• Tel: 858.663.9055
  • SeparatorEmail: info@nsjbio.com
  • Tel: 858.663.9055
  • Email: info@nsjbio.com
Home >> Antibodies >> ALYREF Antibody / Tho Complex 4 / THOC4

ALYREF Antibody / Tho Complex 4 / THOC4 (RQ7142)

  Catalog No Formulation Size Price (USD)  
Image RQ7142 0.5mg/ml if reconstituted with 0.2ml sterile DI water 100 ug 449
Bulk quote request
Immunofluorescent staining of FFPE human A431 cells with ALYREF antibody (green) and DAPI nuclear stain (blue). HIER: steam section in pH6 citrate buffer for 20 min.
Western blot testing of 1) human placenta, 2) human PC-3, 3) human HeLa, 4) human HepG2, 5) human 293T, 6) human A431, 7) human A549, 8) rat brain, 9) rat liver, 10) rat PC-12, 11) rat NRK, 12) mouse brain, 13) mouse liver, 14) mouse Neuro-2a and 15) mouse RAW264.7 cell lysate with ALYREF antibody. Predicted molecular weight ~27 kDa.
Flow cytometry testing of fixed and permeabilized human SiHa cells with ALYREF antibody at 1ug/million cells (blocked with goat sera); Red=cells alone, Green=isotype control, Blue= ALYREF antibody.
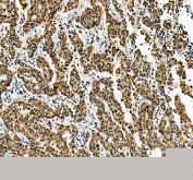
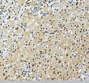
IHC staining of FFPE human liver cancer tissue with ALYREF antibody, HRP-secondary and DAB substrate. HIER: boil tissue sections in pH8 EDTA for 20 min and allow to cool before testing.
IHC staining of FFPE human liver cancer tissue with ALYREF antibody, HRP-secondary and DAB substrate. HIER: boil tissue sections in pH8 EDTA for 20 min and allow to cool before testing.
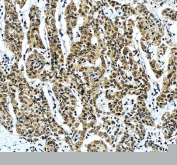
IHC staining of FFPE human liver tissue with ALYREF antibody, HRP-secondary and DAB substrate. HIER: boil tissue sections in pH8 EDTA for 20 min and allow to cool before testing.
Availability 1-3 business days
Species Reactivity Human, Mouse, Rat
Format Antigen affinity purified
Host Rabbit
Clonality Polyclonal (rabbit origin)
Isotype Rabbit IgG
Purity Antigen affinity purified
Buffer Lyophilized from 1X PBS with 2% Trehalose
UniProt Q86V81
Localization Nuclear, cytoplasmic
Applications Western Blot : 0.5-1ug/ml
Immunofluorescence : 5ug/ml
Flow Cytometry : 1-3ug/million cells
Direct ELISA : 0.1-0.5ug/ml
Immunohistochemistry (FFPE) : 2-5ug/ml
Limitations This ALYREF antibody is available for research use only.
Review this product on BioCompare and get a $20 Amazon gift card

Description

ALYREF (also known as Aly/REF export factor and THOC4) is an mRNA export adaptor that functions as part of the TREX (transcription/export) complex. It binds to spliced mRNA transcripts and bridges them to the nuclear export receptor NXF1, facilitating efficient transport of mature mRNA from the nucleus to the cytoplasm. ALYREF is recruited co-transcriptionally and interacts with multiple RNA-binding proteins to ensure proper mRNA processing and export.

ALYREF is broadly expressed and plays a role in coupling transcription, RNA splicing, and nuclear export. By coordinating these processes, it supports normal gene expression patterns and cellular homeostasis. ALYREF has also been studied in the context of cell growth regulation, stress responses, and RNA quality control mechanisms.

The ALYREF antibody is a reliable tool for detecting endogenous ALYREF in applications such as western blot, immunofluorescence, and immunohistochemistry. Researchers use the ALYREF antibody from NSJ Bioreagents to quantify protein expression, study nuclear–cytoplasmic distribution, and examine changes in mRNA export under experimental conditions. With high specificity and consistent performance, the ALYREF antibody supports rigorous investigation of RNA processing, nuclear transport, and gene expression regulation.

Application Notes

Optimal dilution of the ALYREF antibody should be determined by the researcher.

Immunogen

Recombinant human protein (amino acids M1-S257) was used as the immunogen for the ALYREF antibody.

Storage

After reconstitution, the ALYREF antibody can be stored for up to one month at 4oC. For long-term, aliquot and store at -20oC. Avoid repeated freezing and thawing.

Cross
Bulk Quote Request Form
Name*:
Organization*:
Email*:
Phone Number*:
Catalog No.*:
Comments and Specifics(amount, formulation, etc.)*:
Validation code: Captchapackage Image


Can't read the image? click here to refresh.
    *required field

Your bulk quote request has been submitted successfully!

Please contact us if you have any questions.