• Tel: 858.663.9055
  • SeparatorEmail: info@nsjbio.com
  • Tel: 858.663.9055
  • Email: info@nsjbio.com
Home >> Antibodies >> Androgen Receptor Antibody

Androgen Receptor Antibody [clone CDF-1] (RQ5318)

  Catalog No Formulation Size Price (USD)  
Image RQ5318 Antibody in PBS with 0.02% sodium azide, 50% glycerol and 0.4-0.5mg/ml BSA 100 ul 449
Microvalidated Rab Mono Image
Bulk quote request
IHC staining of FFPE human prostate tissue with Androgen Receptor antibody. HIER: boil tissue sections in pH6, 10mM citrate buffer, for 10-20 min and allow to cool before testing.
Western blot testing of human LNCaP cell lysate with Androgen Receptor antibody. Predicted molecular weight ~99 kDa.
Western blot testing of human 1) A375 and 2) MCF7 cell lysate with Androgen Receptor antibody. Predicted molecular weight ~99 kDa.
Western blot testing of mouse skin tissue lysate with Androgen Receptor antibody. Predicted molecular weight ~99 kDa.
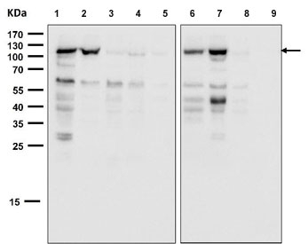
Western blot testing of 1) mouse testis, 2) mouse penis, 3) mouse uterus, 4) mouse ovary, 5) mouse bladder, 6) rat testis, 7) rat penis, 8) rat uterus and 9) rat ovary tissue lysate with Androgen Receptor antibody. Predicted molecular weight ~99 kDa.
Immunofluorescent staining of FFPE human MCF7 cells with Androgen Receptor antibody (green) and DAPI nuclear stain (blue). HIER: steam section in pH6 citrate buffer for 20 min.
Immunofluorescent staining of FFPE human LNCaP cells with Androgen Receptor antibody (1:500, green) and DAPI nuclear stain (blue). HIER: steam section in pH6 citrate buffer for 20 min.
Availability 1-2 weeks
Species Reactivity Human, Mouse, Rat
Format Purified
Host Rabbit
Clonality Rabbit Monoclonal
Isotype Rabbit IgG
Clone Name CDF-1
Purity Affinity purified
UniProt P10275
Localization Cytoplasmic, nuclear
Applications Western Blot : 1:500-1:2000
Immunohistochemistry (FFPE) : 1:50-1:200
Immunofluorescence : 1:50-1:200
Limitations This Androgen Receptor antibody is available for research use only.
Review this product on BioCompare and get a $20 Amazon gift card

Related Products

Description

The androgen receptor gene is more than 90 kb long and codes for a protein that has 3 major functional domains: the N-terminal domain, DNA-binding domain, and androgen-binding domain. The protein functions as a steroid-hormone activated transcription factor. Upon binding the hormone ligand, the receptor dissociates from accessory proteins, translocates into the nucleus, dimerizes, and then stimulates transcription of androgen responsive genes. This gene contains 2 polymorphic trinucleotide repeat segments that encode polyglutamine and polyglycine tracts in the N-terminal transactivation domain of its protein. Expansion of the polyglutamine tract from the normal 9-34 repeats to the pathogenic 38-62 repeats causes spinal bulbar muscular atrophy (SBMA, also known as Kennedy's disease). Mutations in this gene are also associated with complete androgen insensitivity (CAIS). Alternative splicing results in multiple transcript variants encoding different isoforms. [RefSeq]

Application Notes

Optimal dilution of the Androgen Receptor antibody should be determined by the researcher.

Immunogen

A synthetic peptide specific to human Androgen Receptor was used as the immunogen for the Androgen Receptor antibody.

Storage

Store the Androgen Receptor antibody at -20oC.

Cross
Bulk Quote Request Form
Name*:
Organization*:
Email*:
Phone Number*:
Catalog No.*:
Comments and Specifics(amount, formulation, etc.)*:
Validation code: Captchapackage Image


Can't read the image? click here to refresh.
    *required field

Your bulk quote request has been submitted successfully!

Please contact us if you have any questions.