• Tel: 858.663.9055
  • SeparatorEmail: info@nsjbio.com
  • Tel: 858.663.9055
  • Email: info@nsjbio.com
Home >> Antibodies >> Amyloid-like protein 2 Antibody / APLP2

Amyloid-like protein 2 Antibody / APLP2 (RQ8533)

  Catalog No Formulation Size Price (USD)  
Image RQ8533 0.5mg/ml if reconstituted with 0.2ml sterile DI water 100 ug 449
Bulk quote request
IHC staining of FFPE human liver cancer tissue with Amyloid-like protein 2 antibody. HIER: boil tissue sections in pH8 EDTA for 20 min and allow to cool before testing.
IHC staining of FFPE human lung cancer tissue with Amyloid-like protein 2 antibody. HIER: boil tissue sections in pH8 EDTA for 20 min and allow to cool before testing.
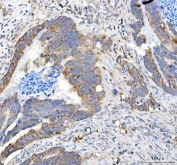
IHC staining of FFPE human colorectal adenocarcinoma tissue with Amyloid-like protein 2 antibody. HIER: boil tissue sections in pH8 EDTA for 20 min and allow to cool before testing.
IHC staining of FFPE human testicular germ cell tumor tissue with Amyloid-like protein 2 antibody. HIER: boil tissue sections in pH8 EDTA for 20 min and allow to cool before testing.
IHC staining of FFPE mouse brain tissue with Amyloid-like protein 2 antibody. HIER: boil tissue sections in pH8 EDTA for 20 min and allow to cool before testing.
IHC staining of FFPE rat brain tissue with Amyloid-like protein 2 antibody. HIER: boil tissue sections in pH8 EDTA for 20 min and allow to cool before testing.
Immunofluorescent staining of FFPE human HeLa cells with Amyloid-like protein 2 antibody (red) and DAPI nuclear stain (blue). HIER: steam section in pH6 citrate buffer for 20 min.
Western blot testing of 1) human SH-SY5Y, 2) human HepG2, 3) human HeLa, 4) rat brain and 5) mouse brain tissue lysate with Amyloid-like protein 2 antibody. Predicted molecular weight ~87 kDa, the glycosylated full length and truncated form can be observed at ~120 kDa and ~95 kDa, the CS-GAG modified form can be observed at 130-170 kDa and homodimers and heterodimers may be observed at over 200 kDa.
Flow cytometry testing of fixed and permeabilized human HepG2 cells with Amyloid-like protein 2 antibody at 1ug/million cells (blocked with goat sera); Red=cells alone, Green=isotype control, Blue= Amyloid-like protein 2 antibody.
Availability 1-3 days
Species Reactivity Human, Mouse, Rat
Format Antigen affinity purified
Host Rabbit
Clonality Polyclonal (rabbit origin)
Isotype Rabbit IgG
Purity Antigen affinity purified
Buffer Lyophilized from 1X PBS with 2% Trehalose
UniProt Q06481
Localization Cytoplasm
Applications Western Blot : 0.5-1ug/ml
Immunohistochemistry (FFPE) : 2-5ug/ml
Immunofluorescence : 5ug/ml
Flow Cytometry : 1-3ug/million cells
ELISA : 0.1-0.5ug/ml
Limitations This Amyloid-like protein 2 antibody is available for research use only.
Review this product on BioCompare and get a $20 Amazon gift card

Related Products

Description

APLP2 (Amyloid beta(A4) precursor-like protein 2), also known as CDEBP or SPERM MEMBRANE PROTEIN, is a protein that in humans is encoded by the APLP2 gene. The APLP2 gene is mapped on 11q24.3. The human amyloid precursor-like protein APLP2 is a highly conserved homolog of a sequence-specific DNA-binding mouse protein with an important function in the cell cycle. APLP2 along with APLP1 are important modulators of glucose and insulin homeostasis. APLP2 associates with antigen presentation molecules like MHC class I molecules and regulates their surface expression by enhancing endocytosis.

Application Notes

Optimal dilution of the Amyloid-like protein 2 antibody should be determined by the researcher.

Immunogen

An E.coli-derived human recombinant protein (amino acids K58-R670) was used as the immunogen for the Amyloid-like protein 2 antibody.

Storage

After reconstitution, the Amyloid-like protein 2 antibody can be stored for up to one month at 4oC. For long-term, aliquot and store at -20oC. Avoid repeated freezing and thawing.

Cross
Bulk Quote Request Form
Name*:
Organization*:
Email*:
Phone Number*:
Catalog No.*:
Comments and Specifics(amount, formulation, etc.)*:
Validation code: Captchapackage Image


Can't read the image? click here to refresh.
    *required field

Your bulk quote request has been submitted successfully!

Please contact us if you have any questions.