• Tel: 858.663.9055
  • SeparatorEmail: info@nsjbio.com
  • Tel: 858.663.9055
  • Email: info@nsjbio.com
Home >> Antibodies >> AR Antibody Recombinant Mouse MAb r2F12 / Androgen Receptor Antibody

AR Antibody Recombinant Mouse MAb r2F12 / Androgen Receptor Antibody [clone r2F12] (V5924)

  Catalog No Formulation Size Price (USD)  
Image V5924-100UG 0.2 mg/ml in 1X PBS with 0.05% BSA, 0.05% sodium azide 100 ug 559
Image
V5924-20UG 0.2 mg/ml in 1X PBS with 0.05% BSA, 0.05% sodium azide 20 ug 259
Image
V5924SAF-100UG 1 mg/ml in 1X PBS; BSA free, sodium azide free 100 ug 559
Microvalidated Recmousemono
Bulk quote request
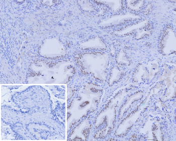
AR Antibody Recombinant Mouse MAb r2F12 detects androgen receptor protein in immunohistochemistry analysis of formalin-fixed, paraffin-embedded human prostate tissue. Distinct nuclear HRP-DAB staining is observed in prostate glandular epithelial cells, consistent with the expected nuclear localization of the androgen receptor transcription factor in androgen-responsive epithelium. Surrounding stromal cells show minimal staining, highlighting the epithelial-specific distribution of AR expression. The inset shows the PBS-only negative control processed without primary antibody, demonstrating minimal non-specific background staining.
SDS-PAGE Analysis of purified recombinant mouse AR/Androgen receptor antibody (clone r2F12). Confirmation of Purity and Integrity of Antibody.
Species Reactivity Human
Format Purified
Host Mouse
Clonality Recombinant Mouse Monoclonal
Isotype Mouse IgG1, kappa
Clone Name r2F12
UniProt P10275
Localization Cytoplasm, Nucleus
Applications Immunohistochemistry (FFPE) : 1-2ug/ml
Limitations This AR/Androgen receptor antibody is available for research use only.
Review this product on BioCompare and get a $20 Amazon gift card

Related Products

Description

Androgen receptor (AR), encoded by the AR gene and also known as nuclear receptor subfamily 3 group C member 4 (NR3C4), is a ligand-activated nuclear hormone receptor that mediates cellular responses to androgens such as testosterone and dihydrotestosterone. AR functions as a transcription factor that regulates genes involved in male reproductive development, prostate physiology, and androgen-dependent signaling pathways. AR Antibody Recombinant Mouse MAb r2F12 recognizes the androgen receptor protein and enables investigation of AR expression and androgen signaling in biological samples.

The androgen receptor protein contains several functional regions including a large N-terminal transcriptional activation domain, a central DNA-binding domain, a hinge region, and a C-terminal ligand-binding domain. Binding of androgen ligands induces receptor activation, dimerization, and nuclear translocation, allowing AR to bind androgen response elements within target gene promoters. Through this mechanism, AR regulates transcriptional programs that control cellular growth, differentiation, and hormone-responsive gene expression.

In normal physiology, androgen receptor signaling plays an essential role in development and maintenance of male reproductive organs. High levels of AR expression are typically observed in prostate epithelial cells and other androgen-responsive tissues such as seminal vesicle and certain epithelial compartments of the genitourinary tract. These tissues rely on androgen receptor signaling to regulate cellular differentiation and secretory function.

AR expression is also widely studied in cancer biology, particularly in prostate cancer where androgen receptor signaling drives tumor growth and progression. Many prostate tumors retain strong AR expression and remain dependent on androgen receptor signaling pathways. As a result, detection of AR protein provides important insight into androgen-regulated transcriptional activity and tumor cell identity in experimental models of prostate cancer.

Because androgen receptor functions as a nuclear transcription factor, AR protein is commonly observed within the nucleus of androgen-responsive cells. Nuclear localization reflects the activated state of the receptor when it engages DNA and regulates androgen-responsive genes. Analysis of AR distribution and expression therefore provides valuable information about androgen signaling status within cells and tissues.

AR Antibody Recombinant Mouse MAb r2F12 is designed to recognize the androgen receptor protein in research applications. This antibody supports studies investigating androgen receptor biology, androgen signaling pathways, and the molecular mechanisms regulating androgen-responsive gene expression in endocrine and cancer research.

Application Notes

Optimal dilution of the recombinant AR/Androgen receptor antibody should be determined by the researcher.

Immunogen

Recombinant protein of 321 amino acids representing the N-terminus of the human androgen receptor was used as the immunogen for the recombinant AR/Androgen receptor antibody.

Storage

AR/Androgen receptor antibody with sodium azide - store at 2 to 8oC; antibody without sodium azide - store at -20 to -80oC.

Alternate Names

Androgen receptor antibody, AR antibody, NR3C4 antibody, Nuclear receptor subfamily 3 group C member 4 antibody

Cross
Bulk Quote Request Form
Name*:
Organization*:
Email*:
Phone Number*:
Catalog No.*:
Comments and Specifics(amount, formulation, etc.)*:
Validation code: Captchapackage Image


Can't read the image? click here to refresh.
    *required field

Your bulk quote request has been submitted successfully!

Please contact us if you have any questions.