• Tel: 858.663.9055
  • SeparatorEmail: info@nsjbio.com
  • Tel: 858.663.9055
  • Email: info@nsjbio.com
Home >> Antibodies >> Aquaporin 2 Antibody

Aquaporin 2 Antibody (R32091)

  Catalog No Formulation Size Price (USD)  
Image R32091 0.5mg/ml if reconstituted with 0.2ml sterile DI water 100 ug 439
Bulk quote request
Flow cytometry testing of human PC-3 cells with Aquaporin 2 antibody at 1ug/million cells (blocked with goat sera); Red=cells alone, Green=isotype control, Blue= Aquaporin 2 antibody.
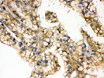
IHC testing of FFPE human kidney cancer tissue with Aquaporin 2 antibody. HIER: Boil the paraffin sections in pH 6, 10mM citrate buffer for 20 minutes and allow to cool prior to staining.
IHC testing of FFPE mouse kidney with Aquaporin 2 antibody. HIER: Boil the paraffin sections in pH 6, 10mM citrate buffer for 20 minutes and allow to cool prior to staining.
IHC testing of FFPE rat kidney with Aquaporin 2 antibody. HIER: Boil the paraffin sections in pH 6, 10mM citrate buffer for 20 minutes and allow to cool prior to staining.
Western blot testing of 1) rat kidney, 2) rat NRK, 3) rat PC-12, 4) mouse kidney, 5) mouse HBZY and 6) mouse RAW264.7 cell lysate with Aquaporin 2 antibody. Observed molecular weight: 29-46 kDa depending on glycosylation level.
Availability 1-3 business days
Species Reactivity Human, Mouse, Rat
Format Antigen affinity purified
Clonality Polyclonal (rabbit origin)
Isotype Rabbit IgG
Purity Antigen affinity
Buffer Lyophilized from 1X PBS with 2.5% BSA and 0.025% sodium azide
UniProt P41181
Applications Western Blot : 0.1-0.5ug/ml
Immunohistochemistry (FFPE) : 0.5-1ug/ml
Flow Cytometry : 1-3ug/million cells
Limitations This Aquaporin 2 antibody is available for research use only.
Review this product on BioCompare and get a $20 Amazon gift card

Related Products

  • Applications : WB, IHC-P, IHC-F
    Reactivity : Human, Mouse, Rat

Description

AQP2 (Aquaporin 2), also called AQUAPORIN-CD, is found in the apical cell membranes of the kidney's collecting duct principal cells and in intracellular vesicles located throughout the cell. The AQP2 gene is mapped to chromosome 12q13, very close to the site of major intrinsic protein by situ hybridization. The investigators suggested that a defect in the AQP2 gene is the basis of the autosomal form of nephrogenic diabetes insipidus. The functional expression and the limited localization suggested that AQP2 is the vasopressin-regulated water channel. Using rat kidney slices and porcine kidney cells stably expressing rat Aqp2, AQP2 trafficking can be stimulated by cAMP-independent pathways that utilize nitric oxide (NO). The NO donors sodium nitroprusside (SNP) and NONOate and the NO synthase substrate L-arginine mimicked the effect of vasopressin (VP), stimulating relocation of Aqp2 from cytoplasmic vesicles to the apical plasma membrane. SNP increased intracellular cGMP rather than cAMP, and exogenous cGMP stimulated AQP2 membrane insertion. Atrial natriuretic factor, which signals via cGMP, also stimulated AQP2 translocation. AQP2 expression in kidney connecting tubules is sufficient for survival and that AQP2 expression in collecting ducts is required to regulate body water balance. The S256L substitution in the cytoplasmic tail of the Aqp2 protein prevented phosphorylation at S256 and the subsequent accumulation of Aqp2 on the apical membrane of the collecting duct principal cells.

Application Notes

Optimal dilution of the Aquaporin 2 antibody should be determined by the researcher.

Immunogen

Amino acids EPDTDWEEREVRRRQSVELHSPQSLPRGTKA of human Aquaporin 2 were used as the immunogen for the Aquaporin 2 antibody.

Storage

After reconstitution, the Aquaporin 2 antibody can be stored for up to one month at 4oC. For long-term, aliquot and store at -20oC. Avoid repeated freezing and thawing.

Cross
Bulk Quote Request Form
Name*:
Organization*:
Email*:
Phone Number*:
Catalog No.*:
Comments and Specifics(amount, formulation, etc.)*:
Validation code: Captchapackage Image


Can't read the image? click here to refresh.
    *required field

Your bulk quote request has been submitted successfully!

Please contact us if you have any questions.