• Tel: 858.663.9055
  • SeparatorEmail: info@nsjbio.com
  • Tel: 858.663.9055
  • Email: info@nsjbio.com
Home >> Antibodies >> AQP3 Antibody / Aquaporin 3

AQP3 Antibody / Aquaporin 3 (R30561)

  Catalog No Formulation Size Price (USD)  
Image R30561 0.5mg/ml if reconstituted with 0.2ml sterile DI water 100 ug 449
Bulk quote request
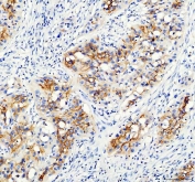
IHC staining of FFPE human bladder cancer tissue with AQP3 antibody. HIER: boil tissue sections in pH8 EDTA for 20 min and allow to cool before testing.
IHC staining of FFPE human bladder cancer tissue with AQP3 antibody. HIER: boil tissue sections in pH8 EDTA for 20 min and allow to cool before testing.
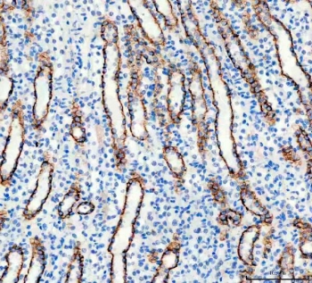
IHC staining of FFPE mouse kidney tissue with AQP3 antibody. HIER: boil tissue sections in pH8 EDTA for 20 min and allow to cool before testing.
IHC staining of FFPE mouse kidney tissue with AQP3 antibody. HIER: boil tissue sections in pH8 EDTA for 20 min and allow to cool before testing.
IHC staining of FFPE rat kidney tissue with AQP3 antibody. HIER: boil tissue sections in pH8 EDTA for 20 min and allow to cool before testing.
IHC staining of FFPE rat kidney tissue with AQP3 antibody. HIER: boil tissue sections in pH8 EDTA for 20 min and allow to cool before testing.
IHC staining of FFPE rat kidney tissue with AQP3 antibody. HIER: boil tissue sections in pH8 EDTA for 20 min and allow to cool before testing.
Immunofluorescent staining of FFPE human A431 cells with AQP3 antibody (red) and DAPI nuclear stain (blue). HIER: steam section in pH6 citrate buffer for 20 min.
Immunofluorescent staining of FFPE human HeLa cells with AQP3 antibody (red) and DAPI nuclear stain (blue). HIER: steam section in pH6 citrate buffer for 20 min.
Western blot testing of 1) human HeLa, 2) rat kidney and 3) mouse kidney tissue lysate with AQP3 antibody. Predicted molecular weight ~32 kDa.
Flow cytometry testing of fixed and permeabilized human RT4 cells with AQP3 antibody at 1ug/million cells (blocked with goat sera); Red=cells alone, Green=isotype control, Blue=AQP3 antibody.
Availability 1-3 business days
Species Reactivity Human, Mouse, Rat
Format Antigen affinity purified
Host Rabbit
Clonality Polyclonal (rabbit origin)
Isotype Rabbit IgG
Purity Antigen affinity
Buffer Lyophilized from 1X PBS with 2% Trehalose
UniProt Q92482
Localization Cytoplasmic, membranous
Applications Western Blot : 0.5-1ug/ml
Immunohistochemistry (FFPE) : 2-5ug/ml
Immunofluorescence : 5ug/ml
Flow Cytometry : 1-3ug/million cells
Limitations This AQP3 antibody is available for research use only.
Review this product on BioCompare and get a $20 Amazon gift card

Related Products

  • Applications : WB, ELISA
    Reactivity : Human, Mouse
    Pred. Reactivity : Bovine, Rat
  • Applications : WB
    Reactivity : Mouse, Rat
    Pred. Reactivity : Human

Description

Aquaporin 3 is the third member of the major intrinsic protein family. The protein is localized at the basal lateral membranes of collecting duct cells in the kidney. AQP3 appears to exist as a single copy and to comprise 6 exons distributed over 7 kb. The gene is mapped to 9p21-p12 by fluorescence in situ hybridization. The protein works as water-channel and facilitates the transport of nonionic small solutes such as urea and glycerol, albeit to a smaller degree. The results suggested that water channels can be functionally heterogeneous and possess water and solute permeation mechanisms. By Western blot analysis and immunofluorescence microscopy of epidermis, Sougrat et al.(2002) showed strong expression of an approximately 33-kD glycosylated AQP3 protein in keratinocyte plasma membranes, one layer below the unstained stratum corneum(SC). It provides a short circuit for water, or water-clamp, between the base of the epidermis and the SC in order to maintain a constant H2O content and to prevent the formation of a continuous water gradient across the epidermis below the SC.

Application Notes

The stated application concentrations are suggested starting amounts. Titration of the AQP3 antibody may be required due to differences in protocols and secondary/substrate sensitivity.

Immunogen

An amino acid sequence from the C-terminus of human Aquaporin 3 (EENVKLAHVKHKEQI) was used as the immunogen for this AQP3 antibody.

Storage

After reconstitution, the AQP3 antibody can be stored for up to one month at 4oC. For long-term, aliquot and store at -20oC. Avoid repeated freezing and thawing.

Cross
Bulk Quote Request Form
Name*:
Organization*:
Email*:
Phone Number*:
Catalog No.*:
Comments and Specifics(amount, formulation, etc.)*:
Validation code: Captchapackage Image


Can't read the image? click here to refresh.
    *required field

Your bulk quote request has been submitted successfully!

Please contact us if you have any questions.