyclonal (rabbit origin)
Isotype Rabbit IgG
Purity Antigen affinity
Buffer Lyophilized from 1X PBS with 2.5% BSA, 0.025% sodium azide
UniProt P15336
Localization Nuclear, cytoplasmic
Applications Western Blot : 0.5-1ug/ml
Flow Cytometry : 1-3ug/10^6 cells
IHC (FFPE) : 0.5-1ug/ml
IHC (Frozen) : 0.5-1ug/ml
Limitations This ATF2 antibody is available for research use only.
Review this product on BioCompare and get a $20 Amazon gift card

Related Products

  • Applications : FACS, IF, WB
    Reactivity : Human
    Microvalidated
  • Applications : WB
    Reactivity : Human
    Rab Mono Image
  • Applications : WB, ELISA (peptide)
    Reactivity : Human
    Pred. Reactivity : Rat, Dog, Cow

Description

Activating transcription factor 2 is a protein that in humans is encoded by the ATF2 gene. This gene encodes a transcription factor that is a member of the leucine zipper family of DNA-binding proteins. It binds to the cAMP-responsive element (CRE), an octameric palindrome. ATF2 forms a homodimer or heterodimer with c-Jun and stimulates CRE-dependent transcription. It is also a histone acetyltransferase (HAT) that specifically acetylates histones H2B and H4 in vitro, thus, it may represent a class of sequence-specific factors that activate transcription by direct effects on chromatin components. Additional transcript variants have been identified but their biological validity has not been determined.

Application Notes

The stated application concentrations are suggested starting points. Titration of the ATF2 antibody may be required due to differences in protocols and secondary/substrate sensitivity.

Immunogen

Human partial recombinant protein (AA 93-450) was used as the immunogen for this ATF2 antibody.

Storage

After reconstitution, the ATF2 antibody can be stored for up to one month at 4oC. For long-term, aliquot and store at -20oC. Avoid repeated freezing and thawing.

Cross
Bulk Quote Request Form
Name*:
Organization*:
Email*:
Phone Number*:
Catalog No.*:
Comments and Specifics(amount, formulation, etc.)*:
Validation code: Captchapackage Image


Can't read the image? click here to refresh.
    *required field

Your bulk quote request has been submitted successfully!

Please contact us if you have any questions.