• Tel: 858.663.9055
  • SeparatorEmail: info@nsjbio.com
  • Tel: 858.663.9055
  • Email: info@nsjbio.com
Home >> Antibodies >> Anti-Mitochondria Antibody

Anti-Mitochondria Antibody [clone SPM198] (V3079)

  Catalog No Formulation Size Price (USD)  
Image V3079-100UG 0.2 mg/ml in 1X PBS with 0.1 mg/ml BSA (US sourced) and 0.05% sodium azide 100 ug 559
Image
V3079-20UG 0.2 mg/ml in 1X PBS with 0.1 mg/ml BSA (US sourced) and 0.05% sodium azide 20 ug 259
Image
V3079SAF-100UG 1 mg/ml in 1X PBS; BSA free, sodium azide free 100 ug 559
Image
V3079IHC-7ML Prediluted in 1X PBS with 0.1 mg/ml BSA (US sourced) and 0.05% sodium azide; *For IHC use only* 7 ml 559
Bulk quote request
Formalin-fixed, paraffin-embedded human pancreas stained with anti-Mitochondria antibody (SPM198).
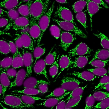
Immunofluorescent staining of fixed human HeLa cells with anti-Mitochondria antibody (clone SPM198, green) and Reddot nuclear stain.
Western blot testing of human HeLa cell lysate with anti-Mitochondria antibody (clone SPM198). Expected molecular weight ~60 kDa.
Availability 1-3 business days
Species Reactivity Human
Format Purified
Host Mouse
Clonality Monoclonal (mouse origin)
Isotype Mouse IgG1, kappa
Clone Name SPM198
Purity Protein G affinity chromatography
Localization Cytoplasmic (Mitochondria)
Applications Immunofluorescence : 1-2ug/ml
Western Blot : 1-2ug/ml
Immunohistochemistry (FFPE) : 1-2ug/ml for 30 min at RT
Limitations This anti-Mitochondria antibody is available for research use only.
Review this product on BioCompare and get a $20 Amazon gift card

Related Products

Description

Anti-Mitochondria antibody (clone SPM198) detects mitochondrial proteins that define the organelle network responsible for aerobic energy production, metabolic integration, and redox balance. Mitochondria occupy a central role in converting nutrients into ATP through oxidative phosphorylation and in maintaining the metabolic flexibility that allows cells to adapt to environmental or developmental cues. The protein recognized by clone SPM198 is a component of mitochondrial membranes, providing a consistent signal for identifying organelle distribution and morphology under a range of experimental conditions.

Mitochondria are dynamic structures that undergo continual remodeling. Fission generates smaller units that can be transported or degraded, while fusion preserves continuity and function. These opposing processes ensure proper mitochondrial quality control and energy efficiency. Structural changes in the mitochondrial network are closely tied to cellular metabolic state, and immunolabeling provides a practical method for assessing these transitions. The balance of mitochondrial form and function is vital to the cell’s ability to manage oxidative stress and regulate apoptotic signaling.

In addition to energy metabolism, mitochondria participate in biosynthetic reactions and serve as signaling hubs for calcium and reactive oxygen species. Their location within the cytoplasm influences interactions with the endoplasmic reticulum, peroxisomes, and cytoskeletal elements. Monitoring mitochondrial distribution through specific labeling helps link subcellular organization to metabolic output. Clone SPM198 provides clear, reproducible staining patterns suitable for mapping mitochondrial abundance, fragmentation, or elongation as part of experiments investigating cell adaptation, metabolic load, or differentiation.

An antibody directed against mitochondrial proteins can be used in immunohistochemistry, western blot, or other research assays that analyze organelle localization and integrity. This type of reagent supports broad applications in experimental biology, offering researchers a way to visualize mitochondrial responses without implying restriction to a particular species or assay format. Through careful analysis of structure and context, investigators can use clone SPM198 to explore the relationship between mitochondrial architecture and cellular homeostasis.

NSJ Bioreagents provides Anti-Mitochondria antibody (clone SPM198) validated for use in relevant research applications supporting studies in mitochondrial function, cellular bioenergetics, and organelle morphology.

Application Notes

Optimal dilution of the anti-Mitochondria antibody should be determined by the researcher.

1. Staining of formalin-fixed tissues requires boiling tissue sections in 10mM Tris with 1mM EDTA, pH 9, for 10-20 min followed by cooling at RT for 20 min.
2. The prediluted format is supplied in a dropper bottle and is optimized for use in IHC. After epitope retrieval step (if required), drip mAb solution onto the tissue section and incubate at RT for 30 min.

Immunogen

A semi-purified mitochondrial preparation was used as the immunogen for the anti-Mitochondria antibody.

Storage

Store the anti-Mitochondria antibody at 2-8oC (with azide) or aliquot and store at -20oC or colder (without azide).

Cross
Bulk Quote Request Form
Name*:
Organization*:
Email*:
Phone Number*:
Catalog No.*:
Comments and Specifics(amount, formulation, etc.)*:
Validation code: Captchapackage Image


Can't read the image? click here to refresh.
    *required field

Your bulk quote request has been submitted successfully!

Please contact us if you have any questions.