• Tel: 858.663.9055
  • SeparatorEmail: info@nsjbio.com
  • Tel: 858.663.9055
  • Email: info@nsjbio.com
Home >> Antibodies >> ASGP-2 Antibody | MUC4

ASGP-2 Antibody | MUC4 [clone MUC4/2863] (V5951)

  Catalog No Formulation Size Price (USD)  
Image V5951-100UG 0.2 mg/ml in 1X PBS with 0.05% BSA, 0.05% sodium azide 100 ug 559
Image
V5951-20UG 0.2 mg/ml in 1X PBS with 0.05% BSA, 0.05% sodium azide 20 ug 259
Image
V5951SAF-100UG 1 mg/ml in 1X PBS; BSA free, sodium azide free 100 ug 559
Bulk quote request
Analysis of Protein Array containing more than 19,000 full-length human proteins using ASGP-2/MUC4 antibody (clone MUC4/2863). Z- and S- Score: The Z-score represents the strength of a signal that a monoclonal antibody (MAb) (in combination with a fluorescently-tagged anti-IgG secondary antibody) produces when binding to a particular protein on the HuProtTM array. Z-scores are described in units of standard deviations (SD's) above the mean value of all signals generated on that array. If targets on HuProtTM are arranged in descending order of the Z-score, the S-score is the difference (also in units of SD's) between the Z-score. S-score therefore represents the relative target specificity of a MAb to its intended target. A MAb is considered to specific to its intended target, if the MAb has an S-score of at least 2.5. For example, if a MAb binds to protein X with a Z-score of 43 and to protein Y with a Z-score of 14, then the S-score for the binding of that MAb to protein X is equal to 29.
SDS-PAGE analysis of purified ASGP-2/MUC4 antibody (clone MUC4/2863). Confirmation of Purity and Integrity of Antibody.
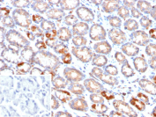
Immunohistochemistry analysis of ASGP-2 / MUC4 antibody (clone MUC4/2863) in human stomach tissue. Formalin-fixed, paraffin-embedded human stomach section shows membranous and apical cytoplasmic brown chromogenic staining in gastric epithelial cells lining glandular structures, consistent with MUC4 expression, while stromal cells exhibit minimal staining and nuclei appear blue. The inset shows PBS used in place of primary antibody as a negative control with no specific staining observed. Heat-induced epitope retrieval was performed by heating tissue sections in 10 mM Tris with 1 mM EDTA, pH 9.0, for 45 minutes at 95oC followed by cooling at room temperature for 20 minutes prior to staining.
Species Reactivity Human
Format Purified
Host Mouse
Clonality Monoclonal (mouse origin)
Isotype Mouse IgG1, kappa
Clone Name MUC4/2863
UniProt Q99102
Localization Cell membrane, Secreted
Applications Immunohistochemistry (FFPE) : 1-2ug/ml
Limitations This ASGP-2/MUC4 antibody is available for research use only.
Review this product on BioCompare and get a $20 Amazon gift card

Related Products

Description

ASGP-2 antibody targets Mucin-4, a large transmembrane glycoprotein encoded by the human MUC4 gene and a member of the membrane-bound mucin family. ASGP-2, short for Ascites sialoglycoprotein 2, represents the membrane-associated subunit of the MUC4 heterodimer that was originally characterized in ascites tumor cells. In the literature, ASGP-2 antibody and MUC4 antibody are used interchangeably because ASGP-2 corresponds to the membrane-bound component of Mucin-4. This historical nomenclature remains relevant in cancer biology and epithelial differentiation studies.

MUC4 is synthesized as a high molecular weight precursor that undergoes proteolytic processing into two subunits, commonly referred to as ASGP-1 and ASGP-2, which remain non-covalently associated at the cell surface. The extracellular domain contains heavily O-glycosylated tandem repeat regions that contribute to mucosal barrier function. In normal tissues, Mucin-4 expression is primarily localized to glandular and ductal epithelial cells of the respiratory, gastrointestinal, and genitourinary tracts. During malignant transformation, MUC4 expression frequently becomes upregulated and loses apical polarity, contributing to altered cell adhesion, enhanced tumor cell survival, and increased metastatic potential. ASGP-2 antibody is therefore valuable for evaluating epithelial tumor progression and differentiation status.

Mucin-4 has been shown to interact with receptor tyrosine kinases such as ERBB2, modulating downstream signaling pathways involved in proliferation and resistance to apoptosis. Elevated MUC4 expression has been documented in pancreatic, breast, lung, ovarian, gastric, and colorectal carcinomas, where it may correlate with aggressive disease and poor clinical outcome. ASGP-2 antibody supports investigations into these oncogenic signaling mechanisms and tumor-associated expression patterns.

Structurally, the ASGP-2 subunit contains epidermal growth factor-like domains, a transmembrane region, and a cytoplasmic tail involved in signal transduction. An ASGP-2 antibody such as clone MUC4/2863 is suitable for detecting MUC4 expression in epithelial tissues and carcinoma research applications.

Application Notes

Optimal dilution of the ASGP-2/MUC4 antibody should be determined by the researcher.

Immunogen

A recombinant fragment (around amino acids 1730-1864) of human MUC4 protein (exact sequence is proprietary) was used as the immunogen for the ASGP-2/MUC4 antibody.

Storage

ASGP-2/MUC4 antibody with sodium azide - store at 2 to 8oC; antibody without sodium azide - store at -20 to -80oC.

Cross
Bulk Quote Request Form
Name*:
Organization*:
Email*:
Phone Number*:
Catalog No.*:
Comments and Specifics(amount, formulation, etc.)*:
Validation code: Captchapackage Image


Can't read the image? click here to refresh.
    *required field

Your bulk quote request has been submitted successfully!

Please contact us if you have any questions.