- Tel: 858.663.9055
- 
									 Email: info@nsjbio.com Email: info@nsjbio.com
- Tel: 858.663.9055
- Email: info@nsjbio.com
 Email: info@nsjbio.com
Email: info@nsjbio.com
								Related Products
| 
 | 
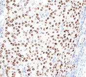
This mAb is specific to progesterone receptor and shows minimal cross-reaction with other members of the family. Progesterone receptor is expressed as two major isoforms, PR-A (81kDa) and PR-B (116kDa). Expression of PgR has been suggested to reflect a intact estrogen regulatory machinery and therefore, predict better clinical response to endocrine therapy than ER alone.
The optimal dilution of the anti-Progesterone Receptor antibody for each application should be determined by the researcher.
1. Staining of formalin-fixed tissues requires boiling tissue sections in pH 9 10mM Tris with 1mM EDTA for 10-20 min followed by cooling at RT for 20 minutes.
2. The prediluted format is supplied in a dropper bottle and is optimized for use in IHC. After epitope retrieval step (if required), drip mAb solution onto the tissue section and incubate at RT for 30 min.
Recombinant human protein was used as the immunogen for this anti-Progesterone Receptor antibody.
Store the anti-Progesterone Receptor antibody at 2-8oC (with azide) or aliquot and store at -20oC or colder (without azide).
 
Your bulk quote request has been submitted successfully!
Please contact us if you have any questions.