• Tel: 858.663.9055
  • SeparatorEmail: info@nsjbio.com
  • Tel: 858.663.9055
  • Email: info@nsjbio.com
Home >> Antibodies >> Angiopoietin Receptor Antibody | TIE2

Angiopoietin Receptor Antibody | TIE2 [clone TEK/9412] (V6010)

  Catalog No Formulation Size Price (USD)  
Image V6010-100UG 0.2 mg/ml in 1X PBS with 0.05% BSA, 0.05% sodium azide 100 ug 559
Image
V6010-20UG 0.2 mg/ml in 1X PBS with 0.05% BSA, 0.05% sodium azide 20 ug 259
Image
V6010SAF-100UG 1 mg/ml in 1X PBS; BSA free, sodium azide free 100 ug 559
Bulk quote request
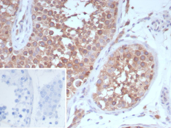
Immunohistochemistry analysis of Angiopoietin Receptor / TIE2 antibody in human testis tissue (clone TEK/9412). FFPE human testis sections demonstrate HRP-DAB brown cytoplasmic and membranous staining within cells of the seminiferous tubules, with additional signal highlighting vascular endothelial cells in the interstitial spaces. The staining pattern is consistent with TEK receptor tyrosine kinase localization, showing membranous accentuation and diffuse cytoplasmic positivity in endothelial-associated structures. The inset shows PBS used in place of primary antibody as a secondary antibody negative control, confirming absence of specific brown chromogenic signal. Heat induced epitope retrieval was performed in 10 mM Tris with 1 mM EDTA, pH 9.0, by heating tissue sections at 95oC for 45 minutes followed by cooling at room temperature for 20 minutes prior to antibody incubation.
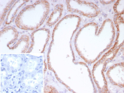
Immunohistochemistry analysis of Angiopoietin Receptor / TIE2 antibody in human renal cell carcinoma tissue (clone TEK/9412). FFPE human renal cell carcinoma sections show HRP-DAB brown membranous staining outlining tumor-associated vascular endothelial cells, with focal cytoplasmic signal in adjacent epithelial structures. The staining pattern highlights microvascular components within the tumor stroma, consistent with TEK receptor tyrosine kinase localization. Tumor epithelial cells display weaker and more variable staining compared to endothelial elements. The inset shows PBS used in place of primary antibody as a secondary antibody negative control, confirming absence of specific brown chromogenic signal. Heat induced epitope retrieval was performed in 10 mM Tris with 1 mM EDTA, pH 9.0, by heating tissue sections at 95oC for 45 minutes followed by cooling at room temperature for 20 minutes prior to antibody incubation.
Western blot analysis of Angiopoietin Receptor / TIE2 antibody in human spleen lysate (clone TEK/9412). A distinct immunoreactive band is detected at approximately 140-145 kDa, consistent with the predicted molecular weight of TEK receptor tyrosine kinase. The band appears as a single prominent species without significant non-specific background under the conditions tested. TEK is known to undergo glycosylation, which may contribute to slight migration variability on SDS-PAGE. Molecular weight markers are shown at left.
Species Reactivity Human
Format Purified
Host Mouse
Clonality Monoclonal (mouse origin)
Isotype Mouse IgG1, kappa
Clone Name TEK/9412
UniProt Q02763
Localization Cell membrane, Cytoplasm, Secreted
Applications Immunohistochemistry (FFPE) : 1-2ug/ml
Limitations This Angiopoietin Receptor/TIE2 antibody is available for research use only.
Review this product on BioCompare and get a $20 Amazon gift card

Related Products

  • Applications : IHC
    Reactivity : Human
  • Applications : WB
    Reactivity : Human
  • Applications : IHC, WB, ELISA
    Reactivity : Human
    Pred. Reactivity : Bovine
  • Applications : WB, IHC-P
    Reactivity : Human, Mouse, Rat
  • Applications : WB, IHC-P, IF, FACS, Direct ELISA
    Reactivity : Human, Mouse, Rat

Description

Angiopoietin Receptor antibody, also known as TIE2 antibody, recognizes a receptor tyrosine kinase encoded by the TEK gene. This protein is commonly referred to as TIE2, TEK receptor tyrosine kinase, CD202b, and Tunica interna endothelial cell kinase in the literature. TIE2 is a transmembrane receptor primarily expressed in vascular endothelial cells, where it regulates angiogenesis, vascular remodeling, and endothelial cell survival.

TIE2 belongs to the receptor tyrosine kinase family and contains extracellular immunoglobulin-like domains, epidermal growth factor-like repeats, fibronectin type III domains, a single transmembrane region, and an intracellular tyrosine kinase domain. Binding of its ligands, Angiopoietin-1 and Angiopoietin-2, induces receptor dimerization and autophosphorylation, leading to activation of downstream pathways including PI3K-AKT and MAPK signaling. These cascades promote endothelial quiescence, vessel maturation, and maintenance of vascular integrity.

During embryogenesis, TIE2 signaling is essential for vascular network formation and stabilization. In adult tissues, it maintains endothelial barrier function and regulates vascular permeability. Dysregulated Angiopoietin-TIE2 signaling contributes to tumor angiogenesis, inflammatory disorders, diabetic retinopathy, and vascular malformations. Activating mutations in the TEK gene have been linked to inherited venous malformations, emphasizing the receptor’s importance in vascular biology.

TIE2 is predominantly localized to the plasma membrane of endothelial cells, with activated receptor complexes undergoing internalization and cytoplasmic signaling. Because of its endothelial-restricted expression profile, Angiopoietin Receptor antibody is widely used in research applications to evaluate vascular structures and angiogenic signaling pathways. An Angiopoietin Receptor antibody can be used to detect TIE2 expression in endothelial biology and tumor angiogenesis research.

Application Notes

Optimal dilution of the Angiopoietin Receptor/TIE2 antibody should be determined by the researcher.

Immunogen

A recombinant fragment (around amino acids 700-1000) of human TEK protein (exact sequence is proprietary) was used as the immunogen for the Angiopoietin Receptor/TIE2 antibody.

Storage

Angiopoietin Receptor/TIE2 antibody with sodium azide - store at 2 to 8oC; antibody without sodium azide - store at -20 to -80oC.

Cross
Bulk Quote Request Form
Name*:
Organization*:
Email*:
Phone Number*:
Catalog No.*:
Comments and Specifics(amount, formulation, etc.)*:
Validation code: Captchapackage Image


Can't read the image? click here to refresh.
    *required field

Your bulk quote request has been submitted successfully!

Please contact us if you have any questions.