• Tel: 858.663.9055
  • SeparatorEmail: info@nsjbio.com
  • Tel: 858.663.9055
  • Email: info@nsjbio.com
Home >> Antibodies >> AMPD1 Antibody / AMP deaminase 1

AMPD1 Antibody / AMP deaminase 1 (FY12080)

  Catalog No Formulation Size Price (USD)  
Image FY12080 Adding 0.2 ml of distilled water will yield a concentration of 500 ug/ml 100 ug 449
Bulk quote request
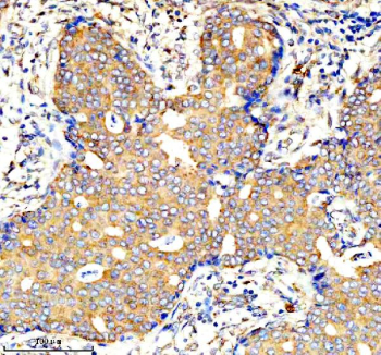
IHC analysis of AMPD1 using anti-AMPD1 antibody. AMPD1 was detected in a paraffin-embedded section of human breast cancer tissue. Heat mediated antigen retrieval was performed in EDTA buffer (pH 8.0, epitope retrieval solution). The tissue section was blocked with 10% goat serum. The tissue section was then incubated with 2 ug/ml rabbit anti-AMPD1 antibody overnight at 4oC. Peroxidase Conjugated Goat Anti-rabbit IgG was used as secondary antibody and incubated for 30 minutes at 37oC. The tissue section was developed using an HRP secondary and DAB substrate.
Western blot analysis of AMPD1 using anti-AMPD1 antibody. Lane 1: human U251 whole cell lysates, Lane 2: human MCF-7 whole cell lysates, Lane 3: rat heart tissue lysates, Lane 4: rat skeletal muscle tissue lysates, Lane 5: mouse skeletal muscle tissue lysates. After electrophoresis, proteins were transferred to a nitrocellulose membrane at 150 mA for 50-90 minutes. Blocked the membrane with 5% non-fat milk/TBS for 1.5 hour at RT. The membrane was incubated with rabbit anti-AMPD1 antibody at 0.5 ug/ml overnight at 4oC, then washed with TBS-0.1%Tween 3 times with 5 minutes each and probed with a goat anti-rabbit IgG-HRP secondary antibody at a dilution of 1:5000 for 1.5 hour at RT. The signal was developed using enhanced chemiluminescent. A specific band was detected for AMPD1 at approximately 86 kDa. The expected band size for AMPD1 is at 86 kDa.
IHC analysis of AMPD1 using anti-AMPD1 antibody. AMPD1 was detected in a paraffin-embedded section of human colon cancer tissue. Heat mediated antigen retrieval was performed in EDTA buffer (pH 8.0, epitope retrieval solution). The tissue section was blocked with 10% goat serum. The tissue section was then incubated with 2 ug/ml rabbit anti-AMPD1 antibody overnight at 4oC. Peroxidase Conjugated Goat Anti-rabbit IgG was used as secondary antibody and incubated for 30 minutes at 37oC. The tissue section was developed using an HRP secondary and DAB substrate.
Flow Cytometry analysis of U251 cells using anti-AMPD1 antibody. Overlay histogram showing U251 cells stained with (Blue line). To facilitate intracellular staining, cells were fixed with 4% paraformaldehyde and permeabilized with permeabilization buffer. The cells were blocked with 10% normal goat serum. And then incubated with rabbit anti-AMPD1 antibody (1 ug/million cells) for 30 min at 20oC. DyLight 488 conjugated goat anti-rabbit IgG (5-10 ug/million cells) was used as secondary antibody for 30 minutes at 20oC. Isotype control antibody (Green line) was rabbit IgG (1 ug/million cells) used under the same conditions. Unlabelled sample without incubation with primary antibody and secondary antibody (Red line) was used as a blank control.
Availability 1-2 days
Species Reactivity Human, Mouse, Rat
Format Lyophilized
Host Rabbit
Clonality Polyclonal (rabbit origin)
Isotype Rabbit IgG
Purity Immunogen affinity purified
Buffer Each vial contains 4 mg Trehalose, 0.9 mg NaCl, 0.2 mg Na2HPO4.
UniProt P23109
Applications Western Blot : 0.25-0.5ug/ml
Immunohistochemistry : 2-5ug/ml
Flow Cytometry : 1-3ug/million cells
ELISA : 0.1-0.5ug/ml
Limitations This AMPD1 antibody is available for research use only.
Review this product on BioCompare and get a $20 Amazon gift card

Description

AMPD1 antibody detects Adenosine monophosphate deaminase 1, encoded by the AMPD1 gene. Adenosine monophosphate deaminase 1 is a skeletal muscle-specific enzyme of the purine nucleotide cycle, responsible for converting AMP to IMP. AMPD1 antibody provides researchers with a useful reagent for studying muscle metabolism, energy homeostasis, and exercise physiology.

Adenosine monophosphate deaminase 1 is highly expressed in skeletal muscle and plays a key role in energy regulation during periods of high metabolic demand. Research using AMPD1 antibody has shown that the enzyme supports ATP regeneration by facilitating nucleotide turnover. Its activity ensures maintenance of energy balance in contracting muscle fibers and contributes to endurance capacity.

Studies with AMPD1 antibody have revealed that genetic deficiency of AMPD1 is one of the most common enzymatic defects in human muscle. Mutations in AMPD1 result in myoadenylate deaminase deficiency, a condition characterized by exercise intolerance, fatigue, and muscle pain. These findings demonstrate the clinical significance of AMPD1 in skeletal muscle health.

Beyond muscle, Adenosine monophosphate deaminase 1 may play roles in purine metabolism affecting systemic energy balance. Research using AMPD1 antibody has shown that altered expression influences nucleotide pools and cellular signaling, with possible implications in metabolic disease and cardiovascular function. AMPD1 is also studied for its potential contribution to purine-related disorders and immune responses.

AMPD1 antibody is widely applied in enzyme assays, western blotting, and immunohistochemistry. Enzyme assays confirm catalytic activity in skeletal muscle biopsies, western blotting quantifies expression in normal and deficient tissues, and immunohistochemistry highlights distribution within muscle fibers. These applications make AMPD1 antibody essential in both basic and clinical research.

By supplying validated AMPD1 antibody reagents, NSJ Bioreagents supports studies into purine metabolism, muscle physiology, and metabolic disorders. Detection of Adenosine monophosphate deaminase 1 provides researchers with insight into how purine cycle enzymes regulate energy balance in skeletal muscle.

Application Notes

Optimal dilution of the AMPD1 antibody should be determined by the researcher.

Immunogen

E.coli-derived human AMPD1 recombinant protein (Position: K5-E747) was used as the immunogen for the AMPD1 antibody.

Storage

After reconstitution, the AMPD1 antibody can be stored for up to one month at 4oC. For long-term, aliquot and store at -20oC. Avoid repeated freezing and thawing.

Cross
Bulk Quote Request Form
Name*:
Organization*:
Email*:
Phone Number*:
Catalog No.*:
Comments and Specifics(amount, formulation, etc.)*:
Validation code: Captchapackage Image


Can't read the image? click here to refresh.
    *required field

Your bulk quote request has been submitted successfully!

Please contact us if you have any questions.