• Tel: 858.663.9055
  • SeparatorEmail: info@nsjbio.com
  • Tel: 858.663.9055
  • Email: info@nsjbio.com
Home >> Antibodies >> AP2M1 Antibody / AP-2 complex subunit mu

AP2M1 Antibody / AP-2 complex subunit mu (RQ8929)

  Catalog No Formulation Size Price (USD)  
Image RQ8929 0.5mg/ml if reconstituted with 0.2ml sterile DI water 100 ug 449
Bulk quote request
Immunofluorescent staining of FFPE human MCF7 cells with AP2M1 antibody (green) and DAPI nuclear stain (blue). HIER: steam section in pH6 citrate buffer for 20 min.
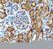
IHC staining of FFPE human kidney tissue with AP2M1 antibody, HRP-secondary and DAB substrate. HIER: boil tissue sections in pH8 EDTA for 20 min and allow to cool before testing.
Western blot testing of 1) human HepG2, 2) human HeLa, 3) human MCF7, 4) human 293T, 5) rat brain, 6) rat C6 and 7) mouse brain tissue lysate with AP2M1 antibody. Predicted molecular weight ~50 kDa.
Flow cytometry testing of fixed human MCF7 cells with AP2M1 antibody at 1ug/million cells (blocked with goat sera); Red=cells alone, Green=isotype control, Blue= AP2M1 antibody.
Availability 1-2 business days
Species Reactivity Human, Mouse, Rat
Format Antigen affinity purified
Host Rabbit
Clonality Polyclonal (rabbit origin)
Isotype Rabbit IgG
Purity Antigen affinity purified
Buffer Lyophilized from 1X PBS with 2% Trehalose
UniProt Q96CW1
Localization Cytoplasm, cell membrane
Applications Western Blot : 1-2ug/ml
Immunohistochemistry (FFPE) : 2-5ug/ml
ELISA : 0.1-0.5ug/ml
Immunofluorescence : 5ug/ml
Flow Cytometry : 1-3ug/million cells
Limitations This AP2M1 antibody is available for research use only.
Review this product on BioCompare and get a $20 Amazon gift card

Related Products

Description

AP2M1 (Adaptor-related protein complex 2 subunit mu 1, AP-2 complex subunit mu) is a critical component of the adaptor protein 2 (AP-2) complex, which is essential for clathrin-mediated endocytosis. This process is responsible for the internalization of receptors, nutrients, and other molecules from the plasma membrane into endocytic vesicles. AP2M1 acts as the medium (mu) subunit of the complex and is directly involved in cargo recognition by binding to specific endocytic motifs on membrane proteins. A AP2M1 antibody is frequently used to study endocytosis, receptor trafficking, and membrane dynamics.

The AP-2 complex consists of two large subunits (alpha and beta), one medium subunit (mu, encoded by AP2M1), and one small subunit (sigma). Together, they coordinate clathrin recruitment and vesicle formation. AP2M1 is particularly important because of its ability to recognize tyrosine-based sorting signals on transmembrane receptors, ensuring selective cargo uptake. Employing a AP2M1 antibody allows researchers to examine receptor internalization, vesicle trafficking, and signal transduction.

Alterations in AP2M1 function have been implicated in neurological disorders and developmental abnormalities, as proper endocytic trafficking is vital for synaptic vesicle recycling and neuronal signaling. Dysregulation of AP2M1-mediated pathways may also contribute to cancer progression, viral entry, and other disease processes. Using a AP2M1 antibody provides valuable insights into these mechanisms and helps researchers explore therapeutic strategies targeting endocytic pathways.

NSJ Bioreagents provides a high-quality AP2M1 antibody validated for applications such as western blot, immunohistochemistry, and immunofluorescence. Choosing an AP2M1 antibody from NSJ Bioreagents ensures reproducible results and reliable detection in studies of endocytosis, receptor trafficking, and cellular signaling.

Application Notes

Optimal dilution of the AP2M1 antibody should be determined by the researcher.

Immunogen

Amino acids N9-C435 from the human protein were used as the immunogen for the AP2M1 antibody.

Storage

After reconstitution, the AP2M1 antibody can be stored for up to one month at 4oC. For long-term, aliquot and store at -20oC. Avoid repeated freezing and thawing.

Cross
Bulk Quote Request Form
Name*:
Organization*:
Email*:
Phone Number*:
Catalog No.*:
Comments and Specifics(amount, formulation, etc.)*:
Validation code: Captchapackage Image


Can't read the image? click here to refresh.
    *required field

Your bulk quote request has been submitted successfully!

Please contact us if you have any questions.