• Tel: 858.663.9055
  • SeparatorEmail: info@nsjbio.com
  • Tel: 858.663.9055
  • Email: info@nsjbio.com
Home >> Antibodies >> Alpha Tubulin Antibody / TUBA1C

Alpha Tubulin Antibody / TUBA1C (FY12945)

  Catalog No Formulation Size Price (USD)  
Image FY12945 Adding 0.2 ml of distilled water will yield a concentration of 500 ug/ml 100 ug 449
Bulk quote request
Immunofluorescent staining of Tubulin Alpha using anti-Alpha Tubulin antibody (green). Tubulin Alpha was detected in an immunocytochemical section of cells. Enzyme antigen retrieval was performed using IHC enzyme antigen retrieval reagent for 15 mins. The cells were blocked with 10% goat serum. And then incubated with 5 ug/ml rabbit anti-Alpha Tubulin antibody overnight at 4oC. DyLight 488 Conjugated Goat Anti-Rabbit IgG was used as secondary antibody at 1:500 dilution and incubated for 30 minutes at 37oC. The section was counterstained with DAPI nuclear stain (blue). Visualize using a fluorescence microscope and filter sets appropriate for the label used.
Western blot analysis of Tubulin Alpha using anti-Alpha Tubulin antibody. Lane 1: human whole cell lysates, Lane 2: human 293T whole cell lysates, Lane 3: human Hela whole cell lysates, Lane 4: rat liver tissue lysates, Lane 5: rat heart tissue lysates, Lane 6: mouse liver tissue lysates, Lane 7: mouse heart tissue lysates, Lane 8: mouse NIH/3T3 whole cell lysates. After electrophoresis, proteins were transferred to a nitrocellulose membrane at 150 mA for 50-90 minutes. Blocked the membrane with 5% non-fat milk/TBS for 1.5 hour at RT. The membrane was incubated with rabbit anti-Alpha Tubulin antibody at 0.25 ug/ml overnight at 4oC, then washed with TBS-0.1%Tween 3 times with 5 minutes each and probed with a goat anti-rabbit IgG-HRP secondary antibody at a dilution of 1:5000 for 1.5 hour at RT. The signal was developed using enhanced chemiluminescent. The predicted molecular weight of Tubulin Alpha is at 50 kDa.
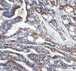
Immunohistochemical staining of Tubulin Alpha using anti-Alpha Tubulin antibody. Tubulin Alpha was detected in a paraffin-embedded section of human thyroid cancer tissue. Heat mediated antigen retrieval was performed in EDTA buffer (pH 8.0, epitope retrieval solution). The tissue section was blocked with 10% goat serum. The tissue section was then incubated with 2 ug/ml rabbit anti-Alpha Tubulin antibody overnight at 4oC. Peroxidase Conjugated Goat Anti-rabbit IgG was used as secondary antibody and incubated for 30 minutes at 37oC. The tissue section was developed using an HRP secondary and DAB substrate.
Immunohistochemical staining of Tubulin Alpha using anti-Alpha Tubulin antibody. Tubulin Alpha was detected in a paraffin-embedded section of human urothelial carcinoma with squamous differentiation tissue. Heat mediated antigen retrieval was performed in EDTA buffer (pH 8.0, epitope retrieval solution). The tissue section was blocked with 10% goat serum. The tissue section was then incubated with 2 ug/ml rabbit anti-Alpha Tubulin antibody overnight at 4oC. Peroxidase Conjugated Goat Anti-rabbit IgG was used as secondary antibody and incubated for 30 minutes at 37oC. The tissue section was developed using an HRP secondary and DAB substrate.
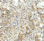
Immunohistochemical staining of Tubulin Alpha using anti-Alpha Tubulin antibody. Tubulin Alpha was detected in a paraffin-embedded section of human lung cancer tissue. Heat mediated antigen retrieval was performed in EDTA buffer (pH 8.0, epitope retrieval solution). The tissue section was blocked with 10% goat serum. The tissue section was then incubated with 2 ug/ml rabbit anti-Alpha Tubulin antibody overnight at 4oC. Peroxidase Conjugated Goat Anti-rabbit IgG was used as secondary antibody and incubated for 30 minutes at 37oC. The tissue section was developed using an HRP secondary and DAB substrate.
Flow Cytometry analysis of 293T cells using anti-Alpha Tubulin antibody. Overlay histogram showing 293T cells stained with (Blue line). To facilitate intracellular staining, cells were fixed with 4% paraformaldehyde and permeabilized with permeabilization buffer. The cells were blocked with 10% normal goat serum. And then incubated with rabbit anti-Alpha Tubulin antibody (1 ug/million cells) for 30 min at 20oC. DyLight 488 conjugated goat anti-rabbit IgG (5-10 ug/million cells) was used as secondary antibody for 30 minutes at 20oC. Isotype control antibody (Green line) was rabbit IgG (1 ug/million cells) used under the same conditions. Unlabelled sample without incubation with primary antibody and secondary antibody (Red line) was used as a blank control.
Availability 1-2 days
Species Reactivity Human, Mouse, Rat
Format Lyophilized
Host Rabbit
Clonality Polyclonal (rabbit origin)
Isotype Rabbit IgG
Purity Immunogen affinity purified
Buffer Each vial contains 4 mg Trehalose, 0.9 mg NaCl, 0.2 mg Na2HPO4.
UniProt Q9BQE3
Localization Cytoplasm
Applications Western Blot : 0.25-0.5ug/ml
Immunohistochemistry : 2-5ug/ml
Immunocytochemistry : 5ug/ml
Immunofluorescence : 5ug/ml
Limitations This Alpha Tubulin antibody is available for research use only.
Review this product on BioCompare and get a $20 Amazon gift card

Related Products

Description

Alpha Tubulin antibody detects Alpha tubulin, a fundamental structural component of microtubules, which are integral parts of the cytoskeleton responsible for cell shape, intracellular transport, and mitotic spindle formation. The UniProt recommended name is Tubulin alpha chain, encompassing multiple isoforms encoded by genes such as TUBA1A, TUBA1B, and TUBA1C. Tubulins polymerize to form dynamic microtubule filaments that continually undergo assembly and disassembly, enabling cellular motility, division, and intracellular trafficking.

Functionally, Alpha Tubulin antibody recognizes a conserved 50 kDa cytoskeletal protein that pairs with beta-tubulin to form heterodimers, the basic building blocks of microtubules. These structures are critical for maintaining cell polarity, providing tracks for motor proteins like kinesin and dynein, and ensuring accurate chromosome segregation during mitosis. Tubulin polymerization is regulated by GTP binding and hydrolysis, and is sensitive to factors such as temperature, post-translational modifications, and microtubule-associated proteins (MAPs). The equilibrium between polymerized microtubules and soluble tubulin dimers governs many cellular functions, including vesicle transport and organelle positioning.

Alpha tubulin undergoes various modifications such as acetylation, tyrosination, detyrosination, and polyglutamylation, which influence microtubule stability and motor protein interactions. Acetylated alpha tubulin is often used as a marker for stable microtubules, particularly in cilia and flagella. The Alpha Tubulin antibody is therefore widely applied as a loading control in western blotting, an internal cytoskeletal marker in immunofluorescence, and a reference protein for quantifying microtubule organization.

The TUBA gene family encodes several alpha-tubulin isoforms with tissue-specific expression patterns. TUBA1A is the predominant neuronal isoform and plays a major role in axon guidance and brain development. Mutations in TUBA1A have been associated with lissencephaly, cortical dysplasia, and microcephaly. Non-neuronal alpha-tubulin isoforms are equally essential for mitotic spindle integrity and intracellular transport in proliferating cells. Disruption of alpha-tubulin function, through chemical inhibitors such as colchicine or vinblastine, arrests cells in metaphase by depolymerizing microtubules.

Alpha Tubulin antibody provides a robust marker for assessing cytoskeletal architecture, cellular morphology, and proliferation. It is frequently used in combination with antibodies against beta tubulin, gamma tubulin, or actin to visualize cytoskeletal dynamics. In research involving neurobiology, alpha tubulin serves as a key indicator of axonal growth and neuronal polarity. In cancer studies, changes in tubulin expression and post-translational modification patterns reflect cytoskeletal reorganization during transformation, invasion, and drug resistance. NSJ Bioreagents offers this antibody validated for applications in its applications to study cell structure, mitosis, and cytoskeletal integrity.

Application Notes

Optimal dilution of the Alpha Tubulin antibody should be determined by the researcher.

Immunogen

A synthetic peptide corresponding to a sequence at the C-terminus of human TUBA1C was used as the immunogen for the Alpha Tubulin antibody.

Storage

After reconstitution, the Alpha Tubulin antibody can be stored for up to one month at 4oC. For long-term, aliquot and store at -20oC. Avoid repeated freezing and thawing.

Cross
Bulk Quote Request Form
Name*:
Organization*:
Email*:
Phone Number*:
Catalog No.*:
Comments and Specifics(amount, formulation, etc.)*:
Validation code: Captchapackage Image


Can't read the image? click here to refresh.
    *required field

Your bulk quote request has been submitted successfully!

Please contact us if you have any questions.