• Tel: 858.663.9055
  • SeparatorEmail: info@nsjbio.com
  • Tel: 858.663.9055
  • Email: info@nsjbio.com
Home >> Antibodies >> ARHGEF2 Antibody / Rho guanine nucleotide exchange factor 2 / GEF-H1

ARHGEF2 Antibody / Rho guanine nucleotide exchange factor 2 / GEF-H1 (FY13062)

  Catalog No Formulation Size Price (USD)  
Image FY13062 Adding 0.2 ml of distilled water will yield a concentration of 500 ug/ml 100 ug 449
Bulk quote request
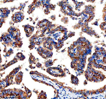
Immunohistochemical staining of GEF-H1/ARHGEF2 using anti-ARHGEF2 antibody. GEF-H1/ARHGEF2 was detected in a paraffin-embedded section of human ovary cancer tissue. Heat mediated antigen retrieval was performed in EDTA buffer (pH 8.0, epitope retrieval solution). The tissue section was blocked with 10% goat serum. The tissue section was then incubated with 2 ug/ml rabbit anti-ARHGEF2 antibody overnight at 4oC. Peroxidase Conjugated Goat Anti-rabbit IgG was used as secondary antibody and incubated for 30 minutes at 37oC. The tissue section was developed using an HRP secondary and DAB substrate.
Western blot analysis of GEF-H1/ARHGEF2 using anti-ARHGEF2 antibody. Lane 1: human 293T whole cell lysates, Lane 2: human Hela whole cell lysates, Lane 3: human PC-3 whole cell lysates, Lane 4: rat brain tissue lysates, Lane 5: rat C6 whole cell lysates, Lane 6: mouse brain tissue lysates, Lane 7: mouse Raw264.7 whole cell lysates. After electrophoresis, proteins were transferred to a nitrocellulose membrane at 150 mA for 50-90 minutes. Blocked the membrane with 5% non-fat milk/TBS for 1.5 hour at RT. The membrane was incubated with rabbit anti-ARHGEF2 antibody at 0.5 ug/ml overnight at 4oC, then washed with TBS-0.1%Tween 3 times with 5 minutes each and probed with a goat anti-rabbit IgG-HRP secondary antibody at a dilution of 1:5000 for 1.5 hour at RT. The signal was developed using enhanced chemiluminescent. A major band is observed at ~112 kDa, corresponding to full-length ARHGEF2. Additional lower-molecular-weight bands (~90-95 kDa) are commonly reported and represent truncated or dephosphorylated forms of ARHGEF2 generated by proteolytic processing or post-translational modification. These species have been described in multiple studies as part of the normal regulatory cycle of ARHGEF2.
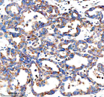
Immunohistochemical staining of GEF-H1/ARHGEF2 using anti-ARHGEF2 antibody. GEF-H1/ARHGEF2 was detected in a paraffin-embedded section of human ovarian cancer tissue. Heat mediated antigen retrieval was performed in EDTA buffer (pH 8.0, epitope retrieval solution). The tissue section was blocked with 10% goat serum. The tissue section was then incubated with 2 ug/ml rabbit anti-ARHGEF2 antibody overnight at 4oC. Peroxidase Conjugated Goat Anti-rabbit IgG was used as secondary antibody and incubated for 30 minutes at 37oC. The tissue section was developed using an HRP secondary and DAB substrate.
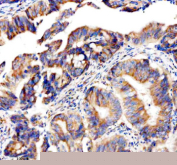
Immunohistochemical staining of GEF-H1/ARHGEF2 using anti-ARHGEF2 antibody. GEF-H1/ARHGEF2 was detected in a paraffin-embedded section of human colon cancer tissue. Heat mediated antigen retrieval was performed in EDTA buffer (pH 8.0, epitope retrieval solution). The tissue section was blocked with 10% goat serum. The tissue section was then incubated with 2 ug/ml rabbit anti-ARHGEF2 antibody overnight at 4oC. Peroxidase Conjugated Goat Anti-rabbit IgG was used as secondary antibody and incubated for 30 minutes at 37oC. The tissue section was developed using an HRP secondary and DAB substrate.
Flow Cytometry analysis of PC-3 cells using anti-ARHGEF2 antibody. Overlay histogram showing PC-3 cells stained with (Blue line). To facilitate intracellular staining, cells were fixed with 4% paraformaldehyde and permeabilized with permeabilization buffer. The cells were blocked with 10% normal goat serum. And then incubated with rabbit anti-ARHGEF2 antibody (1 ug/million cells) for 30 min at 20oC. DyLight 488 conjugated goat anti-rabbit IgG (5-10 ug/million cells) was used as secondary antibody for 30 minutes at 20oC. Isotype control antibody (Green line) was rabbit IgG (1 ug/million cells) used under the same conditions. Unlabelled sample without incubation with primary antibody and secondary antibody (Red line) was used as a blank control.
Availability 1-2 days
Species Reactivity Human, Mouse, Rat
Format Lyophilized
Host Rabbit
Clonality Polyclonal (rabbit origin)
Isotype Rabbit IgG
Purity Immunogen affinity purified
Buffer Each vial contains 4 mg Trehalose, 0.9 mg NaCl, 0.2 mg Na2HPO4.
UniProt Q92974
Localization Cytoplasm
Applications Western Blot : 0.25-0.5ug/ml
Immunohistochemistry : 2-5ug/ml
Flow Cytometry : 1-3ug/million cells
ELISA : 0.1-0.5ug/ml
Limitations This ARHGEF2 antibody is available for research use only.
Review this product on BioCompare and get a $20 Amazon gift card

Description

ARHGEF2 antibody detects Rho guanine nucleotide exchange factor 2, also known as GEF-H1, a microtubule-associated protein that activates Rho family GTPases to regulate cytoskeletal organization and cell polarity. The UniProt recommended name is Rho guanine nucleotide exchange factor 2 (ARHGEF2). This signaling factor converts Rho GTPases from inactive GDP-bound to active GTP-bound states, controlling cell shape, motility, and junctional dynamics.

Functionally, ARHGEF2 antibody identifies a 986-amino-acid cytoplasmic protein containing Dbl homology (DH) and pleckstrin homology (PH) domains responsible for its guanine nucleotide exchange activity. ARHGEF2 activates RHOA and RHOC, stimulating actin stress fiber formation, contractility, and focal adhesion turnover. When bound to microtubules, ARHGEF2 remains inactive; upon microtubule depolymerization, it is released into the cytoplasm, where it activates RHOA signaling.

The ARHGEF2 gene is located on chromosome 1q22 and encodes a protein expressed in epithelial cells, neurons, and endothelial tissues. ARHGEF2 plays a key role in linking microtubule dynamics to actin cytoskeletal remodeling, influencing cell junction integrity and migration. In epithelial cells, it regulates tight junction assembly and polarity through interactions with PAR6 and AMPK. In neurons, ARHGEF2 contributes to axon guidance and dendritic spine morphology.

Pathologically, dysregulation of ARHGEF2 activity has been associated with cancer progression, inflammation, and neurodevelopmental disorders. Overactivation of RHOA signaling by ARHGEF2 promotes tumor invasion, while loss of its regulation can impair barrier function in inflammatory bowel disease. ARHGEF2 also mediates cytokine-induced cytoskeletal remodeling during immune responses, linking microtubule organization to inflammatory signaling pathways.

ARHGEF2 antibody is widely used in cytoskeletal, cell signaling, and cancer biology research. It is suitable for immunoblotting, immunofluorescence, and immunoprecipitation to detect ARHGEF2 expression and RHOA activation states. This antibody supports studies of cell polarity, microtubule-actin crosstalk, and epithelial integrity. In biomedical research, ARHGEF2 serves as a molecular bridge between cytoskeletal regulation and signal transduction.

Structurally, ARHGEF2 contains modular domains for RHOA interaction, microtubule binding, and regulation by phosphorylation. Its activity is modulated by kinases including MARK2 and Aurora A, which control its release from microtubules. NSJ Bioreagents provides ARHGEF2 antibody reagents validated for use in RHO GTPase signaling, cytoskeletal remodeling, and epithelial biology research.

Application Notes

Optimal dilution of the ARHGEF2 antibody should be determined by the researcher.

Immunogen

E.coli-derived human GEF-H1/ARHGEF2 recombinant protein (Position: Q94-E923) was used as the immunogen for the ARHGEF2 antibody.

Storage

After reconstitution, the ARHGEF2 antibody can be stored for up to one month at 4oC. For long-term, aliquot and store at -20oC. Avoid repeated freezing and thawing.

Cross
Bulk Quote Request Form
Name*:
Organization*:
Email*:
Phone Number*:
Catalog No.*:
Comments and Specifics(amount, formulation, etc.)*:
Validation code: Captchapackage Image


Can't read the image? click here to refresh.
    *required field

Your bulk quote request has been submitted successfully!

Please contact us if you have any questions.