• Tel: 858.663.9055
  • SeparatorEmail: info@nsjbio.com
  • Tel: 858.663.9055
  • Email: info@nsjbio.com
Home >> Antibodies >> Amphiregulin Antibody / Areg

Amphiregulin Antibody / Areg (RQ4538)

  Catalog No Formulation Size Price (USD)  
Image RQ4538 0.5mg/ml if reconstituted with 0.2ml sterile DI water 100 ug 449
Bulk quote request
Western blot testing of 1) rat brain and 2) mouse brain lysate with Amphiregulin antibody at 0.5ug/ml. Molecular weight: 28 kDa (non-glycosylated), ~50 kDa (glycosylated pro form), ~43 kDa (predominant glycosylated soluble form) as well as other, smaller, soluble and membrane bound forms.
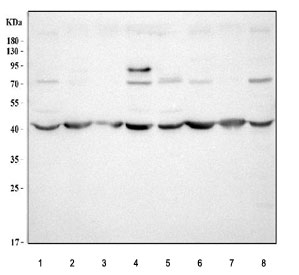
Western blot testing of 1) rat brain, 2) rat thymus, 3) rat spleen, 4) rat PC-12, 5) mouse brain, 6) mouse thymus, 7) mouse spleen and 8) mouse RAW264.7 cell lysate with Amphiregulin antibody at 0.5ug/ml. Molecular weight: 28 kDa (non-glycosylated), ~50 kDa (glycosylated pro form), ~43 kDa (predominant glycosylated soluble form) as well as other, smaller, soluble and membrane bound forms.
IHC staining of FFPE mouse brain tissue with Amphiregulin antibody. HIER: boil tissue sections in pH8 EDTA for 20 min and allow to cool before testing.
IHC staining of FFPE rat brain tissue with Amphiregulin antibody. HIER: boil tissue sections in pH8 EDTA for 20 min and allow to cool before testing.
Flow cytometry testing of fixed rat PC-12 cells with Amphiregulin antibody at 1ug/million cells (blocked with goat sera); Red=cells alone, Green=isotype control, Blue= Amphiregulin antibody.
Availability 1-3 business days
Species Reactivity Mouse, Rat
Format Antigen affinity purified
Host Rabbit
Clonality Polyclonal (rabbit origin)
Isotype Rabbit IgG
Purity Antigen affinity purified
Buffer Lyophilized from 1X PBS with 2% Trehalose
UniProt P31955
Applications Western Blot : 0.5-1ug/ml
Immunohistochemistry (FFPE) : 2-5ug/ml
Flow Cytometry : 1-3ug/million cells
ELISA (capture) : 1-5ug/ml (recombinant mouse protein)
Limitations This Amphiregulin antibody is available for research use only.
Review this product on BioCompare and get a $20 Amazon gift card

Related Products

Description

Amphiregulin, also known as AREG, is a protein that in humans is encoded by the AREG gene. The protein encoded by this gene is a member of the epidermal growth factor (EGF) family. It is an autocrine growth factor as well as a mitogen for astrocytes, Schwann cells, fibroblasts. It is related to epidermal growth factor (EGF) and transforming growth factor alpha (TGF-alpha). This protein interacts with the Epidermal growth factor receptor (EGFR) to promote the growth of normal epithelial cells. It is mapped to 9q32. It has been shown to play a role in immunity, inflammation, tissue repair, and lung and mammary gland development. Homozygous knockout mice for this gene exhibit impaired immune system regulation in the skin and gene expression changes characteristic of chronic liver damage.

Application Notes

Optimal dilution of the Amphiregulin antibody should be determined by the researcher.

Immunogen

Amino acids V100-K191 from the mouse protein were used as the immunogen for the Amphiregulin antibody.

Storage

After reconstitution, the Amphiregulin antibody can be stored for up to one month at 4oC. For long-term, aliquot and store at -20oC. Avoid repeated freezing and thawing.

Cross
Bulk Quote Request Form
Name*:
Organization*:
Email*:
Phone Number*:
Catalog No.*:
Comments and Specifics(amount, formulation, etc.)*:
Validation code: Captchapackage Image


Can't read the image? click here to refresh.
    *required field

Your bulk quote request has been submitted successfully!

Please contact us if you have any questions.