• Tel: 858.663.9055
  • SeparatorEmail: info@nsjbio.com
  • Tel: 858.663.9055
  • Email: info@nsjbio.com
Home >> Antibodies >> APH1A Antibody / Gamma-secretase subunit APH-1A

APH1A Antibody / Gamma-secretase subunit APH-1A (FY12980)

  Catalog No Formulation Size Price (USD)  
Image FY12980 Adding 0.2 ml of distilled water will yield a concentration of 500 ug/ml 100 ug 449
Bulk quote request
Immunofluorescent staining of APH1A using anti-APH1A antibody (red). APH1A was detected in a paraffin-embedded section of mouse colon tissue. Heat mediated antigen retrieval was performed in EDTA buffer (pH 8.0, epitope retrieval solution). The tissue section was blocked with 10% goat serum. The tissue section was then incubated with 5 ug/ml rabbit anti-APH1A antibody overnight at 4oC. DyLight 550 Conjugated Donkey Anti-Rabbit IgG was used as secondary antibody at 1:500 dilution and incubated for 30 minutes at 37oC. The section was counterstained with DAPI nuclear stain (blue). Visualize using a fluorescence microscope and filter sets appropriate for the label used.
Western blot analysis of APH1A using anti-APH1A antibody. Lane 1: rat brain tissue lysates, Lane 2: mouse brain tissue lysates. After electrophoresis, proteins were transferred to a nitrocellulose membrane at 150 mA for 50-90 minutes. Blocked the membrane with 5% non-fat milk/TBS for 1.5 hour at RT. The membrane was incubated with rabbit anti-APH1A antibody at 0.5 ug/ml overnight at 4oC, then washed with TBS-0.1%Tween 3 times with 5 minutes each and probed with a goat anti-rabbit IgG-HRP secondary antibody at a dilution of 1:5000 for 1.5 hour at RT. The signal was developed using enhanced chemiluminescent. A strong ~29 kDa signal is detected in rat and mouse brain and appears as a doublet, consistent with co-expression of APH1A isoforms and differential glycosylation/phosphorylation of this gamma-secretase subunit.
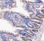
Immunohistochemical staining of APH1A using anti-APH1A antibody. APH1A was detected in a paraffin-embedded section of mouse colon tissue. Heat mediated antigen retrieval was performed in EDTA buffer (pH 8.0, epitope retrieval solution). The tissue section was blocked with 10% goat serum. The tissue section was then incubated with 2 ug/ml rabbit anti-APH1A antibody overnight at 4oC. Peroxidase Conjugated Goat Anti-rabbit IgG was used as secondary antibody and incubated for 30 minutes at 37oC. The tissue section was developed using an HRP secondary and DAB substrate.
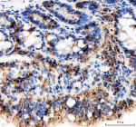
Immunohistochemical staining of APH1A using anti-APH1A antibody. APH1A was detected in a paraffin-embedded section of rat colon tissue. Heat mediated antigen retrieval was performed in EDTA buffer (pH 8.0, epitope retrieval solution). The tissue section was blocked with 10% goat serum. The tissue section was then incubated with 2 ug/ml rabbit anti-APH1A antibody overnight at 4oC. Peroxidase Conjugated Goat Anti-rabbit IgG was used as secondary antibody and incubated for 30 minutes at 37oC. The tissue section was developed using an HRP secondary and DAB substrate.
Flow Cytometry analysis of MCF-7 cells using anti-APH1A antibody. Overlay histogram showing MCF-7 cells stained with (Blue line). To facilitate intracellular staining, cells were fixed with 4% paraformaldehyde and permeabilized with permeabilization buffer. The cells were blocked with 10% normal goat serum. And then incubated with rabbit anti-APH1A antibody (1 ug/million cells) for 30 min at 20oC. DyLight 488 conjugated goat anti-rabbit IgG (5-10 ug/million cells) was used as secondary antibody for 30 minutes at 20oC. Isotype control antibody (Green line) was rabbit IgG (1 ug/million cells) used under the same conditions. Unlabelled sample without incubation with primary antibody and secondary antibody (Red line) was used as a blank control.
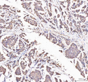
Immunohistochemical staining of APH1A using anti-APH1A antibody. APH1A was detected in a paraffin-embedded section of human breast cancer tissue. Heat mediated antigen retrieval was performed in EDTA buffer (pH 8.0, epitope retrieval solution). The tissue section was blocked with 10% goat serum. The tissue section was then incubated with 2 ug/ml rabbit anti-APH1A antibody overnight at 4oC. Peroxidase Conjugated Goat Anti-rabbit IgG was used as secondary antibody and incubated for 30 minutes at 37oC. The tissue section was developed using an HRP secondary and DAB substrate.
Immunofluorescent staining of APH1A using anti-APH1A antibody (red). APH1A was detected in a paraffin-embedded section of rat colon tissue. Heat mediated antigen retrieval was performed in EDTA buffer (pH 8.0, epitope retrieval solution). The tissue section was blocked with 10% goat serum. The tissue section was then incubated with 5 ug/ml rabbit anti-APH1A antibody overnight at 4oC. DyLight 550 Conjugated Donkey Anti-Rabbit IgG was used as secondary antibody at 1:500 dilution and incubated for 30 minutes at 37oC. The section was counterstained with DAPI nuclear stain (blue). Visualize using a fluorescence microscope and filter sets appropriate for the label used.
Availability 1-2 days
Species Reactivity Human, Mouse, Rat
Format Lyophilized
Host Rabbit
Clonality Polyclonal (rabbit origin)
Isotype Rabbit IgG
Purity Immunogen affinity purified
Buffer Each vial contains 4 mg Trehalose, 0.9 mg NaCl, 0.2 mg Na2HPO4.
UniProt Q96BI3
Localization Cytoplasm (ER, Golgi)
Applications Flow Cytometry : 1-3ug/million cells
Immunofluorescence : 5ug/ml
Immunohistochemistry : 2-5ug/ml
Western Blot : 0.25-0.5ug/ml
Limitations This APH1A antibody is available for research use only.
Review this product on BioCompare and get a $20 Amazon gift card

Related Products

  • Applications : WB, IHC-P, ELISA (peptide)
    Reactivity : Human
    Pred. Reactivity : Mouse, Rat, Dog, Pig, Cow
  • Applications : WB
    Reactivity : Human, Mouse, Rat

Description

APH1A antibody detects Gamma-secretase subunit APH-1A, a multi-pass membrane protein essential for the assembly and activity of the gamma-secretase complex. The UniProt recommended name is Gamma-secretase subunit APH-1A (APH1A), also known as Anterior pharynx-defective 1A homolog. Gamma-secretase is an intramembrane protease complex responsible for cleaving type I transmembrane proteins such as amyloid precursor protein (APP) and Notch, generating signaling fragments involved in development and neurodegeneration.

Functionally, APH1A antibody identifies a 265-amino-acid protein that serves as a structural scaffold for the gamma-secretase complex. APH1A forms stable interactions with Presenilin (PSEN1 or PSEN2), Nicastrin (NCSTN), and PEN2, facilitating proper folding, assembly, and trafficking of the complex. This assembly is required for the intramembrane proteolytic processing of substrates like APP, which produces amyloid-beta peptides linked to Alzheimer's disease pathogenesis. APH1A is also essential for Notch receptor cleavage, influencing cell fate determination and tissue differentiation.

The APH1A gene is located on chromosome 1q21.2 and encodes a protein localized to the endoplasmic reticulum and Golgi apparatus before its incorporation into the mature gamma-secretase complex at the plasma membrane. It contains seven transmembrane helices and conserved motifs necessary for Presenilin binding and enzymatic activity. APH1A is one of two APH1 homologs in humans, the other being APH1B, which participates in distinct gamma-secretase isoforms with varying substrate preferences and tissue expression patterns.

Mutations or dysregulation of APH1A disrupt gamma-secretase assembly and reduce proteolytic activity, leading to defects in Notch signaling and accumulation of unprocessed APP. These abnormalities contribute to neurodevelopmental disorders and neurodegenerative diseases, including Alzheimer's disease. Experimental studies show that selective regulation of APH1A-containing gamma-secretase complexes can modulate amyloid-beta production without affecting Notch cleavage, providing a potential therapeutic strategy.

APH1A antibody is widely used in neurobiology, signal transduction, and protein trafficking research. It is suitable for immunoblotting, immunohistochemistry, and co-immunoprecipitation to examine gamma-secretase composition and function. In Alzheimer's research, APH1A detection helps analyze isoform-specific gamma-secretase activity and its modulation by small molecules or genetic factors.

Structurally, APH1A acts as a transmembrane scaffold stabilizing the Presenilin catalytic core and maintaining the architecture of the protease complex. Its interactions are regulated by lipid environment and post-translational modifications such as glycosylation. NSJ Bioreagents provides APH1A antibody reagents validated for use in gamma-secretase assembly, Alzheimer's disease, and Notch signaling research.

Application Notes

Optimal dilution of the APH1A antibody should be determined by the researcher.

Immunogen

A synthetic peptide corresponding to a sequence at the C-terminus of human APH1A was used as the immunogen for the APH1A antibody.

Storage

After reconstitution, the APH1A antibody can be stored for up to one month at 4oC. For long-term, aliquot and store at -20oC. Avoid repeated freezing and thawing.

Cross
Bulk Quote Request Form
Name*:
Organization*:
Email*:
Phone Number*:
Catalog No.*:
Comments and Specifics(amount, formulation, etc.)*:
Validation code: Captchapackage Image


Can't read the image? click here to refresh.
    *required field

Your bulk quote request has been submitted successfully!

Please contact us if you have any questions.