• Tel: 858.663.9055
  • SeparatorEmail: info@nsjbio.com
  • Tel: 858.663.9055
  • Email: info@nsjbio.com
Home >> Antibodies >> Angiotensinogen Antibody / AGT

Angiotensinogen Antibody / AGT (R30727)

  Catalog No Formulation Size Price (USD)  
Image R30727 0.5mg/ml if reconstituted with 0.2ml sterile DI water 100 ug 449
Bulk quote request
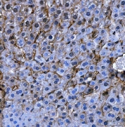
IHC staining of FFPE mouse liver tissue with Angiotensinogen antibody. HIER: boil tissue sections in pH8 EDTA for 20 min and allow to cool before testing.
Western blot testing of two lots of mouse liver lysate with Angiotensinogen antibody. Predicted molecular weight ~56 kDa.
Availability 1-3 business days
Species Reactivity Mouse
Format Purified
Host Rabbit
Clonality Polyclonal (rabbit origin)
Isotype Rabbit IgG
Purity Antigen affinity
Buffer Lyophilized from 1X PBS with 2% Trehalose
UniProt P11859
Applications Western Blot : 0.5-1ug/ml
Immunohistochemistry (FFPE) : 2-5ug/ml
Limitations This Angiotensinogen antibody is available for research use only.
Review this product on BioCompare and get a $20 Amazon gift card

Related Products

Description

AGT (Angiotensinogen), also called SERPINA8, is an alpha-2-globulin that is produced constitutively and released into the circulation mainly by the liver. ATG is a member of the serpin family, although it is not known to inhibit other enzymes, unlike most serpins. The AGT gene is mapped on 1q42.2, and the human gene contains 5 exons. The expression of AGT and enzymes required for its conversion to angiotensin II in human adipose tissue. Western blot analysis showed a distinct band of expected size of the angiotensinogen protein(61 kD) in isolated adipocytes. The more pronounced AGT increase in TT subjects resulted in similar plasma renin activity at a lower plasma active renin concentration, with a higher plasma renin activity/active renin ratio.

Application Notes

The stated application concentrations are suggested starting amounts. Titration of the Angiotensinogen antibody may be required due to differences in protocols and secondary/substrate sensitivity.

Immunogen

An amino acid sequence from the N-terminus of mouse Angiotensinogen (DRVYIHPFHLLY) was used as the immunogen for this Angiotensinogen antibody.

Storage

After reconstitution, the Angiotensinogen antibody can be stored for up to one month at 4oC. For long-term, aliquot and store at -20oC. Avoid repeated freezing and thawing.

Cross
Bulk Quote Request Form
Name*:
Organization*:
Email*:
Phone Number*:
Catalog No.*:
Comments and Specifics(amount, formulation, etc.)*:
Validation code: Captchapackage Image


Can't read the image? click here to refresh.
    *required field

Your bulk quote request has been submitted successfully!

Please contact us if you have any questions.