• Tel: 858.663.9055
  • SeparatorEmail: info@nsjbio.com
  • Tel: 858.663.9055
  • Email: info@nsjbio.com
Home >> Antibodies >> ARID domain-containing protein 1A Antibody / ARID1A

ARID domain-containing protein 1A Antibody / ARID1A (RQ8670)

  Catalog No Formulation Size Price (USD)  
Image RQ8670 0.5mg/ml if reconstituted with 0.2ml sterile DI water 100 ug 449
Bulk quote request
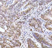
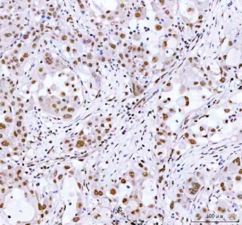
IHC staining of FFPE human lung cancer tissue with ARID domain-containing protein 1A antibody. HIER: boil tissue sections in pH8 EDTA for 20 min and allow to cool before testing.
IHC staining of FFPE human colorectal adenocarcinoma tissue with ARID domain-containing protein 1A antibody. HIER: boil tissue sections in pH8 EDTA for 20 min and allow to cool before testing.
IHC staining of FFPE human spleen tissue with ARID domain-containing protein 1A antibody. HIER: boil tissue sections in pH8 EDTA for 20 min and allow to cool before testing.
IHC staining of FFPE rat thymus tissue with ARID domain-containing protein 1A antibody. HIER: boil tissue sections in pH8 EDTA for 20 min and allow to cool before testing.
Immunofluorescent staining of FFPE human A431 cells with ARID domain-containing protein 1A antibody (green) and Beta Tubulin mAb (red). HIER: steam section in pH6 citrate buffer for 20 min.
Western blot testing of human 1) HeLa, 2) HepG2, 3) K562 and 4) MCF7 cell lysate with ARID domain-containing protein 1A antibody. Predicted molecular weight ~242 kDa, commonly observed at 242-270 kDa.
Flow cytometry testing of fixed and permeabilized human K562 cells with ARID domain-containing protein 1A antibody at 1ug/million cells (blocked with goat sera); Red=cells alone, Green=isotype control, Blue= ARID domain-containing protein 1A antibody.
Availability 1-3 days
Species Reactivity Human, Rat
Format Antigen affinity purified
Host Rabbit
Clonality Polyclonal (rabbit origin)
Isotype Rabbit IgG
Purity Antigen affinity chromatography
Buffer Lyophilized from 1X PBS with 2% Trehalose
UniProt O14497
Localization Nucleus
Applications Western Blot : 1-2ug/ml
Immunohistochemistry (FFPE) : 2-5ug/ml
Immunofluorescence : 5ug/ml
Flow Cytometry : 1-3ug/million cells
ELISA : 0.1-0.5ug/ml
Limitations This ARID domain-containing protein 1A antibody is available for research use only.
Review this product on BioCompare and get a $20 Amazon gift card

Related Products

Description

ARID domain-containing protein 1A is involved in transcriptional activation and repression of select genes by chromatin remodeling (alteration of DNA-nucleosome topology). Component of SWI/SNF chromatin remodeling complexes that carry out key enzymatic activities, changing chromatin structure by altering DNA-histone contacts within a nucleosome in an ATP-dependent manner. [UniProt]

Application Notes

Optimal dilution of the ARID domain-containing protein 1A antibody should be determined by the researcher.

Immunogen

An E.coli-derived human recombinant protein (amino acids R857-Q1552) was used as the immunogen for the ARID domain-containing protein 1A antibody.

Storage

After reconstitution, the ARID domain-containing protein 1A antibody can be stored for up to one month at 4oC. For long-term, aliquot and store at -20oC. Avoid repeated freezing and thawing.

Cross
Bulk Quote Request Form
Name*:
Organization*:
Email*:
Phone Number*:
Catalog No.*:
Comments and Specifics(amount, formulation, etc.)*:
Validation code: Captchapackage Image


Can't read the image? click here to refresh.
    *required field

Your bulk quote request has been submitted successfully!

Please contact us if you have any questions.