• Tel: 858.663.9055
  • SeparatorEmail: info@nsjbio.com
  • Tel: 858.663.9055
  • Email: info@nsjbio.com
Home >> Antibodies >> Vimentin Antibody / Intracellular Transport Marker Antibody

Vimentin Antibody / Intracellular Transport Marker Antibody [clone VM1170] (V2928)

  Catalog No Formulation Size Price (USD)  
Image V2928-100UG 0.2 mg/ml in 1X PBS with 0.1 mg/ml BSA (US sourced) and 0.05% sodium azide 100 ug 559
Image
V2928-20UG 0.2 mg/ml in 1X PBS with 0.1 mg/ml BSA (US sourced) and 0.05% sodium azide 20 ug 259
Image
V2928SAF-100UG 1 mg/ml in 1X PBS; BSA free, sodium azide free 100 ug 559
Image
V2928IHC-7ML Prediluted in 1X PBS with 0.1 mg/ml BSA (US sourced) and 0.05% sodium azide; *For IHC use only* 7 ml 559
Bulk quote request
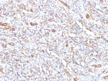
Vimentin Antibody / Intracellular Transport Marker Antibody. Immunohistochemistry analysis of FFPE human melanoma tissue using Vimentin antibody shows strong HRP-DAB brown cytoplasmic staining in tumor-associated stromal cells and spindle-shaped mesenchymal populations, with variable staining in melanoma cells. The mouse monoclonal clone VM1170 highlights filamentous cytoplasmic networks distributed around the nucleus and extending throughout the cytoplasm, consistent with cytoskeletal organization involved in organelle positioning. The distribution of Vimentin-positive cells and subcellular pattern supports its role in intracellular organization and transport-associated cytoskeletal structure.
Vimentin Antibody. Immunohistochemistry analysis of formalin-fixed, paraffin-embedded human angiosarcoma stained with anti-Vimentin antibody (clone VM1170).
Vimentin Antibody. Immunohistochemistry analysis of formalin-fixed, paraffin-embedded human Ewing's sarcoma stained with anti-Vimentin antibody (clone VM1170).
Vimentin Antibody. Immunohistochemistry analysis of formalin-fixed, paraffin-embedded human Leiomyosarcoma stained with anti-Vimentin antibody (clone VM1170).
Vimentin Antibody / Intracellular Transport Marker Antibody. Immunohistochemistry analysis of FFPE human rhabdomyosarcoma tissue using Vimentin antibody shows moderate to strong HRP-DAB brown cytoplasmic staining in tumor cells with spindle-shaped and pleomorphic morphology. The mouse monoclonal clone VM1170 highlights filamentous cytoplasmic structures distributed around the nucleus and extending through the cytoplasm, consistent with cytoskeletal organization associated with organelle positioning. The subcellular staining pattern supports the role of Vimentin in intracellular organization and transport-related cytoskeletal structure in tumor cells.
Vimentin Antibody. Immunohistochemistry analysis of formalin-fixed, paraffin-embedded human uterus stained with anti-Vimentin antibody (clone VM1170).
Western blot testing of human HepG2 cell lysate with anti-Vimentin antibody. Predicted molecular weight ~58 kDa.
Availability 1-3 business days
Species Reactivity Human
Format Purified
Host Mouse
Clonality Monoclonal (mouse origin)
Isotype Mouse IgG1, kappa
Clone Name VM1170
Purity Protein G affinity chromatography
UniProt P08670
Localization Cytoplasmic
Applications Western Blot : 1-2ug/ml
Immunohistochemistry (FFPE) : 1-2ug/ml for 30 min at RT
Limitations This anti-Vimentin antibody is available for research use only.
Review this product on BioCompare and get a $20 Amazon gift card

Related Products

  • Applications : WB, IHC
    Reactivity : Human
    Recrabbitmono
  • Applications : FACS, WB, IHC-P
    Reactivity : Human
    Microvalidated
  • Applications : FACS
    Reactivity : Human
    Microvalidated
  • Applications : WB, IHC-P, IF
    Reactivity : Human, Rabbit, Pig, Rat
  • Applications : IHC-P
    Reactivity : Human, Mouse, Rat
    Citation  Citations(11)
  • Applications : WB, IHC-P
    Reactivity : Human
  • Applications : WB, IHC-P
    Reactivity : Human
  • Applications : WB, ICC/IF, IP
    Reactivity : Human
  • Applications : IHC-P, WB, IF
    Reactivity : Human
    Rab Mono Image
  • Applications : WB, IHC-P
    Reactivity : Human
  • Applications : WB, IHC-P, IF
    Reactivity : Human, Mouse, Rat
  • Applications : IF, WB, IHC, ELISA
    Reactivity : Human, Mouse
    Pred. Reactivity : Rat, Bovine, Primate, Hamster
  • Applications : IF, WB, IHC, FACS, ELISA
    Reactivity : Human
    Pred. Reactivity : Mouse, Rat, Bovine, Pig, Primate, Chicken, Hamster, Xenopus
  • Applications : WB, IHC, FACS, ELISA
    Reactivity : Human
    Pred. Reactivity : Mouse, Rat, Bovine, Pig, Hamster
  • Applications : IF, WB, IHC, FACS, ELISA
    Reactivity : Human
  • Applications : WB, ELISA (peptide)
    Reactivity : Human, Mouse, Rat
    Pred. Reactivity : Dog, Pig, Cow

Description

Vimentin (VIM) is a type III intermediate filament protein that plays an important role in intracellular transport and organelle positioning within the cytoplasm. Vimentin Antibody / Intracellular Transport Marker Antibody is specifically positioned for studying cytoskeletal contributions to intracellular organization and trafficking processes. This Vimentin Antibody is uniquely positioned for analyzing organelle positioning and cytoskeleton-mediated transport dynamics in mesenchymal and metabolically active cells. Vimentin is also referred to as Vimentin antibody and VIM antibody in the literature.

Vimentin forms a structural network that supports the spatial organization of organelles such as mitochondria, endosomes, and the nucleus. The Vimentin Antibody / Intracellular Transport Marker Antibody enables investigation of how cytoskeletal structures influence intracellular distribution and transport pathways.

Vimentin interacts with microtubules and motor proteins to coordinate transport processes, ensuring proper localization of organelles and intracellular components. Its expression is associated with cells that require efficient trafficking and spatial organization for normal function.

Functionally, Vimentin supports cytoskeletal architecture that facilitates intracellular communication and transport. The Vimentin Antibody / Intracellular Transport Marker Antibody differentiator is central to this antibody, positioning it for studies focused on intracellular organization rather than adhesion, migration, or EMT biology. A Vimentin Antibody provides a reliable tool for analyzing cytoskeletal involvement in intracellular transport and organelle positioning.

Application Notes

Optimal dilution of the Vimentin Antibody / Intracellular Transport Marker Antibody should be determined by the researcher.

1. Staining of formalin-fixed tissues requires boiling tissue sections in pH 9 10mM Tris with 1mM EDTA for 10-20 min followed by cooling at RT for 20 min.
2. The prediluted format is supplied in a dropper bottle and is optimized for use in IHC. After epitope retrieval step (if required), drip mAb solution onto the tissue section and incubate at RT for 30 min.

Immunogen

Recombinant full-length human protein was used as the immunogen for the Vimentin Antibody / Intracellular Transport Marker Antibody.

Storage

Store the anti-Vimentin antibody at 2-8oC (with azide) or aliquot and store at -20oC or colder (without azide).

Alternate Names

Vimentin antibody, VIM antibody, intermediate filament protein antibody, intracellular transport marker antibody, organelle positioning marker antibody, cytoskeletal transport marker antibody

Cross
Bulk Quote Request Form
Name*:
Organization*:
Email*:
Phone Number*:
Catalog No.*:
Comments and Specifics(amount, formulation, etc.)*:
Validation code: Captchapackage Image


Can't read the image? click here to refresh.
    *required field

Your bulk quote request has been submitted successfully!

Please contact us if you have any questions.