• Tel: 858.663.9055
  • SeparatorEmail: info@nsjbio.com
  • Tel: 858.663.9055
  • Email: info@nsjbio.com
Home >> Antibodies >> ANG2 Antibody / Angiopoietin 2 / ANGPT2

ANG2 Antibody / Angiopoietin 2 / ANGPT2 (R30139)

  Catalog No Formulation Size Price (USD)  
Image R30139 0.5mg/ml if reconstituted with 0.2ml sterile DI water 100 ug 449
Bulk quote request
Immunohistochemical staining of FFPE human rectal cancer tissue with ANG2 antibody, HRP-secondary and DAB substrate. HIER: boil tissue sections in pH8 EDTA for 20 min and allow to cool before testing.
Immunohistochemical staining of FFPE human testis cancer tissue with ANG2 antibody, HRP-secondary and DAB substrate. HIER: boil tissue sections in pH8 EDTA for 20 min and allow to cool before testing.
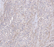
Immunohistochemical staining of FFPE human glioma tissue with ANG2 antibody, HRP-secondary and DAB substrate. HIER: boil tissue sections in pH8 EDTA for 20 min and allow to cool before testing.
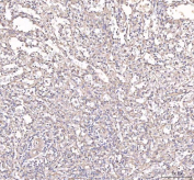
Immunohistochemical staining of FFPE human bladder cancer tissue with ANG2 antibody, HRP-secondary and DAB substrate. HIER: boil tissue sections in pH8 EDTA for 20 min and allow to cool before testing.
Immunohistochemical staining of FFPE human adrenal adenoma tissue with ANG2 antibody, HRP-secondary and DAB substrate. HIER: boil tissue sections in pH8 EDTA for 20 min and allow to cool before testing.
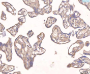
Immunohistochemical staining of FFPE human placental tissue with ANG2 antibody, HRP-secondary and DAB substrate. HIER: boil tissue sections in pH8 EDTA for 20 min and allow to cool before testing.
Availability 1-3 business days
Species Reactivity Human
Format Antigen affinity purified
Host Rabbit
Clonality Polyclonal (rabbit origin)
Isotype Rabbit IgG
Purity Antigen affinity
Buffer Lyophilized from 1X PBS with 2.5% BSA and 0.025% sodium azide
UniProt O15123
Applications Immunohistochemistry (FFPE) : 2-5ug/ml
Limitations This ANG2 antibody is available for research use only.
Review this product on BioCompare and get a $20 Amazon gift card

Related Products

Description

ANG2 antibody recognizes Angiopoietin 2, a secreted glycoprotein encoded by the ANGPT2 gene on chromosome 8p23.1. Angiopoietin 2 is a key regulator of vascular remodeling, endothelial activation, and inflammation. It functions as a context-dependent ligand for the TEK/Tie2 receptor and is highly expressed in endothelial cells of blood vessels undergoing dynamic remodeling. ANG2 is stored in Weibel-Palade bodies and released in response to inflammatory, hypoxic, or angiogenic stimuli. Its regulated secretion allows precise control of vascular permeability, vessel destabilization, and the balance between vascular quiescence and sprouting. Elevated ANG2 levels are common in tissues exposed to injury, infection, or tumor-driven angiogenic signals.

Angiopoietin 2 acts primarily as a competitive antagonist of Angiopoietin 1 at the Tie2 receptor, disrupting Tie2-mediated stabilization of endothelial junctions. This promotes vessel destabilization and primes the endothelium to respond to VEGF and other angiogenic cues. Under certain conditions, however, ANG2 can function as an agonist depending on cellular context, receptor density, and inflammatory state. Through these dual roles, ANG2 participates in pathways involving vascular permeability, endothelial migration, lymphatic remodeling, and tissue inflammation. In addition to its endothelial functions, ANG2 influences innate immune responses by regulating leukocyte recruitment, adhesion molecule expression, and crosstalk with macrophages and dendritic cells.

ANG2 expression is dynamically regulated throughout development. During embryogenesis, it contributes to vascular branching, vessel regression, and lymphatic system formation. In adult tissues, ANG2 is upregulated in environments requiring rapid vascular remodeling such as wound healing, tissue repair, and inflammatory microenvironments. Hypoxia, cytokines, and shear stress strongly influence ANG2 transcription and secretion profiles. Isoform variation arises through alternative splicing, which may affect secretion efficiency and receptor interactions.

Dysregulated ANG2 expression has been implicated in numerous disease processes. High ANG2 levels correlate with vascular leak, edema, and endothelial dysfunction in conditions such as sepsis, acute lung injury, chronic inflammatory disease, and diabetic microvascular complications. In cancer biology, ANG2 promotes tumor angiogenesis, supports metastatic niche formation, and fosters an immunosuppressive microenvironment. Increased circulating ANG2 has also been associated with cardiovascular disease, pulmonary hypertension, and organ transplant rejection. Because of its central role in vascular biology, ANG2 is a major focus of therapeutic development aimed at stabilizing the endothelium or modulating angiogenesis.

This ANG2 antibody is suitable for detecting Angiopoietin 2 expression in research focused on vascular biology, angiogenesis, endothelial activation, inflammation, tumor microenvironment dynamics, and developmental vascular remodeling. It supports studies investigating Tie2 signaling, vascular permeability, lymphatic development, and disease models involving endothelial dysfunction. NSJ Bioreagents provides this antibody within its angiogenesis and vascular signaling research collection.

Application Notes

The stated application concentrations are suggested starting amounts. Titration of the ANG2 antibody may be required due to differences in protocols and secondary/substrate sensitivity.

Immunogen

Human partial recombinant protein (AA 19-348) was used as the immunogen for this ANG2 antibody.

Storage

After reconstitution, the ANG2 antibody can be stored for up to one month at 4oC. For long-term, aliquot and store at -20oC. Avoid repeated freezing and thawing.

Cross
Bulk Quote Request Form
Name*:
Organization*:
Email*:
Phone Number*:
Catalog No.*:
Comments and Specifics(amount, formulation, etc.)*:
Validation code: Captchapackage Image


Can't read the image? click here to refresh.
    *required field

Your bulk quote request has been submitted successfully!

Please contact us if you have any questions.