• Tel: 858.663.9055
  • SeparatorEmail: info@nsjbio.com
  • Tel: 858.663.9055
  • Email: info@nsjbio.com
Home >> Antibodies >> ARHGEF12 Antibody / Rho guanine nucleotide exchange factor 12

ARHGEF12 Antibody / Rho guanine nucleotide exchange factor 12 (FY12180)

  Catalog No Formulation Size Price (USD)  
Image FY12180 Adding 0.2 ml of distilled water will yield a concentration of 500 ug/ml 100 ug 449
Bulk quote request
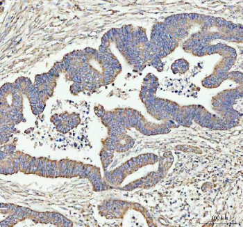
Immunohistochemical staining of ARHGEF12L using anti-ARHGEF12L antibody. ARHGEF12L was detected in a paraffin-embedded section of human colorectal adenocarcinoma tissue. Heat mediated antigen retrieval was performed in EDTA buffer (pH 8.0, epitope retrieval solution). The tissue section was blocked with 10% goat serum. The tissue section was then incubated with 2 ug/ml rabbit anti-ARHGEF12L antibody overnight at 4oC. Peroxidase Conjugated Goat Anti-rabbit IgG was used as secondary antibody and incubated for 30 minutes at 37oC. The tissue section was developed using an HRP secondary and DAB substrate.
Western blot analysis of ARHGEF12 using anti-ARHGEF12 antibody. Lane 1: human Hela whole cell lysates, Lane 2: human HepG2 whole cell lysates, Lane 3: rat testis tissue lysates, Lane 4: rat brain tissue lysates, Lane 5: mouse testis tissue lysates, Lane 6: mouse brain tissue lysates. After electrophoresis, proteins were transferred to a nitrocellulose membrane at 150 mA for 50-90 minutes. Blocked the membrane with 5% non-fat milk/TBS for 1.5 hour at RT. The membrane was incubated with rabbit anti-ARHGEF12 antibody at 0.5 ug/ml overnight at 4oC, then washed with TBS-0.1%Tween 3 times with 5 minutes each and probed with a goat anti-rabbit IgG-HRP secondary antibody at a dilution of 1:5000 for 1.5 hour at RT. The signal was developed using enhanced chemiluminescent. The expected band size for ARHGEF12 is at 173 kDa but is commonly observed at 220-260 kDa due to extensive post-translational modification (especially phosphorylation) and anomalous SDS–PAGE migration due to its large, highly coiled-coil–rich, multidomain structure.
Immunohistochemical staining of ARHGEF12L using anti-ARHGEF12L antibody. ARHGEF12L was detected in a paraffin-embedded section of human liver cancer tissue. Heat mediated antigen retrieval was performed in EDTA buffer (pH 8.0, epitope retrieval solution). The tissue section was blocked with 10% goat serum. The tissue section was then incubated with 2 ug/ml rabbit anti-ARHGEF12L antibody overnight at 4oC. Peroxidase Conjugated Goat Anti-rabbit IgG was used as secondary antibody and incubated for 30 minutes at 37oC. The tissue section was developed using an HRP secondary and DAB substrate.
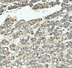
Immunohistochemical staining of ARHGEF12L using anti-ARHGEF12L antibody. ARHGEF12L was detected in a paraffin-embedded section of human parotid acinar cell carcinoma tissue. Heat mediated antigen retrieval was performed in EDTA buffer (pH 8.0, epitope retrieval solution). The tissue section was blocked with 10% goat serum. The tissue section was then incubated with 2 ug/ml rabbit anti-ARHGEF12L antibody overnight at 4oC. Peroxidase Conjugated Goat Anti-rabbit IgG was used as secondary antibody and incubated for 30 minutes at 37oC. The tissue section was developed using an HRP secondary and DAB substrate.
Immunohistochemical staining of ARHGEF12L using anti-ARHGEF12L antibody. ARHGEF12L was detected in a paraffin-embedded section of human squamous cell carcinoma of cervix tissue. Heat mediated antigen retrieval was performed in EDTA buffer (pH 8.0, epitope retrieval solution). The tissue section was blocked with 10% goat serum. The tissue section was then incubated with 2 ug/ml rabbit anti-ARHGEF12L antibody overnight at 4oC. Peroxidase Conjugated Goat Anti-rabbit IgG was used as secondary antibody and incubated for 30 minutes at 37oC. The tissue section was developed using an HRP secondary and DAB substrate.
Immunohistochemical staining of ARHGEF12L using anti-ARHGEF12L antibody. ARHGEF12L was detected in a paraffin-embedded section of rat brain tissue. Heat mediated antigen retrieval was performed in EDTA buffer (pH 8.0, epitope retrieval solution). The tissue section was blocked with 10% goat serum. The tissue section was then incubated with 2 ug/ml rabbit anti-ARHGEF12L antibody overnight at 4oC. Peroxidase Conjugated Goat Anti-rabbit IgG was used as secondary antibody and incubated for 30 minutes at 37oC. The tissue section was developed using an HRP secondary and DAB substrate.
Immunofluorescent staining of ARHGEF12 using anti-ARHGEF12 antibody (green) and anti-Beta Tubulin antibody (red). ARHGEF12 was detected in immunocytochemical section of cell. Enzyme antigen retrieval was performed using IHC enzyme antigen retrieval reagent for 15 mins. The cells were blocked with 10% goat serum. And then incubated with 5 ug/ml rabbit anti-ARHGEF12 antibody and mouse anti-Beta Tubulin antibody overnight at 4oC. DyLight 488 Conjugated Goat Anti-Rabbit IgG and DyLight 550 Conjugated Goat Anti-Mouse IgG were used as secondary antibody at 1:500 dilution and incubated for 30 minutes at 37oC. Visualize using a fluorescence microscope and filter sets appropriate for the label used.
Immunoprecipitating (IP) ARHGEF12 in HepG2 whole cell lysate. Western blot analysis of ARHGEF12 using anti-ARHGEF12 antibody; Lane 1: HepG2 whole cell lysates (30ug); Lane 2: Rabbit control IgG instead of anti-ARHGEF12 antibody in HepG2 whole cell lysate; Lane 3: anti-ARHGEF12 antibody (2ug) + HepG2 whole cell lysate (500ug). After electrophoresis, proteins were transferred to a membrane. Then the membrane was incubated with rabbit anti-ARHGEF12 antibody at a dilution of 0.5 ug/ml and probed with a goat anti-rabbit IgG-HRP secondary antibody. The signal is developed using ECL Plus Western Blotting Substrate. A specific band was detected for ARHGEF12 at approximately 220 kDa. The expected band size for ARHGEF12 is at 173 kDa.
Flow Cytometry analysis of HepG2 cells using anti-ARHGEF12 antibody. Overlay histogram showing HepG2 cells stained with (Blue line). To facilitate intracellular staining, cells were fixed with 4% paraformaldehyde and permeabilized with permeabilization buffer. The cells were blocked with 10% normal goat serum. And then incubated with rabbit anti-ARHGEF12 antibody (1 ug/million cells) for 30 min at 20oC. DyLight 488 conjugated goat anti-rabbit IgG (5-10 ug/million cells) was used as secondary antibody for 30 minutes at 20oC. Isotype control antibody (Green line) was rabbit IgG (1 ug/million cells) used under the same conditions. Unlabelled sample (Red line) was also used as a control.
Availability 1-2 days
Species Reactivity Human, Mouse, Rat
Format Lyophilized
Host Rabbit
Clonality Polyclonal (rabbit origin)
Isotype Rabbit IgG
Purity Immunogen affinity purified
Buffer Each vial contains 4 mg Trehalose, 0.9 mg NaCl, 0.2 mg Na2HPO4.
UniProt Q9NZN5
Localization Cytoplasmic
Applications ELISA : 0.1-0.5ug/ml
Flow Cytometry : 1-3ug/million cells
Immunoprecipitation : 2-4ug/500ug of lysate
Immunofluorescence : 5ug/ml
Immunohistochemistry : 2-5ug/ml
Immunocytochemistry : 5ug/ml
Western Blot : 0.25-0.5ug/ml
Limitations This ARHGEF12 antibody is available for research use only.
Review this product on BioCompare and get a $20 Amazon gift card

Description

ARHGEF12 antibody detects Rho guanine nucleotide exchange factor 12, encoded by the ARHGEF12 gene on chromosome 11q23.3. ARHGEF12 antibody is widely used to study this Rho GTPase activator, also known as LARG (Leukemia-associated Rho guanine nucleotide exchange factor). ARHGEF12 belongs to the Dbl family of guanine nucleotide exchange factors (GEFs), which activate Rho proteins by promoting GDP-GTP exchange. ARHGEF12 is expressed in hematopoietic cells, endothelial cells, and many other tissues where cytoskeletal dynamics and signaling are tightly regulated.

Structurally, ARHGEF12 contains several modular domains: a Dbl homology (DH) domain for GEF activity, a pleckstrin homology (PH) domain for phosphoinositide binding, and regulator of G protein signaling (RGS) motifs that mediate interaction with G alpha subunits. These structural features allow ARHGEF12 to couple G protein-coupled receptor (GPCR) signaling to RhoA activation. LARG was originally identified through its involvement in chromosomal translocations in acute myeloid leukemia, giving rise to its alias.

Functionally, ARHGEF12 activates RhoA, regulating actin cytoskeleton remodeling, stress fiber formation, and cell adhesion. It plays roles in endothelial barrier function, smooth muscle contraction, and migration. ARHGEF12 also integrates signals from GPCRs, receptor tyrosine kinases, and integrins. Knockdown studies show its necessity for RhoA activation downstream of G alpha12 and G alpha13 proteins. Researchers use ARHGEF12 antibody to explore cytoskeletal dynamics, GPCR signaling, and cancer biology.

Clinically, ARHGEF12 has strong links to leukemia, as its involvement in chromosomal translocations was discovered in AML. Beyond hematologic malignancies, altered ARHGEF12 expression has been implicated in solid tumors, where it influences migration and invasion. In cardiovascular biology, ARHGEF12 regulates vascular tone and contributes to hypertension. Variants in ARHGEF12 have also been associated with inherited cardiac conditions. NSJ Bioreagents supplies ARHGEF12 antibody to support studies of Rho signaling, oncogenesis, and vascular biology.

Experimentally, ARHGEF12 antibody is used in western blotting to detect the ~180 kDa protein, in immunofluorescence microscopy to study actin remodeling, and in immunohistochemistry to analyze tissue distribution. Immunoprecipitation with ARHGEF12 antibody identifies interactions with G alpha subunits and cytoskeletal proteins.

Application Notes

Optimal dilution of the ARHGEF12 antibody should be determined by the researcher.

Immunogen

E.coli-derived human LARG/ARHGEF12 recombinant protein (Position: D10-E1426) was used as the immunogen for the ARHGEF12 antibody.

Storage

After reconstitution, the ARHGEF12 antibody can be stored for up to one month at 4oC. For long-term, aliquot and store at -20oC. Avoid repeated freezing and thawing.

Cross
Bulk Quote Request Form
Name*:
Organization*:
Email*:
Phone Number*:
Catalog No.*:
Comments and Specifics(amount, formulation, etc.)*:
Validation code: Captchapackage Image


Can't read the image? click here to refresh.
    *required field

Your bulk quote request has been submitted successfully!

Please contact us if you have any questions.