• Tel: 858.663.9055
  • SeparatorEmail: info@nsjbio.com
  • Tel: 858.663.9055
  • Email: info@nsjbio.com
Home >> Antibodies >> APOBEC3C Antibody

APOBEC3C Antibody (FY12791)

  Catalog No Formulation Size Price (USD)  
Image FY12791 Adding 0.2 ml of distilled water will yield a concentration of 500 ug/ml 100 ug 449
Bulk quote request
Immunofluorescent staining of APOBEC3C using anti-APOBEC3C antibody (green) and anti-Beta Tubulin antibody (red). APOBEC3C was detected in immunocytochemical section of HELA cell. Enzyme antigen retrieval was performed using IHC enzyme antigen retrieval reagent for 15 mins. The cells were blocked with 10% goat serum. And then incubated with 5 ug/ml rabbit anti-APOBEC3C antibody and mouse anti-Beta Tubulin antibody overnight at 4oC. DyLight 488 Conjugated Goat Anti-Rabbit IgG and Cy3 Conjugated Goat Anti-Mouse IgG were used as secondary antibody at 1:500 dilution and incubated for 30 minutes at 37oC. Visualize using a fluorescence microscope and filter sets appropriate for the label used.
Western blot analysis of APOBEC3C using anti-APOBEC3C antibody. Lane 1: human PC-3 whole cell lysates, Lane 2: human K562 whole cell lysates, Lane 3: human HEL whole cell lysates, Lane 4: human whole cell lysates, Lane 5: rat spleen tissue lysates, Lane 6: rat PC-12 whole cell lysates, Lane 7: mouse spleen tissue lysates, Lane 8: mouse RAW264.7 whole cell lysates. After electrophoresis, proteins were transferred to a nitrocellulose membrane at 150 mA for 50-90 minutes. Blocked the membrane with 5% non-fat milk/TBS for 1.5 hour at RT. The membrane was incubated with rabbit anti-APOBEC3C antibody at 0.5 ug/ml overnight at 4oC, then washed with TBS-0.1%Tween 3 times with 5 minutes each and probed with a goat anti-rabbit IgG-HRP secondary antibody at a dilution of 1:5000 for 1.5 hour at RT. The signal was developed using enhanced chemiluminescent. A specific band was detected for APOBEC3C at approximately 23 kDa. The expected molecular weight of APOBEC3C is ~23 kDa.
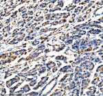
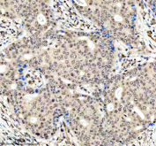
Immunohistochemical staining of APOBEC3C using anti-APOBEC3C antibody. APOBEC3C was detected in a paraffin-embedded section of human pancreas cancer tissue. Heat mediated antigen retrieval was performed in EDTA buffer (pH 8.0, epitope retrieval solution). The tissue section was blocked with 10% goat serum. The tissue section was then incubated with 2 ug/ml rabbit anti-APOBEC3C antibody overnight at 4oC. Peroxidase Conjugated Goat Anti-rabbit IgG was used as secondary antibody and incubated for 30 minutes at 37oC. The tissue section was developed using an HRP secondary and DAB substrate.
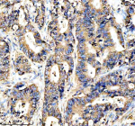
Immunohistochemical staining of APOBEC3C using anti-APOBEC3C antibody. APOBEC3C was detected in a paraffin-embedded section of human stomach cancer tissue. Heat mediated antigen retrieval was performed in EDTA buffer (pH 8.0, epitope retrieval solution). The tissue section was blocked with 10% goat serum. The tissue section was then incubated with 2 ug/ml rabbit anti-APOBEC3C antibody overnight at 4oC. Peroxidase Conjugated Goat Anti-rabbit IgG was used as secondary antibody and incubated for 30 minutes at 37oC. The tissue section was developed using an HRP secondary and DAB substrate.
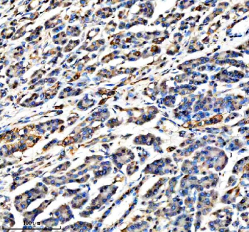
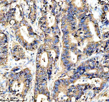
Immunohistochemical staining of APOBEC3C using anti-APOBEC3C antibody. APOBEC3C was detected in a paraffin-embedded section of human breast cancer tissue. Heat mediated antigen retrieval was performed in EDTA buffer (pH 8.0, epitope retrieval solution). The tissue section was blocked with 10% goat serum. The tissue section was then incubated with 2 ug/ml rabbit anti-APOBEC3C antibody overnight at 4oC. Peroxidase Conjugated Goat Anti-rabbit IgG was used as secondary antibody and incubated for 30 minutes at 37oC. The tissue section was developed using an HRP secondary and DAB substrate.
Flow Cytometry analysis of K562 cells using anti-APOBEC3C antibody. Overlay histogram showing K562 cells stained with (Blue line). To facilitate intracellular staining, cells were fixed with 4% paraformaldehyde and permeabilized with permeabilization buffer. The cells were blocked with 10% normal goat serum. And then incubated with rabbit anti-APOBEC3C antibody (1 ug/million cells) for 30 min at 20oC. DyLight 488 conjugated goat anti-rabbit IgG (5-10 ug/million cells) was used as secondary antibody for 30 minutes at 20oC. Isotype control antibody (Green line) was rabbit IgG (1 ug/million cells) used under the same conditions. Unlabelled sample without incubation with primary antibody and secondary antibody (Red line) was used as a blank control.
Availability 1-2 days
Species Reactivity Human, Mouse, Rat
Format Lyophilized
Host Rabbit
Clonality Polyclonal (rabbit origin)
Isotype Rabbit IgG
Purity Immunogen affinity purified
Buffer Each vial contains 4 mg Trehalose, 0.9 mg NaCl, 0.2 mg Na2HPO4.
UniProt Q9NRW3
Localization Nuclear, cytoplasmic
Applications Western Blot : 0.25-0.5ug/ml
Immunohistochemistry : 2-5ug/ml
Immunocytochemistry : 5ug/ml
Immunofluorescence : 5ug/ml
Flow Cytometry : 1-3ug/million cells
Limitations This APOBEC3C antibody is available for research use only.
Review this product on BioCompare and get a $20 Amazon gift card

Related Products

  • Applications : WB, ELISA (peptide)
    Reactivity : Human

Description

APOBEC3C antibody detects DNA dC-to-dU-editing enzyme APOBEC-3C, a cytidine deaminase involved in antiviral defense, DNA mutagenesis, and innate immune regulation. Encoded by the APOBEC3C gene on chromosome 22q13.1, this enzyme belongs to the APOBEC3 subfamily of cytidine deaminases, which act by deaminating cytidine to uridine in single-stranded DNA. APOBEC3C plays a central role in restricting viral replication, particularly retroviruses and retrotransposons, through cytidine deamination and interference with reverse transcription.

Structurally, APOBEC3C contains a single catalytic zinc-dependent deaminase domain characterized by the H-X-E-X(23-28)-P-C-X2-C motif, which coordinates zinc ions for catalytic activity. It primarily targets cytosines within the 5'-TC context of viral DNA, leading to G-to-A hypermutations that inhibit viral genome integrity. APOBEC3C acts against human immunodeficiency virus type 1 (HIV-1) and other retroelements by editing viral cDNA during replication. Its antiviral activity is antagonized by viral infectivity factor (Vif) proteins that mediate APOBEC degradation via the ubiquitin-proteasome pathway.

The APOBEC3C antibody is used in virology, immunology, and genomic stability research to study intrinsic antiviral immunity and cytidine deamination mechanisms. Western blot analysis detects a 23 kilodalton band corresponding to APOBEC3C, while immunofluorescence shows cytoplasmic and nuclear localization depending on infection or stress conditions. This antibody supports the investigation of APOBEC3C-mediated mutagenesis, viral restriction, and immune regulation.

Beyond antiviral defense, APOBEC3C influences genomic diversity and cancer mutagenesis by contributing to localized DNA editing events. Dysregulation or overexpression of APOBEC family enzymes, including APOBEC3C, has been linked to mutational signatures in various cancers. The APOBEC3C antibody provides a reliable tool for exploring the dual roles of APOBEC3C in immunity and genome evolution. NSJ Bioreagents offers this antibody validated for western blotting, immunohistochemistry, and immunofluorescence, ensuring robust and reproducible detection in studies of antiviral defense and mutation biology.

Application Notes

Optimal dilution of the APOBEC3C antibody should be determined by the researcher.

Immunogen

A synthetic peptide corresponding to a sequence at the N-terminus of human APOBEC3C was used as the immunogen for the APOBEC3C antibody.

Storage

After reconstitution, the APOBEC3C antibody can be stored for up to one month at 4oC. For long-term, aliquot and store at -20oC. Avoid repeated freezing and thawing.

Cross
Bulk Quote Request Form
Name*:
Organization*:
Email*:
Phone Number*:
Catalog No.*:
Comments and Specifics(amount, formulation, etc.)*:
Validation code: Captchapackage Image


Can't read the image? click here to refresh.
    *required field

Your bulk quote request has been submitted successfully!

Please contact us if you have any questions.