• Tel: 858.663.9055
  • SeparatorEmail: info@nsjbio.com
  • Tel: 858.663.9055
  • Email: info@nsjbio.com
Home >> Antibodies >> AR-V7 Antibody Rabbit Monoclonal / Androgen Receptor Variant 7 Antibody

AR-V7 Antibody Rabbit Monoclonal / Androgen Receptor Variant 7 Antibody [clone DHH-1] (RQ4683)

  Catalog No Formulation Size Price (USD)  
Image RQ4683 Antibody in PBS with 0.02% sodium azide, 50% glycerol and 0.4-0.5mg/ml BSA 100 ul 449
Microvalidated Rab Mono Image
Bulk quote request
AR-V7 Antibody Rabbit Monoclonal (clone DHH-1) detects androgen receptor variant 7 protein in western blot analysis of human 22Rv1 cell lysate. A prominent band is observed at approximately 80 kDa, consistent with the commonly reported migration of AR-V7 on SDS-PAGE despite a predicted molecular weight of approximately 68 kDa. The higher apparent molecular weight reflects the intrinsically disordered N-terminal transactivation domain and post-translational influences that frequently cause AR splice variants to migrate more slowly during electrophoresis.
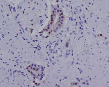
IHC staining of FFPE human prostate carcinoma with AR-V7 antibody. HIER: boil tissue sections in pH6, 10mM citrate buffer, for 10-20 min and allow to cool before testing.
Availability 1-2 weeks
Species Reactivity Human
Format Purified
Host Rabbit
Clonality Rabbit Monoclonal
Isotype Rabbit IgG
Clone Name DHH-1
Purity Affinity purified
UniProt P10275
Localization Cytoplasmic, nuclear
Applications Western Blot : 1:500-1:2000
Immunohistochemistry (FFPE) : 1:50-1:200
Limitations This AR-V7 antibody is available for research use only.
Review this product on BioCompare and get a $20 Amazon gift card

Related Products

Description

Androgen receptor variant 7 (AR-V7) is a truncated splice variant of the androgen receptor encoded by the AR gene, also known as nuclear receptor subfamily 3 group C member 4 (NR3C4). Unlike the full-length androgen receptor, AR-V7 lacks the C-terminal ligand-binding domain but retains the N-terminal transcriptional activation domain and DNA-binding domain. AR-V7 Antibody Rabbit Monoclonal (clone DHH-1) recognizes this androgen receptor splice variant and is used to study variant AR expression in androgen receptor signaling pathways.

AR-V7 arises through alternative splicing of AR transcripts that results in the replacement of the ligand-binding domain with a short cryptic exon sequence. Because the ligand-binding domain is absent, the AR-V7 protein is constitutively active and can drive androgen receptor signaling in the absence of androgen ligands. This ligand-independent transcriptional activity allows AR-V7 to regulate androgen-responsive genes even when androgen signaling is pharmacologically inhibited.

The AR-V7 protein localizes primarily to the nucleus, consistent with its role as a transcription factor that regulates gene expression. Retention of the N-terminal transactivation domain and DNA-binding domain enables AR-V7 to bind androgen response elements and activate transcription of androgen-regulated genes. Nuclear localization of AR-V7 therefore reflects its functional activity within androgen receptor signaling pathways.

Expression of AR-V7 has been widely studied in the context of prostate cancer biology. In advanced prostate tumors, alternative splicing of the AR gene can generate variant receptors such as AR-V7 that lack the ligand-binding domain targeted by many androgen receptor inhibitors. Because AR-V7 remains transcriptionally active without androgen binding, this splice variant has been associated with androgen-independent signaling mechanisms and altered androgen receptor pathway regulation.

Detection of AR-V7 is frequently used in studies examining androgen receptor splice variant biology and mechanisms of androgen receptor signaling. Analysis of AR-V7 expression can provide insight into how truncated receptor isoforms contribute to persistent androgen receptor activity in cellular models of prostate cancer.

AR-V7 Antibody Rabbit Monoclonal (clone DHH-1) is designed to recognize the AR-V7 splice variant in research applications. The antibody supports studies investigating androgen receptor variant expression, transcriptional regulation mediated by truncated androgen receptor isoforms, and molecular mechanisms underlying androgen receptor signaling in prostate cancer models.

Application Notes

Optimal dilution of the AR-V7 Antibody Rabbit Monoclonal should be determined by the researcher.

Immunogen

A synthetic peptide specific to the AR-V7 splice variant of human Androgen Receptor was used as the immunogen for the AR-V7 antibody.

Storage

Store the AR-V7 antibody at -20oC.

Alternate Names

AR-V7 antibody, Androgen receptor variant 7 antibody, AR splice variant 7 antibody, Androgen receptor truncated variant antibody

Cross
Bulk Quote Request Form
Name*:
Organization*:
Email*:
Phone Number*:
Catalog No.*:
Comments and Specifics(amount, formulation, etc.)*:
Validation code: Captchapackage Image


Can't read the image? click here to refresh.
    *required field

Your bulk quote request has been submitted successfully!

Please contact us if you have any questions.