• Tel: 858.663.9055
  • SeparatorEmail: info@nsjbio.com
  • Tel: 858.663.9055
  • Email: info@nsjbio.com
Home >> Antibodies >> Apolipoprotein A4 Antibody / APOA4

Apolipoprotein A4 Antibody / APOA4 [clone APOA4/3654] (V5436)

  Catalog No Formulation Size Price (USD)  
Image V5436-100UG 0.2 mg/ml in 1X PBS with 0.1 mg/ml BSA (US sourced), 0.05% sodium azide 100 ug 559
Image
V5436-20UG 0.2 mg/ml in 1X PBS with 0.1 mg/ml BSA (US sourced), 0.05% sodium azide 20 ug 259
Image
V5436SAF-100UG 1 mg/ml in 1X PBS; BSA free, sodium azide free 100 ug 559
Microvalidated
Bulk quote request
Analysis of HuProt(TM) microarray containing more than 19,000 full-length human proteins using Apolipoprotein A4 antibody (clone APOA4/3654). These results demonstrate the foremost specificity of the APOA4/3654 mAb. Z- and S- Score: The Z-score represents the strength of a signal that a monoclonal antibody (clone MAb) (in combination with a fluorescently-tagged anti-IgG secondary antibody) produces when binding to a particular protein on the HuProt(TM) array. Z-scores are described in units of standard deviations (SD's) above the mean value of all signals generated on that array. If targets on HuProt(TM) are arranged in descending order of the Z-score, the S-score is the difference (also in units of SD's) between the Z-score. S-score therefore represents the relative target specificity of a MAb to its intended target. A MAb is considered to specific to its intended target, if the MAb has an S-score of at least 2.5. For example, if a MAb binds to protein X with a Z-score of 43 and to protein Y with a Z-score of 14, then the S-score for the binding of that MAb to protein X is equal to 29.
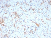
IHC staining of FFPE human liver tissue with Apolipoprotein A4 antibody (clone APOA4/3654). HIER: boil tissue sections in pH 9 10mM Tris with 1mM EDTA for 20 min and allow to cool before testing.
SDS-PAGE analysis of purified, BSA-free Apolipoprotein A4 antibody (clone APOA4/3654) as confirmation of integrity and purity.
Availability 1-3 business days
Species Reactivity Human
Format Purified
Host Mouse
Clonality Monoclonal (mouse origin)
Isotype Mouse IgG1
Clone Name APOA4/3654
Purity Protein A/G affinity
UniProt P06727
Localization Secreted
Applications Immunohistochemistry (FFPE) : 1-2ug/ml
Limitations This Apolipoprotein A4 antibody is available for research use only.
Review this product on BioCompare and get a $20 Amazon gift card

Related Products

Description

Apolipoproteins are protein components of plasma lipoproteins. The human apoA-I gene encodes a single chain, 243 amino acid protein which promotes cholesterol efflux from tissues to the liver for excretion. Apolipoprotein A-I is the major protein component of high density lipoprotein (HDL) in the plasma. It can function as a cofactor for lecithin cholesterolacyltransferase (LCAT), which is responsible for the formation of most plasma cholesteryl esters. The human apoA-II gene encodes the second most abundant protein of HDL particles, where it influences plasma levels of free fatty acids (FFA). The human apoA-IV gene encodes a 396 amino acid preprotein, which after proteolytic processing is secreted from the intestine in association with chylomicron particles. ApoA-IV is a potent activator of LCAT in vitro. The human apoA-V gene encodes a 366 amino acid protein that is believed to be an important determinant of plasma triglyceride levels.

Application Notes

Optimal dilution of the Apolipoprotein A4 antibody should be determined by the researcher.

Immunogen

A human recombinant APOA4 protein fragment (within amino acids 239-371) was used as the immunogen for the Apolipoprotein A4 antibody.

Storage

Aliquot the Apolipoprotein A4 antibody and store frozen at -20oC or colder. Avoid repeated freeze-thaw cycles.

Cross
Bulk Quote Request Form
Name*:
Organization*:
Email*:
Phone Number*:
Catalog No.*:
Comments and Specifics(amount, formulation, etc.)*:
Validation code: Captchapackage Image


Can't read the image? click here to refresh.
    *required field

Your bulk quote request has been submitted successfully!

Please contact us if you have any questions.